Стоматолог Прудникова Инна Владимировна — цены, отзывы, стаж — Принимает в Санкт-Петербурге (СПб)

Прудникова Инна Владимировна

Прудникова Инна Владимировна - фотография

5.0
Рейтинг: 5.0
Отзывов: 59
Положительных: 59
Отрицательных: 0
Последний : 154 дн. назад
59 отзывов
ТОП-20 в рейтинге
стоматолог-терапевт
пародонтолог
Стаж 22 года
Прудникова Инна Владимировна принимает в «СТОМАТОЛОГИЯ КОМФОРТА» в Санкт-Петербурге. Стаж 22 года. Специализируется на терапии и пародонтологии, по которым клиника оказывает 18 услуг. Имеет 2 работы до/после в портфолио. Квалификация специалиста подтверждена 6 лицензиями, сертификатами и наградами, а опыт 59 отзывами пациентов, из которых 59 положительные. Для уточнения дополнительной информации о специалисте или записи на прием можно позвонить по телефону
+7 (812)Показать телефон
. Занимает 19 место в рейтинге стоматологов вашего города.

Где принимает:

2 работы в портфолио
Топ 20 в рейтинге
6 сертификатов
Опыт 22 года

Отзывы о враче Прудникова Инна Владимировна

Рейтинг: 4.965
Отзывов: 59
Положительных: 59
Отрицательных: 0
Последний: 154 дн. назад
5.0
Почему нашим отзывам можно доверять?
После приема Пациент записывался в клинику через 32top. После приёма мы позвонили ему и получили отзыв.
5 декабря 2025 г.
1 2 3 4 5
Была на приеме у Прудниковой И.В. Хотела сделать небольшую замену пломбы, у меня там есть небольшой дефект, но оказалось, что мне это очень дорого обойдется, врач направил меня сначала на томографию зуба и челюстного сустава. Стоимость лечения около 15 тыс. руб. Я решила пока повременить с этим лечением, возможно еще вернусь к этому вопросу позже.
После приема Пациент записывался в клинику через 32top. После приёма мы позвонили ему и получили отзыв.
7 марта 2025 г.
1 2 3 4 5
Услугами этой стоматологии пользуюсь уже на протяжении многих лет. В основном лечение прохожу у Инны Прудниковой. Отличный доктор. Профессионал своего дела, никогда не возникало проблем после лечения.
После приема Пациент записывался в клинику через 32top. После приёма мы позвонили ему и получили отзыв.
1 марта 2025 г.
1 2 3 4 5
Клинику посоветовали друзья. Теперь сам регулярно здесь наблюдаюсь. В клинике все нравится, отличный персонал и врачебный состав. Лечение прохожу у стоматолога-терапевта Инны Владимировны. Доктор очень внимательная, дает подробную консультацию и профессионально подходит к лечению.
После приема Пациент записывался в клинику через 32top. После приёма мы позвонили ему и получили отзыв.
18 февраля 2025 г.
1 2 3 4 5
В клинику обращаюсь уже на протяжении 5 лет. Мне удобно пользоваться их услугами, находятся рядом с домом. Клиника хорошая, приветливый персонал. Лечение в основном провожу у доктора Инны Владимировны П. Отличный доктор, грамотная, внимательная, вежливая. Лечение всегда проходит хорошо. Качеством довольна.
После приема Пациент записывался в клинику через 32top. После приёма мы позвонили ему и получили отзыв.
6 февраля 2025 г.
1 2 3 4 5
Обратился в клинику к доктору Прудниковой Инне Владимировне. Я с детства боялся стоматологов, но после первого приёма все страхи ушли. Спокойная обстановка, чуткое отношение и, самое главное, отличный результат! Теперь я улыбаюсь без стеснения. Большое вам спасибо за ваш труд!
После приема Пациент записывался в клинику через 32top. После приёма мы позвонили ему и получили отзыв.
23 сентября 2022 г.
1 2 3 4 5
Прошла длительное лечение в этой стоматологии и не пожалела, что обратилась. Всё на высшем уровне. Чувствуется забота о пациентах, нет навязывания услуг. У меня была имплантация и протезирование. Время прошло очень быстро, всё шло по графику. Хочу поблагодарить моих врачей, которые подарили мне улыбку Инну Владимировну, Татьяну Николаевну и Игоря Игоревича. Теперь я постоянный клиент этой стоматологии. И хочется увидеть побольше различных акций и скидок.
После приема Пациент записывался в клинику через 32top. После приёма мы позвонили ему и получили отзыв.
30 августа 2022 г.
1 2 3 4 5
В эту стоматологию я пришла к конкретному врачу - Прудниковой Инне Владимировне. Мне понравился ее подход ко мне, устроил план лечения, из многих врачей я выбрала именно Инну Владимировну. У нас объёмная работа - предстоит вылечить много зубов. Записываюсь на прием заранее, накануне получаю звонок - напоминание. Комфорт для пациента в клинике на максимальном уровне.
После приема Пациент записывался в клинику через 32top. После приёма мы позвонили ему и получили отзыв.
19 августа 2022 г.
1 2 3 4 5
Много лет выбираю эту стоматологию за качество лечения. Мне нравится обращаться к Прудниковой Инне Владимировне. Приветливая, постоянно общается во время лечения с пациентом, постоянно спрашивает о самочувствии, предупреждает о возможном дискомфорте. Запись к доктору плотная, но я готова ждать, не хочу обращаться к другим врачам. Клиника меня полностью устраивает.
После приема Пациент записывался в клинику через 32top. После приёма мы позвонили ему и получили отзыв.
7 августа 2022 г.
1 2 3 4 5
Эту клинику я выбираю из-за конкретного врача, которому доверяю. Здесь принимает высококвалифицированный стоматолог Инна Владимировна. Она для меня подходит идеально, с ней психологическая совместимость, в процессе проговаривает каждую манипуляцию. Это лучший врач, у которого я когда-либо лечил зубы. Я сейчас долечиваю весь кариес и перехожу к имплантации.
После приема Пациент записывался в клинику через 32top. После приёма мы позвонили ему и получили отзыв.
26 июля 2022 г.
1 2 3 4 5
Больше десяти лет выбираем эту клинику. Лечение прохожу не только я, но и мой муж и мама. Мы очень довольны. Хорошая приятная атмосфера, добросовестные администраторы. Всегда пытаются найти удобное время. Ходим мы все к одному врачу Инне Владимировне. Интеллигентная, ответственная, лечит по самым новым методикам, чувствуется профессионализм. Я у нее делаю чистку, результат отличный. Всем советуем.
    Помогите другим сделать правильный выбор — оставьте свой отзыв о докторе
    Написать отзыв

    Услуги врача (14)

    Терапевтическая стоматология
    Лечение кариеса
    от 6 900 ₽ за 1 зуб
    Лечение пульпита
    от 12 320 ₽ за 1 зуб
    Установка пломбы
    от 6 900 ₽ за 1 зуб
    Еще услуги
    Пародонтология
    Лечение пародонтита
    от 3 000 ₽
    Лечение пародонтоза
    Лечение аппаратом Вектор
    от 3 000 ₽ в области 1 зуба
    Еще услуги
    Все цены носят ознакомительный характер. Точную цену вы сможете получить только после консультации специалиста.
    Звоните по телефону:
    +7 (812)Показать телефон

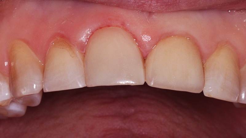
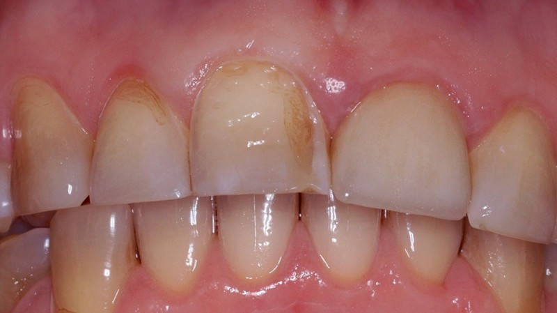
    Прудникова Инна Владимировна: портфолио (2)

    Акции и скидки клиники СТОМАТОЛОГИЯ КОМФОРТА (7)