Стоматолог Кутовая Александра Игоревна — цены, отзывы, стаж — Принимает в Санкт-Петербурге (СПб)

Кутовая Александра Игоревна

Кутовая Александра Игоревна - фотография
детский стоматолог
Стаж 14 лет
Кутовая Александра Игоревна принимает в «Детская стоматология АТРИБЬЮТ КИДС» в Санкт-Петербурге. Стаж 14 лет. Специализируется на детской стоматологии, по которой клиника оказывает 9 услуг. Имеет 7 работ до/после в портфолио. Квалификация специалиста подтверждена 7 лицензиями, сертификатами и наградами. Для уточнения дополнительной информации о специалисте или записи на прием можно позвонить по телефону
+7 (812)Показать телефон
.

Где принимает:

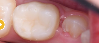
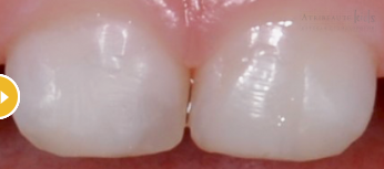
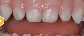
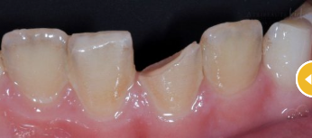
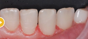
7 работ в портфолио
7 сертификатов
Опыт 14 лет

О стоматологе

Кутовая Александра Игоревна - ласковая фея для вашего малыша. Суперсила: знает все о тонкостях детской психологии. Эксперт в борьбе с кариозными монстрами. Реставрирует зубы на "загляденье". Легко находит общий язык с детьми и их родителями. Активный участник международных и российских стоматологических конференций и семинаров. Уделяет большое внимание психологии детей раннего возраста, проводит лечение с применением закиси азота, а также в медикаментозном сне. Имеет большой опыт в хирургической стоматологии.

Кутовая Александра Игоревна: портфолио (7)

    Помогите другим сделать правильный выбор — оставьте свой отзыв о докторе
    Написать отзыв

    Услуги стоматолога в других клиниках

    Эстетическая стоматология
    Виды отбеливания
    Отбеливание Zoom
    от 17 500 ₽ до 50 000 ₽
    Детская стоматология
    Лечение молочных зубов от 1 600 ₽ до 10 000 ₽
    Удаление зубов у детей от 740 ₽ до 8 250 ₽
    Еще услуги
    Профгигиена
    Чистка зубов Air-flow от 1 390 ₽ до 11 000 ₽