Стоматолог Быкова Евгения Владимировна — цены, отзывы, стаж — Принимает в Санкт-Петербурге (СПб)

Быкова Евгения Владимировна

Быкова Евгения Владимировна - фотография
стоматолог-ортодонт
Стаж 29 лет
к.м.н., врач высшей категории, главный врач
Быкова Евгения Владимировна принимает в «Стоматологическая клиника ДЕНТАЛ ДИЗАЙНЕР» в Санкт-Петербурге. К.м.н., главный врач, врач высшей категории, стаж 29 лет. Специализируется на ортодонтии, по которой клиника оказывает 3 услуги. Имеет 2 работы до/после в портфолио. Для уточнения дополнительной информации о специалисте или записи на прием можно позвонить по телефону
+7 (999)Показать телефон
.

Где принимает:

Главный врач
2 работы в портфолио
Опыт 29 лет
Кандидат мед.наук
Врач высшей категории

Стоматологические ассоциации

  • Клуб ортодонтов

О стоматологе

стоматолог-ортодонт

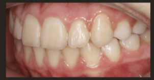
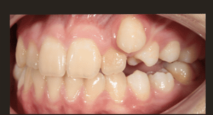
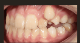
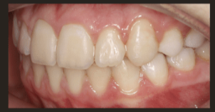
Быкова Евгения Владимировна: портфолио (2)

    Помогите другим сделать правильный выбор — оставьте свой отзыв о докторе
    Написать отзыв

    Услуги стоматолога в других клиниках

    Диагностика
    Консультация ортодонта от 1 ₽ до 5 000 ₽
    Ортодонтия
    Виды брекетов по материалу
    Установка металлических брекетов
    от 12 100 ₽ до 248 650 ₽
    Еще услуги