Стоматолог Филатова Полина Анатольевна — цены, отзывы, стаж — Принимает в Санкт-Петербурге (СПб)

Филатова Полина Анатольевна

Филатова Полина Анатольевна - фотография

5.0
Рейтинг: 5.0
Отзывов: 3
Положительных: 3
Отрицательных: 0
Последний : 1280 дн. назад
3 отзыва
стоматолог-терапевт
Стаж 28 лет
Филатова Полина Анатольевна принимает в «Клиника высшей категории ГИЛЬДИЯ СТОМАТОЛОГОВ» в Санкт-Петербурге. Стаж 28 лет. Специализируется на терапии, по которой клиника оказывает 26 услуг. Имеет 8 работ до/после в портфолио. Квалификация специалиста подтверждена 28 лицензиями, сертификатами и наградами. Для уточнения дополнительной информации о специалисте или записи на прием можно позвонить по телефону
+7 (812)Показать телефон
.

Где принимает:

28 сертификатов
Опыт 28 лет
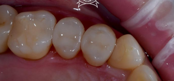
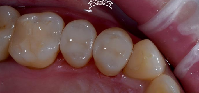
8 работ в портфолио

Филатова Полина Анатольевна: портфолио (8)

Отзывы о враче Филатова Полина Анатольевна

Рейтинг: 5
Отзывов: 3
Положительных: 3
Отрицательных: 0
Последний: 1280 дн. назад
5.0
Почему нашим отзывам можно доверять?
5 ноября 2022 г.
1 2 3 4 5
Обращаюсь в Гильдию стоматологов уже не первый раз, и не первый год) Результатом довольна всегда, независимо от проделанных процедур. Очень рекомендую Филатову Полину и гигиениста Васильеву Наталью, благодаря им лечение зубов не является страшным событием. Все приемы проходили в приятной, располагающей обстановке и каждый специалист был очень внимателен ко мне.
Добрый день! Благодарим за ваше доверие клинике и нашим специалистам. Мы всегда стараемся работать на самый лучший результат! Вы всегда можете на нас рассчитывать! С уважением, администрация клиники «Гильдия стоматологов»!
20 октября 2022 г.
1 2 3 4 5
Клиника не сетевая, что нам очень понравилось- всё нацелено на результат, на здоровые зубы и красивую улыбку, а не на выкачивание денег. Уютная обстановка, доброжелательный и вежливый персонал. И, конечно, самое главное - доктора профессионалы своего дела! Особенно хочется отметить и поблагодарить Наталью Валерьевну и Полину Анатольевну за профессионализм, внимание и чуткость.
Добрый день! Благодарим за ваше доверие клинике и нашим специалистам. Мы ценим ваше доброе отношение и всегда стараемся работать на самый лучший результат! Вы всегда можете на нас рассчитывать! С уважением, администрация клиники «Гильдия стоматологов»!
8 июля 2020 г.
1 2 3 4 5
Очень понравилась процедура чистки и консультация от Филатовой Полины Анатольевны! Спасибо большое за отличную работу!
С уважением, генеральный директор
15 сентября 2020 г.
Здравствуйте, Ольга! Спасибо, каждое благодарное слово мы слышим и помним. И каждый раз при чтении подобных благодарностей у нас душа поет. Спасибо!
    Помогите другим сделать правильный выбор — оставьте свой отзыв о докторе
    Написать отзыв

    Услуги стоматолога в других клиниках

    Терапевтическая стоматология
    Лечение кариеса от 3 500 ₽ до 14 500 ₽
    Лечение пульпита от 5 000 ₽ до 35 000 ₽
    Еще услуги