Стоматолог Дергачев Роман Александрович — цены, отзывы, стаж — Принимает в Санкт-Петербурге (СПб)

Дергачев Роман Александрович

Дергачев Роман Александрович - фотография
стоматолог-ортопед
Стаж 12 лет
Дергачев Роман Александрович принимает в «Клиника высшей категории ГИЛЬДИЯ СТОМАТОЛОГОВ» в Санкт-Петербурге. Стаж 12 лет. Специализируется на ортопедии, по которой клиника оказывает 19 услуг. Имеет 13 работ до/после в портфолио. Для уточнения дополнительной информации о специалисте или записи на прием можно позвонить по телефону
+7 (812)Показать телефон
.

Где принимает:

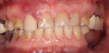
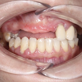
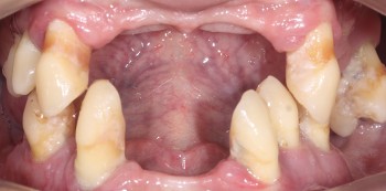
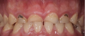
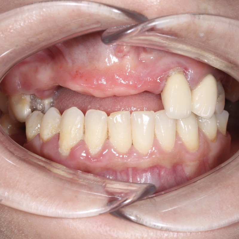
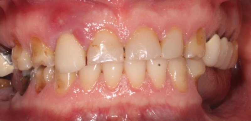
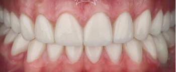
13 работ в портфолио
Опыт 12 лет

Дергачев Роман Александрович: портфолио (13)

Отзывы о враче Дергачев Роман Александрович

Почему нашим отзывам можно доверять?
После приема Пациент записывался в клинику через 32top. После приёма мы позвонили ему и получили отзыв.
19 ноября 2023 г.
1 2 3 4 5
Был в филиале клиники на Есенина. Изготавливал временный протез на время имплантации. Клиника как раз близко к дому - поэтому и решил сюда пойти, но нужно было, конечно, сначала ознакомиться с прейскурантом... На приём попал к Дергачеву Роману. Всё понравилось, всё нормально, сам протез выполнен хорошо, клиникой остался доволен, так же как и работой врача.
13 ноября 2022 г.
1 2 3 4 5
Обращалась к доктору уже два раза для протезирования. Довольна полученным результатом. Доктор очень хорошо и аккуратно всё сделал.
    Помогите другим сделать правильный выбор — оставьте свой отзыв о докторе
    Написать отзыв

    Услуги стоматолога в других клиниках

    Протезирование зубов
    Установка коронки на зуб от 4 800 ₽ до 105 000 ₽
    Установка протеза Акри Фри (Acry-Free) от 11 000 ₽ до 85 000 ₽
    Еще услуги