Стоматолог Завьялов Андрей Сергеевич — цены, отзывы, стаж — Принимает в Санкт-Петербурге (СПб)

Завьялов Андрей Сергеевич

Завьялов Андрей Сергеевич - фотография
стоматолог-ортопед
Стаж 21 год
Завьялов Андрей Сергеевич принимает в «Частная стоматологическая клиника УЛЫБКА» в Санкт-Петербурге. Стаж 21 год. Специализируется на ортопедии, по которой клиника оказывает 8 услуг. Имеет 5 работ до/после в портфолио. Для уточнения дополнительной информации о специалисте или записи на прием можно позвонить по телефону
+7 (812)Показать телефон
.

Где принимает:

Опыт 21 год
5 работ в портфолио

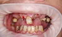
Завьялов Андрей Сергеевич : портфолио (5)

    Помогите другим сделать правильный выбор — оставьте свой отзыв о докторе
    Написать отзыв

    Услуги стоматолога в других клиниках

    Эстетическая стоматология
    Установка виниров от 29 000 ₽ до 82 600 ₽
    Протезирование зубов
    Установка коронки на зуб от 4 800 ₽ до 105 000 ₽
    Виды протезов
    Еще услуги