Стоматолог Миролюбская Яна Игоревна — цены, отзывы, стаж — Принимает в Санкт-Петербурге (СПб)

Миролюбская Яна Игоревна

Миролюбская Яна Игоревна - фотография

5.0
Рейтинг: 5.0
Отзывов: 6
Положительных: 6
Отрицательных: 0
Последний : 1890 дн. назад
6 отзывов
стоматолог-хирург
пародонтолог
Стаж 23 года
Миролюбская Яна Игоревна принимает в «Отделение стоматологии института красоты ГАЛАКТИКА» в Санкт-Петербурге. Стаж 23 года. Специализируется на хирургии и пародонтологии, по которым клиника оказывает 9 услуг. Имеет 8 работ до/после в портфолио. Квалификация специалиста подтверждена 9 лицензиями, сертификатами и наградами. Для уточнения дополнительной информации о специалисте или записи на прием можно позвонить по телефону
+7 (812)Показать телефон
.

Где принимает:

9 сертификатов
8 работ в портфолио
Опыт 23 года

Отзывы о враче Миролюбская Яна Игоревна

Рейтинг: 5
Отзывов: 6
Положительных: 6
Отрицательных: 0
Последний: 1890 дн. назад
5.0
Почему нашим отзывам можно доверять?
После приема Пациент записывался в клинику через 32top. После приёма мы позвонили ему и получили отзыв.
21 февраля 2021 г.
1 2 3 4 5
Мне нравится уровень, который клиника выдерживает в течение всего периода своего существования. А врачи – это просто респект и уважуха! Это выше всяких похвал. Конкретные врачи, к которым хожу я – это Петрова Екатерина Владимировна, Сергей Александрович панченко, Лотоцкий Сергей Андреевич и хороший врач еще Миролюбская (но с ней я работала меньше, чем с остальными, но тоже хороший специалист). Вот три первых врача – это просто высший пилотаж, я знаю их уже лет 10. Профессионализм – потрясающий, качество – потрясающее, человеческий фактор – потрясающий! Делают всё так, как удобно клиенту. У меня вся семья ходит к этим врачам, в частности к Екатерине Владимировне. Уровень самой клиники замечательный: вся техническая база, работа всего персонала и администраторов. Мне есть с чем сравнить и никакие клиники с вами не сравнятся! Очень хороший уровень по всем вопросам!
После приема Пациент записывался в клинику через 32top. После приёма мы позвонили ему и получили отзыв.
19 января 2021 г.
1 2 3 4 5
Мне нравится отношение к пациентам, мне нравятся профессиональные качества специалистов. Хотела бы отметить Силивейстра, Лотоцкого, Яну Игоревну и Екатерину Петрову. Так же хотелось бы отметить администратора Светлану Александровну и молодежь, которая на ресепшене, особенно Юлию! Всегда перезвонят, всегда пойдут на встречу. Бывают такие моменты, когда допустим я не могла приехать вовремя, случалось ЧП по дороге, всегда отложат, всегда найдут удобно время. Ну и конечно постоянно приглашают к себе на осмотр плановый. У меня только позитивное отношение о человеческих и профессиональных качествах.
После приема Пациент записывался в клинику через 32top. После приёма мы позвонили ему и получили отзыв.
29 декабря 2020 г.
1 2 3 4 5
Больше всего в клинике мне нравятся несколько врачей, к которым я перешла – это Миролюбская и Петрова. Обслуживание тоже важнО, оно хорошее. Но выделить хотела бы именно специалистов, они замечательные!
После приема Пациент записывался в клинику через 32top. После приёма мы позвонили ему и получили отзыв.
27 декабря 2020 г.
1 2 3 4 5
Очень долго искала такого врача, как Миролюбская Яна Игоревна! Устраивает качество ее лечения, профессионализм. Довольно давно уже знакома с этим доктором, еще когда она работала в Веронике. И потом она ушла сюда и я, конечно же, за ней!!! Доктор всегда на связи, если у меня что-то где-то кольнет, то я всегда могу с ней проконсультироваться дистанционно!!! Очень довольна этим врачом, всем ее рекомендую. И желаю ей всего доброго и здоровья!
После приема Пациент записывался в клинику через 32top. После приёма мы позвонили ему и получили отзыв.
15 ноября 2020 г.
1 2 3 4 5
Все очень нравится, больше всех нравится доктор Миролюбская Яна Игоревна. Золотые руки, очень рада, что мы к ней ходим. Ходим всей семьей, кстати! Администраторы работают хорошо, все чисто, кофе предложили.
После приема Пациент записывался в клинику через 32top. После приёма мы позвонили ему и получили отзыв.
21 октября 2020 г.
1 2 3 4 5
Прекрасная стоматология!!! Я в восторге от доктора Петровой Екатерины, от доктора Миролюбской, Лотоцкого Сергея Андреевича! Замечательные все. Я уже очень давно знакома со специалистами, больше всех знаю Сергея Андреевича. И я в восторге от него. Я врач, я понимаю, что он мне говорит. Все девочки и мальчик один (забыла как зовут) на рецепшне тоже замечательные! Спасибо огромное вам за лечение у таких докторов и за вежливость администраторов!
    Помогите другим сделать правильный выбор — оставьте свой отзыв о докторе
    Написать отзыв

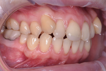
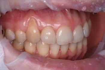
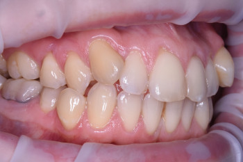
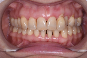
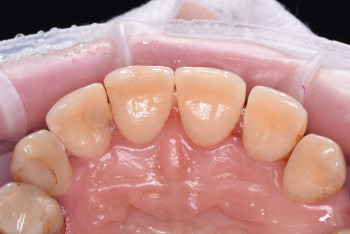
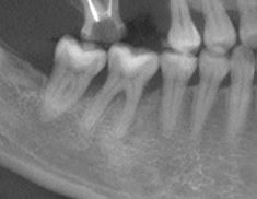
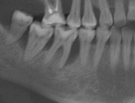
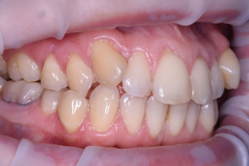
    Миролюбская Яна Игоревна: портфолио (8)

    Услуги стоматолога в других клиниках

    Пародонтология
    Лечение пародонтита от 200 ₽ до 27 000 ₽
    Лечение пародонтоза от 200 ₽ до 40 000 ₽
    Еще услуги
    Хирургическая стоматология
    Удаление зубов от 1 100 ₽ до 25 000 ₽
    Удаление кисты и гранулемы зуба от 1 100 ₽ до 27 000 ₽
    Еще услуги