Стоматолог Розгон Людмила Алексеевна — цены, отзывы, стаж — Принимает в Санкт-Петербурге (СПб)

Розгон Людмила Алексеевна

Розгон Людмила Алексеевна - фотография

5.0
Рейтинг: 5.0
Отзывов: 9
Положительных: 9
Отрицательных: 0
Последний : 703 дн. назад
9 отзывов
стоматолог-терапевт
стоматолог-ортопед
Стаж 17 лет
Розгон Людмила Алексеевна принимает в «Стоматологическая КЛИНИКА ЗДОРОВЬЯ ЗУБОВ» в Санкт-Петербурге. Стаж 17 лет. Специализируется на терапии и ортопедии, по которым клиника оказывает 19 услуг. Имеет 35 работ до/после в портфолио. Квалификация специалиста подтверждена 22 лицензиями, сертификатами и наградами. Для уточнения дополнительной информации о специалисте или записи на прием можно позвонить по телефону
+7 (963)Показать телефон
.

Где принимает:

35 работ в портфолио
Опыт 17 лет
22 сертификата

О стоматологе

Людмила Алексеевна постоянно повышает уровень своей квалификации, проходит различные виды обучений и участвует в конференциях. Людмила Алексеевна очень любит свою работу, относится к пациентам внимательно и всегда поможет Вам выбрать наиболее подходящий способ лечения. Целью своей работы считает здорового и довольного пациента с улыбкой на лице!

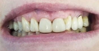
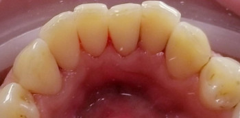
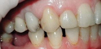
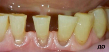
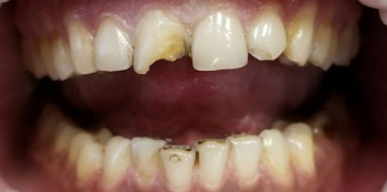
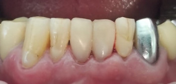
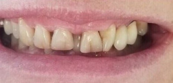
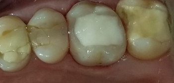
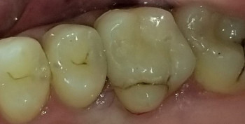
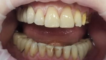
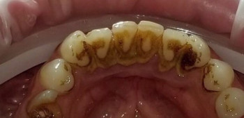
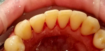
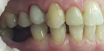
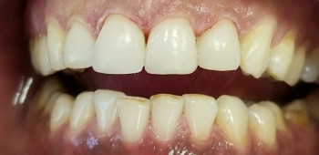
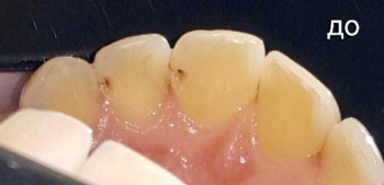
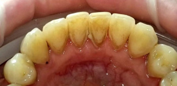
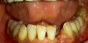
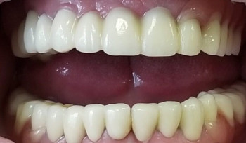
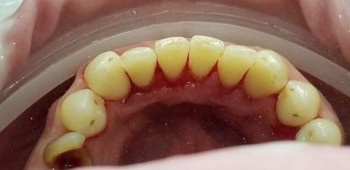
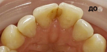
Розгон Людмила Алексеевна: портфолио (35)

Отзывы о враче Розгон Людмила Алексеевна

Рейтинг: 5
Отзывов: 9
Положительных: 9
Отрицательных: 0
Последний: 703 дн. назад
5.0
Почему нашим отзывам можно доверять?
6 июня 2024 г.
1 2 3 4 5
Это давняя любовь с первого взгляда! Мила Алексеевна врач от Бога! Всегда встречает с улыбкой, всегда поинтересуется как дела, расскажет подробно что предстоит делать, какие будут ощущения, всегда интересуется как чувствует себя пациент, остановится если надо, порекомендует самое лучшее в плане ухода, в общем я счастлива, что среди тысячи врачей я нашла именно ЕЁ и точно никогда и ни к кому другому не уйду. Обычно я крайне не словоохотлива писать отзывы, но этот тот редкий случай, когда я готова писать оды это Врачу с большой буквы! Понравилось Абсолютно всё. Чистая и уютная клиника. Средства гигиены в туалете, начиная от зубной щётки и заканчивая женскими интимными вещами. Приветливые администраторы и в целом атмосфера спокойствия.
Спасибо большое за отзыв и высокую оценку нашего врача и клиники!
После приема Пациент записывался в клинику через 32top. После приёма мы позвонили ему и получили отзыв.
14 сентября 2023 г.
1 2 3 4 5
У меня богатый опыт на стоматологии, была в разных, встречалась и с негативом и выманивание денег и была в дорогих, где цена на мой взгляд совсем завышена. А теперь можно сказать, что я нашла свою клинику "ЗДОРОВЬЯ ЗУБОВ" Лечила кариес у Милы Алексеевны, отличная стоматологиня, грамотный подход, чуткая внимательная. А еще была у хирурга не помню фамилию доктора, врач от бога. Сама клиника чистая, уютная атмосфера. Цена и качество соответствует.
Большое спасибо за выбор нашей клиники и приятные слова!
После приема Пациент записывался в клинику через 32top. После приёма мы позвонили ему и получили отзыв.
25 июня 2023 г.
1 2 3 4 5
Хожу много лет в эту клинику. Они нет так давно переехали с ул. Обуховской обороны. Новое современное оборудование, новая клиника. Команда врачей очень хорошая, хирург Галичин Дмитрий. Очень мощный врач. У меня было тяжелое удаление, хорошо все сделал, супер. И в плане лечения, он молодец. Врач Розгон Мила, благодарен, что в свое время мне спасла зубы, уговорила не удалять, что удалить всегда успеем. Спасибо огромное!
Мы рады, что Вы оценили профессионализм наших врачей. Спасибо за оказанное доверие!
После приема Пациент записывался в клинику через 32top. После приёма мы позвонили ему и получили отзыв.
17 июня 2023 г.
1 2 3 4 5
Клиника хорошая, администраторы внимательные, всегда предупреждают о записи, была на лечении у терапевта Розгон Милы Алексеевны и у ортодонта Александровой Анастасии Михайловны. Все прошло хорошо, комфортно.
Благодарим за выбор нашей клиники!
После приема Пациент записывался в клинику через 32top. После приёма мы позвонили ему и получили отзыв.
9 июня 2023 г.
1 2 3 4 5
Внимательное и индивидуально отношение врача к пациенту, дружелюбность, оперативность. Лечила кариес у доктора Розгон М. А., а так же проходила чистку и фторирование, с моими зубами за год все было замечательно, так как доктор дала мне нужные рекомендации, чтобы кариес больше не появлялся.
Спасибо за отзыв ❤️. Будем рады видеть вас снова 🌸
После приема Пациент записывался в клинику через 32top. После приёма мы позвонили ему и получили отзыв.
5 июня 2023 г.
1 2 3 4 5
Хорошая, доброжелательная атмосфера, можно сказать встречаю как по-домашнему, предлагаю кофе. Принимают всегда вовремя, по записи. Лечился у Людмилы Алексеевны, кариес, пульпит. Были сложные ситуации, но она смогла справиться спасти зуб. Могу сказать что я нашел своего доктора. Собираюсь продолжить лечение через несколько месяцев.
Благодарим Вас за оставленный отзыв. Рады, что работа доктора оставила у Вас только приятные впечатления. Будьте здоровы!
Спасибо за отзыв ❤️. Будем рады видеть вас снова 🌸
Спасибо за отзыв ❤️. Будем рады видеть вас снова 🌸
После приема Пациент записывался в клинику через 32top. После приёма мы позвонили ему и получили отзыв.
31 мая 2023 г.
1 2 3 4 5
Меня устраивает цена и качество. Отношение к пациентам доброжелательное, я бы сказала чуткое. Предупреждают о записи. Врач мне мой нравиться долго искала такого специалиста Мила Алексеевна. Доктор с хорошим опытом работы, всегда позитивна, отличный настрой, для детей рекомендую этого доктора.
Позвольте поблагодарить вас за выделенное время на написание отзыва и высокую оценку профессионализма нашего доктора. Будьте здоровы!
Спасибо за отзыв ❤️. Будем рады видеть вас снова 🌸
Спасибо за отзыв ❤️. Будем рады видеть вас снова 🌸
После приема Пациент записывался в клинику через 32top. После приёма мы позвонили ему и получили отзыв.
18 мая 2023 г.
1 2 3 4 5
Уже 15 лет посещаю эту клинику, всем довольна, уютная, чистая. Нравиться гибкая система графика. Цены средние по стране. Качество работы очень высокое основная мотивация посещения этой стоматологии. Нина Алексеевна и Марта Петровна это просто две волшебницы, ювелиры своего дела. Мила Алексеевна хорошо лечит каналы, пульпит, если какие-то сложные ситуации, только к ней. Очень рекомендую. Хирург Галичин Дмитрий Анатольевич - замечательный доктор, может проконсультировать по любой ситуации, очень грамотный и компетентный доктор. Он сопровождает пациента от начало лечения до полного выздоровления, что бывает большая редкость в других клиниках.
Благодарим за отзыв и доверие нашим специалистам. Будьте здоровы!
Спасибо за отзыв ❤️. Будем рады видеть вас снова 🌸
Спасибо за отзыв ❤️. Будем рады видеть вас снова 🌸
После приема Пациент записывался в клинику через 32top. После приёма мы позвонили ему и получили отзыв.
10 мая 2023 г.
1 2 3 4 5
В клинику давно обращаюсь, около двух лет. Хороший сервис, администраторы доброжелательно относятся, встречаю приветливо. Я все время у одного доктора проходила лечение у Розгон Милы, она достаточно профессиональный врач. У меня была сложная ситуация пролечивание кисты. У меня была старая металлокерамика и под ней образовалось восполнение, старую пломбы распиливали, это довольна таки тяжелая процедура, не каждый врач берется за такую работу, затем пролечивали и ставили современную керамику, не помню как называется точно. Я очень благодарна ей огромное СПАСИБО!
Здравствуйте! Большое вам спасибо за такой теплый отзыв и добрые слова в адрес нашего персонала! Желаем вам и вашим близким крепкого здоровья!
Спасибо за отзыв ❤️. Будем рады видеть вас снова 🌸
Спасибо за отзыв ❤️. Будем рады видеть вас снова 🌸
    Помогите другим сделать правильный выбор — оставьте свой отзыв о докторе
    Написать отзыв

    Услуги стоматолога в других клиниках

    Терапевтическая стоматология
    Лечение кариеса от 3 500 ₽ до 14 500 ₽
    Лечение пульпита от 5 000 ₽ до 35 000 ₽
    Еще услуги
    Протезирование зубов
    Лечение адентии от 25 000 ₽ до 110 000 ₽
    Установка коронки на зуб от 4 800 ₽ до 105 000 ₽
    Еще услуги