Стоматолог Спиридонова Анна Геннадьевна — цены, отзывы, стаж — Принимает в Санкт-Петербурге (СПб)

Спиридонова Анна Геннадьевна

Спиридонова Анна Геннадьевна - фотография

5.0
Рейтинг: 5.0
Отзывов: 2
Положительных: 2
Отрицательных: 0
Последний : 1282 дн. назад
2 отзыва
стоматолог-ортопед
Стаж 29 лет
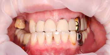
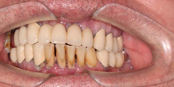
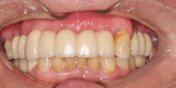
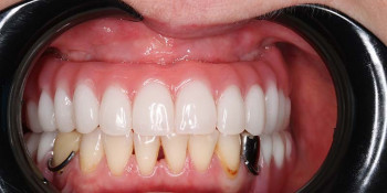
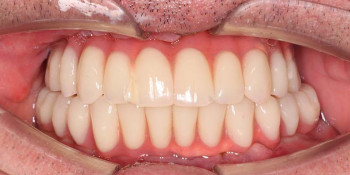
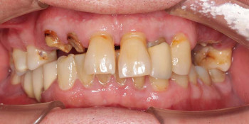
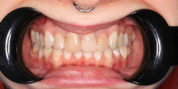
Спиридонова Анна Геннадьевна принимает в «Центры семейной стоматологии КРОНА ДЕНТ» в Санкт-Петербурге. Стаж 29 лет. Специализируется на ортопедии, по которой клиника оказывает 21 услугу. Имеет 9 работ до/после в портфолио. Квалификация специалиста подтверждена 11 лицензиями, сертификатами и наградами. Для уточнения дополнительной информации о специалисте или записи на прием можно позвонить по телефону
+7 (812)Показать телефон
.

Где принимает:

9 работ в портфолио
Опыт 29 лет
11 сертификатов

Отзывы о враче Спиридонова Анна Геннадьевна

Рейтинг: 5
Отзывов: 2
Положительных: 2
Отрицательных: 0
Последний: 1282 дн. назад
5.0
Почему нашим отзывам можно доверять?
2 ноября 2022 г.
1 2 3 4 5
Случайно выбрала эту клинику, но в первую очередь не далеко от дома, что комфортно было для мамы, которой в последующем установили коронки на передние верхние зубы. Попали к Спиридоновой Анне Геннадьевна, внимательной, нежной. Мама осталась довольна, а это главное. Отдельное спасибо куратору Екатерине, которая была всегда на связи и подробно представила курс лечения с окончательной ценой. Спасибо большое.
Благодарим за отзыв и высокую оценку работы "Крона Дент"! Всегда рады помочь и искренне стремимся быть лучшей клиникой для каждого нашего пациента!
22 октября 2022 г.
1 2 3 4 5
Здравствуйте! Долго не решался заняться лечением своих зубов (то времени не было, то стыдно идти с кучей запущенных проблем и пр.). А так же очень хотелось найти таких врачей которые будут о тебе заботиться, и не будут ругать за такие зубы. Изначально водили детей в Крона дент (тут отдельное спасибо Банкузовой Алине Алексеевне), и на их примере очень понравилось отношение персонала, заинтересованность в здоровье пациента. И вот теперь прохожу комплексное лечение в клинике на проспекте Просвещения. Безумно доволен качеством помощи, сервисом и заботой всего персонала клиники! Всегда звонят и напоминают о будущем приема у врача, после удаления звонят и интересуются моим самочувствием. Врачи (хирург Усачев Андрей Русланович, терапевт Андреева Ольга Сергеевна, ортопед Спиридонова Анна Геннадьевна) всегда очень внимательны, с удовольствием отвечают на все интересующие меня вопросы, работу в моей ротовой полости делают настолько аккуратно и качественно, что хочется возвращаться к ним снова и снова))) в самом кресле сидишь, чувствуя себя на отдыхе какого-либо курорта))) отдельное спасибо куратору Юлии: при возникновении любых проблем или вопросов (например после сложного удаления был воспалительный процесс) она всегда на связи, даже в свой выходной!!!, в кратчайшие сроки и удобное для меня время нашли промежуток у врача для выполнения санации и консультации - и так во всем!!! Крайне рекомендую данную клинику для лечения своих зубов!!!
Благодарим за отзыв и высокую оценку работы "Крона Дент"! Всегда рады помочь и искренне стремимся быть лучшей клиникой для каждого нашего пациента!
    Помогите другим сделать правильный выбор — оставьте свой отзыв о докторе
    Написать отзыв

    Услуги врача (43)

    Эстетическая стоматология
    Отбеливание зубов
    от 20 000 ₽ до 48 500 ₽ за обе челюсти
    Наращивание зубов
    от 14 950 ₽ за 1 зуб
    Установка виниров
    Еще услуги
    Протезирование зубов
    Установка коронки на зуб
    от 5 980 ₽ до 26 500 ₽ за 1 зуб
    Установка протеза Акри Фри (Acry-Free)
    от 72 600 ₽ за 1 челюсть
    Ремонт зубных протезов
    от 4 500 ₽ за 1 шт.
    Еще услуги
    Все цены носят ознакомительный характер. Точную цену вы сможете получить только после консультации специалиста.
    Звоните по телефону:
    +7 (812)Показать телефон

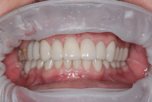
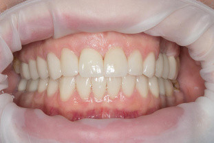
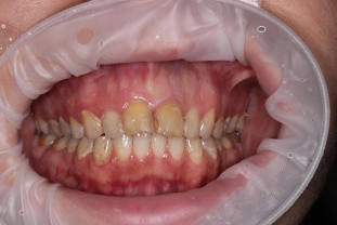
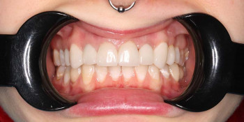
    Спиридонова Анна Геннадьевна: портфолио (9)

    Акции и скидки клиники КРОНА ДЕНТ (1)