Стоматолог Киселев Дмитрий Владимирович — цены, отзывы, стаж — Принимает в Санкт-Петербурге (СПб)

Киселев Дмитрий Владимирович

Киселев Дмитрий Владимирович - фотография
стоматолог-хирург
стоматолог-имплантолог
Стаж 23 года
Киселев Дмитрий Владимирович принимает в «Стоматология ДЖДЕНТ» в Санкт-Петербурге. Стаж 23 года. Специализируется на хирургии и имплантологии. Имеет 4 работы до/после в портфолио. Для уточнения дополнительной информации о специалисте или записи на прием можно позвонить по телефону
+7 (812)Показать телефон
.

Где принимает:

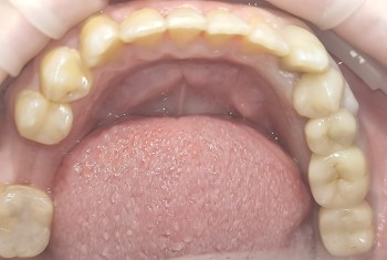
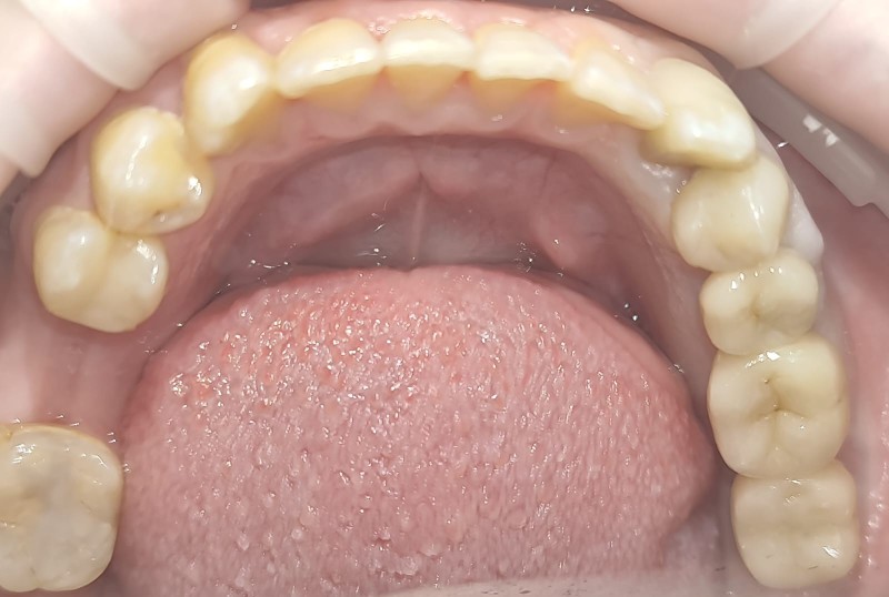
4 работы в портфолио
Опыт 23 года

О стоматологе

Основные профильные услуги :
Установка имплантов;
Одномоментная имплантация после удаления зуба;
Костная пластика и подсыпка костной ткани;
Открытый синус лифтинг и закрытый синус лифтинг;
All on 2, All on 4 , All on 6, All on 8;
Удаление зубов;
Удаление зуба мудрости.

Киселев Дмитрий Владимирович: портфолио (4)

    Помогите другим сделать правильный выбор — оставьте свой отзыв о докторе
    Написать отзыв

    Услуги стоматолога в других клиниках

    Хирургическая стоматология
    Удаление зубов от 1 100 ₽ до 25 000 ₽
    Удаление кисты и гранулемы зуба от 1 100 ₽ до 27 000 ₽
    Еще услуги
    Имплантация
    Установка мини-импланта от 5 000 ₽ до 34 000 ₽
    Коронки на имплантах от 11 500 ₽ до 89 900 ₽
    Еще услуги