Стоматолог Дубовская Марина Анатольевна — цены, отзывы, стаж — Принимает в Санкт-Петербурге (СПб)

Дубовская Марина Анатольевна

Дубовская Марина Анатольевна - фотография

5.0
Рейтинг: 5.0
Отзывов: 2
Положительных: 2
Отрицательных: 0
Последний : 211 дн. назад
2 отзыва
стоматолог-ортодонт
Стаж 26 лет
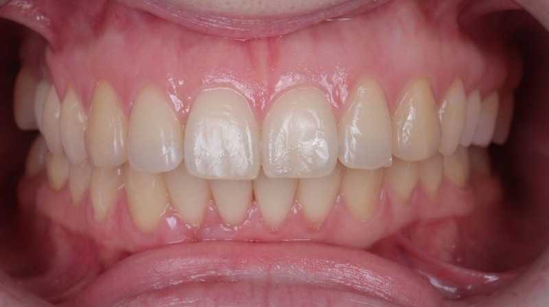
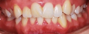
Дубовская Марина Анатольевна принимает в «Клиника эстетической ортодонтии КОНФИДЕНЦИЯ» в Санкт-Петербурге. Стаж 26 лет. Специализируется на ортодонтии, по которой клиника оказывает 10 услуг. Имеет 7 работ до/после в портфолио. Квалификация специалиста подтверждена 35 лицензиями, сертификатами и наградами. Занимает 11 место в рейтинге стоматологов-ортодонтов 32top в вашем городе.

Где принимает:

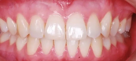
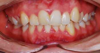
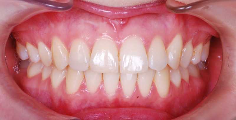
7 работ в портфолио
35 сертификатов
Опыт 26 лет

О стоматологе

Учитывая большой клинический опыт в терапевтической стоматологии и опыт работы детским стоматологом, в ортодонтическом лечении всегда оценивает ситуацию пациента комплексно. А как тонкий психолог и мама двоих детей, находит подход даже к самым маленьким, что исключительно ценно для родителей, которые часто становятся её семейными пациентами.

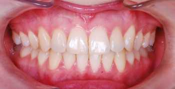
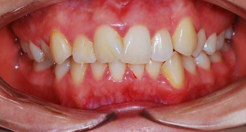
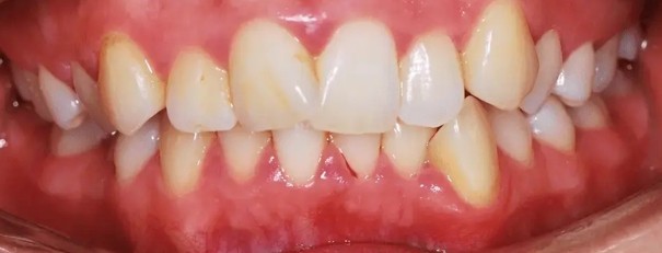
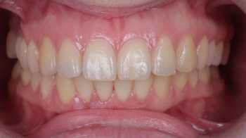
Дубовская Марина Анатольевна: портфолио (7)

Отзывы о враче Дубовская Марина Анатольевна

Рейтинг: 5
Отзывов: 2
Положительных: 2
Отрицательных: 0
Последний: 211 дн. назад
5.0
Почему нашим отзывам можно доверять?
9 октября 2025 г.
1 2 3 4 5
Проходила ортодонтическое лечение на брекетах у Дубовской М.А. С четырьмя минивинтами и удалением 4 ретенированных зубов мудрости. Осталась очень довольна. Врач все объясняла, отвечала на все вопросы. Все было сделано качественно и быстро. Отходила в брекетах всего 1 год и 5 месяцев, хотя была сильная скученность зубов. Теперь прекрасная широкая улыбка
Добрый день! Благодарим за доверие и высокую оценку работы врача Дубовской М.А.! Мы рады, что вы остались довольны результатом лечения и достигли прекрасной улыбки всего за 1 год 5 месяцев. Обязательно передадим ваши тёплые слова Марии Александровне. Желаем вам радоваться своему новому образу и будем рады видеть на плановых осмотрах! С уважением, Служба заботы клиники "Конфиденция"
15 сентября 2022 г.
1 2 3 4 5
Проходили ортодонтическое лечение у Дубовской Марины Анатольевны, очень грамотный врач, с уверенностью буду рекомендовать её. Администрация клиники так же произвела приятное впечатление, вежливые и внимательные. Порадовала и финансовая сторона вопроса-был заключён договор на лечение и сумма за весь период лечения была зафиксирована, во время пандемийного кризиса она не изменилась. Результат лечения порадовал и меня и дочку!
Благодарим за отзыв. Мы стараемся сохранять доступные условия лечения даже в нестабильные времена. Спасибо, что вы с нами)
    Помогите другим сделать правильный выбор — оставьте свой отзыв о докторе
    Написать отзыв

    Услуги стоматолога в других клиниках

    Эстетическая стоматология
    Установка виниров от 29 000 ₽ до 82 600 ₽
    Установка скайсов от 1 500 ₽ до 5 500 ₽
    Еще услуги
    Ортодонтия
    Лечение аномалии зуба от 8 200 ₽ до 46 300 ₽
    Виды брекетов по материалу
    Еще услуги