Стоматолог Фетюхина Татьяна Михайловна — цены, отзывы, стаж — Принимает в Санкт-Петербурге (СПб)

Фетюхина Татьяна Михайловна

Фетюхина Татьяна Михайловна - фотография
стоматолог-терапевт
стоматолог-хирург
детский стоматолог
Стаж 23 года
главный врач
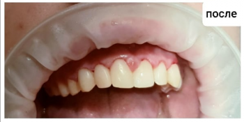
Фетюхина Татьяна Михайловна принимает в «Стоматология ПЕРЛАМУТР» в Санкт-Петербурге. Главный врач, стаж 23 года. Специализируется на терапии, хирургии и детской стоматологии, по которым клиника оказывает 19 услуг. Имеет 8 работ до/после в портфолио. Для уточнения дополнительной информации о специалисте или записи на прием можно позвонить по телефону
+7 (812)Показать телефон
.

Где принимает:

Опыт 23 года
8 работ в портфолио
Главный врач

Фетюхина Татьяна Михайловна: портфолио (8)

    Помогите другим сделать правильный выбор — оставьте свой отзыв о докторе
    Написать отзыв

    Услуги стоматолога в других клиниках

    Терапевтическая стоматология
    Лечение кариеса от 3 500 ₽ до 14 500 ₽
    Лечение пульпита от 5 000 ₽ до 35 000 ₽
    Еще услуги
    Хирургическая стоматология
    Удаление зубов от 1 100 ₽ до 25 000 ₽
    Удаление кисты и гранулемы зуба от 1 100 ₽ до 27 000 ₽
    Еще услуги
    Детская стоматология
    Лечение молочных зубов от 1 600 ₽ до 10 000 ₽
    Удаление зубов у детей от 740 ₽ до 8 250 ₽
    Еще услуги