Стоматолог Волков Илья Георгиевич — цены, отзывы, стаж — Принимает в Санкт-Петербурге (СПб)

Волков Илья Георгиевич

Волков Илья Георгиевич - фотография
стоматолог-хирург
стоматолог-имплантолог
Стаж 24 года
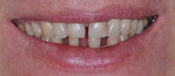
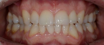
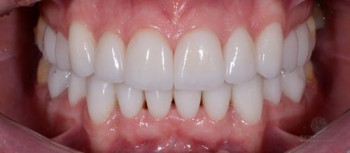
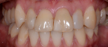
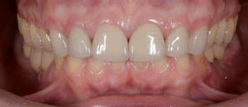
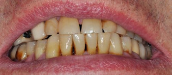
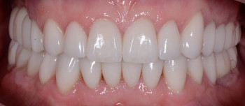
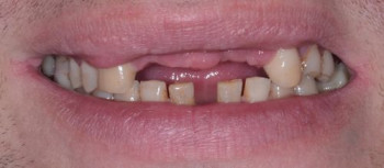
Волков Илья Георгиевич принимает в «Взрослая стоматология АТРИБЬЮТ» в Санкт-Петербурге. К.м.н., стаж 24 года. Специализируется на хирургии и имплантологии. Имеет 25 работ до/после в портфолио. Квалификация специалиста подтверждена 12 лицензиями, сертификатами и наградами. Для уточнения дополнительной информации о специалисте или записи на прием можно позвонить по телефону
+7 (812)Показать телефон
.

Где принимает:

12 сертификатов
25 работ в портфолио
Опыт 24 года
Кандидат мед.наук

Награды

2021 г. - Премия «Напоправку» в номинации «Хирург-имплантолог»

О стоматологе

Врач-партнер, консультант, эксперт компании Nobel Biocare. Приглашенный спикер и лектор международных клинических конференций. Первоклассный специалист в области имплантации зубов, в том числе сложной имплантации, владеет всеми видами костной пластики и пластики мягких тканей полости рта. За годы своей врачебной практики установил более 15.000 имплантатов различных систем.

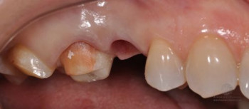
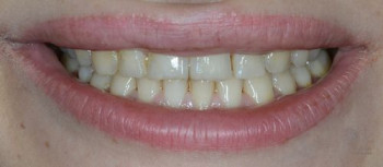
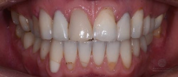
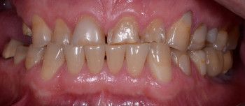
Волков Илья Георгиевич: портфолио (25)

Отзывы о враче Волков Илья Георгиевич

Почему нашим отзывам можно доверять?
1 мая 2019 г.
1 2 3 4 5
Я очень плохо заботилась о здоровье зубов . Улыбаясь, прикрывала рот ладонью. Когда ситуация стала критической, я узнала про Atribeaute Clinique. Пришла на консультацию, с надеждой спасти хотя бы те зубы, которые остались. О красивой улыбке, даже и не мечтала. Спасибо огромное всем врачам! Это невероятно душевный коллектив профессионалов с большой буквы! Результатами я очень довольна! После проведённого лечения, все говорят , что я помолодела на десять лет. Особую благодарность хочу выразить Марине Васильевне Трифоновой, Илье Георгиевичу Волкову и Тамаре Валерьевне Кудзиевой! Вы самые замечательные! Низкий поклон!
Екатерина
6 мая 2019 г.
Добрый день, Анна! Спасибо за выбор отделения эстетической стоматологии Atribeaute Clinique! Искренне рады, что нам удалось вернуть молодость и красоту Вашей улыбки! Берегите ее с помощью контрольных осмотров и профессионального ухода каждые 6 месяцев. До новых встреч с врачом-гигиенистом!
2 апреля 2019 г.
1 2 3 4 5
в этой стоматологии мне все понравилось: очень приятная атмосфера! прием по записи в удобное время! цены порадовали! а однажды за консультацию даже денег не взяли! спасибо! и побольше бы таких квалифицированных специалистов! А реставрацией передних зубов у Кудзиевой ТВ и удалением зубов у Волкова ИГ я осталась очень довольна!!!!!
Екатерина
4 апреля 2019 г.
Добрый день, Татьяна! Спасибо, что поделились мнением! Это действительно здорово, что Вы попали в руки профессионалов-стоматологов Atribeaute Clinique. Спасибо за Ваш выбор!
    Помогите другим сделать правильный выбор — оставьте свой отзыв о докторе
    Написать отзыв

    Услуги стоматолога в других клиниках

    Хирургическая стоматология
    Удаление зубов от 1 100 ₽ до 25 000 ₽
    Удаление кисты и гранулемы зуба от 1 100 ₽ до 27 000 ₽
    Еще услуги