Стоматолог Абраамян Варсеник Арменовна — цены, отзывы, стаж — Принимает в Санкт-Петербурге (СПб)

Абраамян Варсеник Арменовна

Абраамян Варсеник Арменовна - фотография

5.0
Рейтинг: 5.0
Отзывов: 7
Положительных: 7
Отрицательных: 0
Последний : 371 дн. назад
7 отзывов
стоматолог-терапевт
стоматолог-хирург
детский стоматолог
Стаж 16 лет
Абраамян Варсеник Арменовна принимает в «Стоматология МАСТЕРДЕНТ» в Санкт-Петербурге. Стаж 16 лет. Специализируется на терапии, хирургии и детской стоматологии, по которым клиника оказывает 42 услуги. Имеет 5 работ до/после в портфолио. Квалификация специалиста подтверждена 3 лицензиями, сертификатами и наградами. Для уточнения дополнительной информации о специалисте или записи на прием можно позвонить по телефону
+7 (812)Показать телефон
.

Где принимает:

5 работ в портфолио
3 сертификата
Опыт 16 лет

Отзывы о враче Абраамян Варсеник Арменовна

Рейтинг: 5
Отзывов: 7
Положительных: 7
Отрицательных: 0
Последний: 371 дн. назад
5.0
Пациенты отмечают:
Профессионализм
Вежливость
Подробные объяснения
Тщательный осмотр
Аккуратность
Лечение помогло
Почему нашим отзывам можно доверять?
2 мая 2025 г.
1 2 3 4 5
Варсеник Арменовна очень внимательный и доброжелательный доктор. Работает быстро и аккуратно - все подробно объяснит, покажет и расскажет. Лечимся всей семьей у этого замечательного врача)
12 декабря 2024 г.
1 2 3 4 5
Мне понравился врач он сделал всё очень быстро и без боли. Отличный врач
5 августа 2024 г.
1 2 3 4 5
Абраамян В.А просто волшебница, благодаря ей преодолела свой страх перед врачами! Делает все добросовестно, никогда не возникает, если что то с зубами не так, просто берет и лечит! Ассистент Алексей грамотный и веселый парень, когда они работают в паре прием превращается в праздник! Девушки администраторы, тоже большие умнички, никогда не услышите от них плохого слова. Клиника просто восхитительная, спасибо вам огромное!
14 июня 2024 г.
1 2 3 4 5
Варсеник Арменовна очень хороший врач. Доктор лечила мне передние зубы, а это всегда более ювелирная и тонкая работа. Не применяю к себе анестезию, при этом отдыхаю и почти засыпаю в кресле во время проведения работ. Качеством лечения очень довольна! Благодарю!
25 мая 2024 г.
1 2 3 4 5
Лечусь только у Варсеник Арменовны-врач от Бога, очень заботлива, внимательна, аккуратна в работе, обязательно поможет решить проблему максимально комфортно в кратчайшие сроки, всегда остаюсь довольной её работой! Очень нравится, что не вставая с кресла можно сделать рентген зуба и продолжить лечение, это очень удобно. Так же делала отбеливание Zoom4 и осталась очень довольна результатом! Благодарю доктора за оказанную высококвалифицированную помощь!
1 мая 2024 г.
1 2 3 4 5
Прекрасная музыка и уровень мастерства врача заставляют хотеть вернуться и сделать еще что-нибудь ;)
7 августа 2022 г.
1 2 3 4 5
Очень хорошая качественная стоматология! Уже 4 год пользуемся всей семьёй с детьми услугами стоматологов этой клиники! По рекомендациям и друзья стали ходить в нее ежегодно. Квалификация терпение и упорство Варсеник Арменовны заслуживает высших похвал! Спасибо ей огромное за зубки! На ресепшене девушки тоже приветливые, радушные и понимающие.
Спасибо за высокую оценку работы нашей клиники и нашей команды. Всегда приятна оценка и понимание сложности приема наших маленьких пациентов! С уважением, администрация клиники "Мастер-Дент"
Благодарим Вас за отзыв. Всегда приятно, что наши пациенты ценят не только работу врачей, но и ассистентов. Спасибо за рекомендации. С уважением, администрация клиники " Мастер-Дент"
    Помогите другим сделать правильный выбор — оставьте свой отзыв о докторе
    Написать отзыв

    Услуги врача (64)

    Терапевтическая стоматология
    Лечение кариеса
    от 4 200 ₽ до 5 200 ₽ за 1 зуб
    Лечение кариеса ICON
    Лечение поверхностного кариеса
    от 4 200 ₽
    Еще услуги
    Хирургическая стоматология
    Удаление зубов
    от 2 900 ₽ до 12 000 ₽ за 1 зуб
    Удаление зуба мудрости
    от 7 500 ₽ за 1 зуб
    Сложное удаление зуба
    от 3 700 ₽ до 12 000 ₽ за 1 зуб
    Еще услуги
    Детская стоматология
    Удаление зубов у детей
    от 1 500 ₽ до 2 500 ₽ за 1 зуб
    Удаление зубов под наркозом у детей
    Лечение молочных зубов
    от 2 800 ₽ за 1 зуб
    Еще услуги
    Все цены носят ознакомительный характер. Точную цену вы сможете получить только после консультации специалиста.
    Звоните по телефону:
    +7 (812)Показать телефон

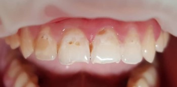
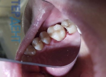
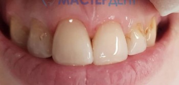
    Абраамян Варсеник Арменовна: портфолио (5)

    Акции и скидки клиники МАСТЕРДЕНТ (1)