Стоматолог Моргунов Максим Андреевич — цены, отзывы, стаж — Принимает в Санкт-Петербурге (СПб)

Моргунов Максим Андреевич

Моргунов Максим Андреевич - фотография
стоматолог-терапевт
стоматолог-хирург
пародонтолог
Стаж 15 лет
Моргунов Максим Андреевич принимает в «Стоматология КРАСИВЫЕ ЗУБКИ» в Санкт-Петербурге. Стаж 15 лет. Специализируется на терапии, хирургии и пародонтологии, по которым клиника оказывает 27 услуг. Имеет 3 работы до/после в портфолио. Для уточнения дополнительной информации о специалисте или записи на прием можно позвонить по телефону
+7 (812)Показать телефон
.

Где принимает:

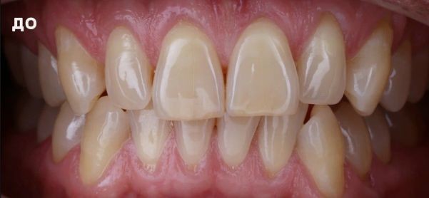
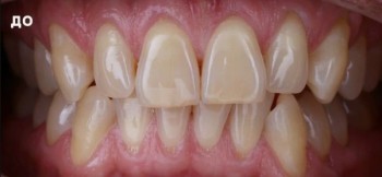
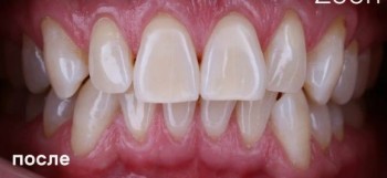
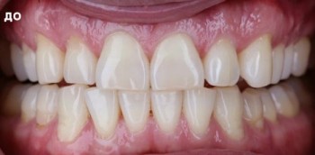
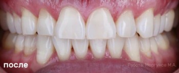
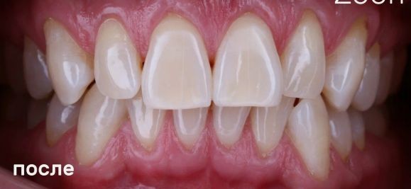
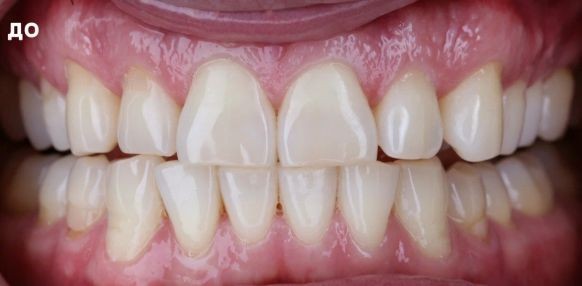
3 работы в портфолио
Опыт 15 лет

Моргунов Максим Андреевич: портфолио (3)

Отзывы о враче Моргунов Максим Андреевич

Почему нашим отзывам можно доверять?
13 сентября 2020 г.
1 2 3 4 5
Доктор вежливый, аккуратный, делала "Вектор". Процедура неприятная, но не страшно больно! Я решила чуть потерпеть, не люблю анестезию. На повторную консультацию пришла с мужем, доктор нашел время посмотреть мужа, его КТ, были даны рекомендации. Большой + клиники, мне перезвонили через неделю и передали рекомендации хирурга, который тоже посмотрел КТ. Спасибо за внимание, заботу!
    Помогите другим сделать правильный выбор — оставьте свой отзыв о докторе
    Написать отзыв

    Услуги стоматолога в других клиниках

    Пародонтология
    Лечение пародонтита от 200 ₽ до 27 000 ₽
    Лечение пародонтоза от 200 ₽ до 40 000 ₽
    Еще услуги
    Хирургическая стоматология
    Удаление зубов от 1 100 ₽ до 25 000 ₽
    Удаление кисты и гранулемы зуба от 1 100 ₽ до 27 000 ₽
    Еще услуги
    Профгигиена
    Чистка зубов Air-flow от 1 390 ₽ до 11 000 ₽