Бажанов Иван Валерьевич
Стаж
13 лет
Бажанов Иван Валерьевич принимает в «Сеть стоматологических клиник ФАКТОР УЛЫБКИ» в Санкт-Петербурге. Стаж 13 лет. Специализируется на терапии и ортопедии, по которым клиника оказывает 33 услуги. Имеет 2 работы до/после в портфолио. Квалификация специалиста подтверждена 5 лицензиями, сертификатами и наградами. Для уточнения дополнительной информации о специалисте или записи на прием можно позвонить по телефону
+7 (812)Показать телефон
. Также 32top представляет форму онлайн расписания, через которую можно записаться к специалисту на свободную дату и время.
Где принимает:
-
Клиника перезвонит в течение 10 минут
-
Сеть стоматологических клиник ФАКТОР УЛЫБКИ на Коломяжском пр-т Коломяжский, д. 20Цена приема: от 850 ₽Клиника перезвонит в течение 10 минут
-
Сеть стоматологических клиник ФАКТОР УЛЫБКИ м. Комендантский проспект пр-т Авиаконструкторов, д. 2Цена приема: от 850 ₽Клиника перезвонит в течение 10 минут
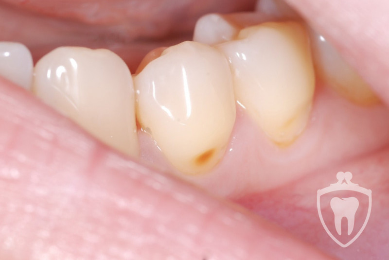
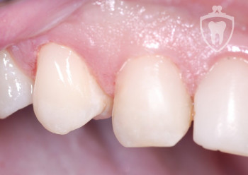
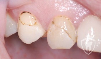
2 работы в портфолио
5 сертификатов
Опыт 13 лет
Помогите другим сделать правильный выбор — оставьте свой отзыв о докторе
Услуги врача (59)
Терапевтическая стоматология
Терапевтическая стоматология в Санкт-Петербурге
Лечение кариеса
от 4 730 ₽
до 9 700 ₽
за 1 зуб
Лечение кариеса ICON
от 7 400 ₽
за 1 зуб
Лечение поверхностного кариеса
от 4 730 ₽
Еще услуги
Протезирование зубов
Протезирование зубов в Санкт-Петербурге
Установка коронки на зуб
от 26 090 ₽
до 89 230 ₽
за 1 зуб
Установка протеза Акри Фри (Acry-Free)
от 63 730 ₽
за 1 челюсть
Ремонт зубных протезов
от 9 290 ₽
за 1 шт.
Еще услуги
Все цены носят ознакомительный характер.
Точную цену вы сможете получить только после консультации специалиста.
Звоните по телефону:
Нашли неточность?
Сообщите нам об ошибке
Отзывы о враче Бажанов Иван Валерьевич
Каждый отзыв проходит тщательную проверку Если у нас есть сомнения в достоверности, мы проводим дополнительную проверку: связываемся с автором отзыва и запрашиваем документы, подтверждающие факт посещения клиники.
30% отзывов не проходят модерацию Мы не размещаем и не допускаем к публикации заказные отзывы.
Собираем отзывы после приёма Наш колл-центр получает отзывы у пациентов, записавшихся на приём через 32top.