Стоматолог Панибратова Марина Александровна — цены, отзывы, стаж — Принимает в Санкт-Петербурге (СПб)

Панибратова Марина Александровна

Панибратова Марина Александровна - фотография

5.0
Рейтинг: 5.0
Отзывов: 6
Положительных: 6
Отрицательных: 0
Последний : 386 дн. назад
6 отзывов
детский стоматолог
Стаж 23 года
Панибратова Марина Александровна принимает в «Стоматология ДЕНТЕРИЯ» в Санкт-Петербурге. Стаж 23 года. Специализируется на детской стоматологии, по которой клиника оказывает 12 услуг. Имеет 2 работы до/после в портфолио. Квалификация специалиста подтверждена 11 лицензиями, сертификатами и наградами. Для уточнения дополнительной информации о специалисте или записи на прием можно позвонить по телефону
+7 (812)Показать телефон
. Занимает 18 место в рейтинге детских стоматологов 32top в вашем городе.

Где принимает:

Опыт 23 года
11 сертификатов
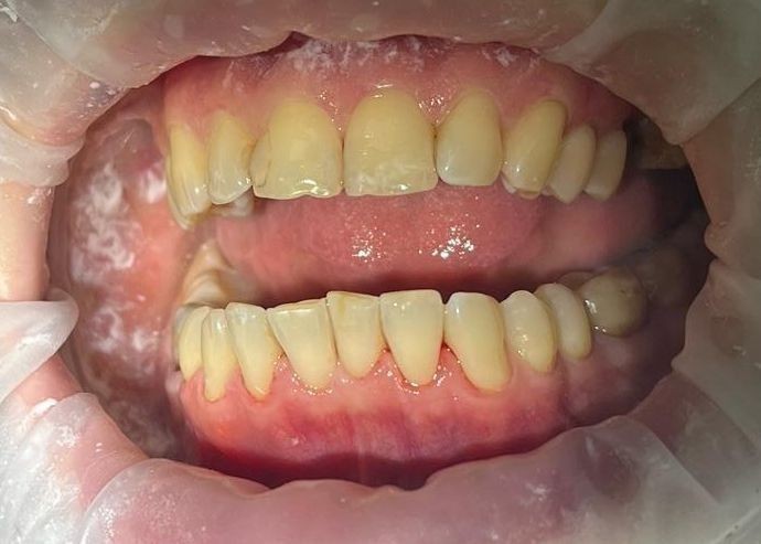
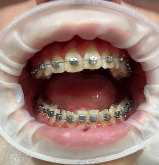
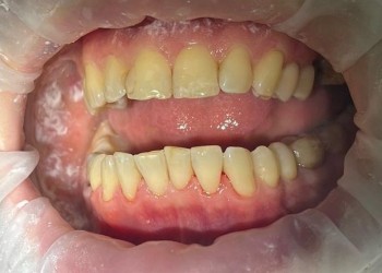
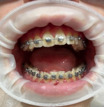
2 работы в портфолио

Панибратова Марина Александровна: портфолио (2)

Отзывы о враче Панибратова Марина Александровна

Рейтинг: 5
Отзывов: 6
Положительных: 6
Отрицательных: 0
Последний: 386 дн. назад
5.0
Почему нашим отзывам можно доверять?
17 апреля 2025 г.
1 2 3 4 5
Проходили лечение у Панибратовой М.А. Лечили зубки моей дочке. Мне все понравилось, клиника чистая, врачи вежливые. Рекомендую!
10 апреля 2025 г.
1 2 3 4 5
Лечились у Панибратовой Марины Александровой с 4 лет, начинали лечится в другой клинике. В Дента Лаб лечились первый раз, лечили кариес. Клинику нашли по рекомендации, искали данного специалиста. Лечением, обслуживанием в клинике довольны. Можем рекомендовать другими пациентам.
6 апреля 2025 г.
1 2 3 4 5
Большое Спасибо за высококлассную работу и индивидуальный подход. Теперь только к вам) Всем рекомендую
2 февраля 2025 г.
1 2 3 4 5
Хочу поделиться визитом в данную клинику, нам все очень понравилось, сын остался довольным, рекомендуем Марину Александровну
2 февраля 2025 г.
1 2 3 4 5
Очень понравилась клиника, особенно доктор Панибратова, очень внимательная, профессионал своего дела! Ребенок в восторге!
2 февраля 2025 г.
1 2 3 4 5
Хочу поблагодарить врача Панибратову МА за отличную работу и чуткое отношение к дочери! Мой рекомендансьён!
    Помогите другим сделать правильный выбор — оставьте свой отзыв о докторе
    Написать отзыв

    Услуги стоматолога в других клиниках

    Ортодонтия
    Лечение аномалии зуба от 8 200 ₽ до 46 300 ₽
    Виды брекетов по материалу
    Еще услуги
    Детская стоматология
    Лечение молочных зубов от 1 600 ₽ до 10 000 ₽
    Удаление зубов у детей от 740 ₽ до 8 250 ₽
    Еще услуги