Стоматолог Горьких Вадим Васильевич — цены, отзывы, стаж — Принимает в Санкт-Петербурге (СПб)

Горьких Вадим Васильевич

Горьких Вадим Васильевич - фотография
стоматолог-ортопед
гнатолог
Стаж 20 лет
Горьких Вадим Васильевич принимает в «Стоматология ДИАДЕМА» в Санкт-Петербурге. Стаж 20 лет. Специализируется на ортопедии и гнатологии, по которым клиника оказывает 29 услуг. Имеет 7 работ до/после в портфолио. Квалификация специалиста подтверждена 19 лицензиями, сертификатами и наградами. Для уточнения дополнительной информации о специалисте или записи на прием можно позвонить по телефону
+7 (812)Показать телефон
. Также 32top представляет форму онлайн расписания, через которую можно записаться к специалисту на свободную дату и время.

Где принимает:

19 сертификатов
7 работ в портфолио
Опыт 20 лет
    Помогите другим сделать правильный выбор — оставьте свой отзыв о докторе
    Написать отзыв

    Услуги врача (22)

    Протезирование зубов
    Установка коронки на зуб
    от 15 000 ₽ за 1 зуб
    Установка протеза Акри Фри (Acry-Free)
    от 87 500 ₽ за 1 челюсть
    Ремонт зубных протезов
    от 7 500 ₽ за 1 шт.
    Еще услуги
    Все цены носят ознакомительный характер. Точную цену вы сможете получить только после консультации специалиста.
    Звоните по телефону:
    +7 (812)Показать телефон

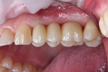
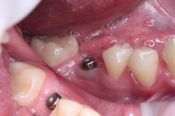
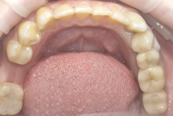
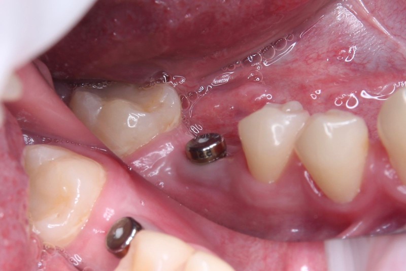
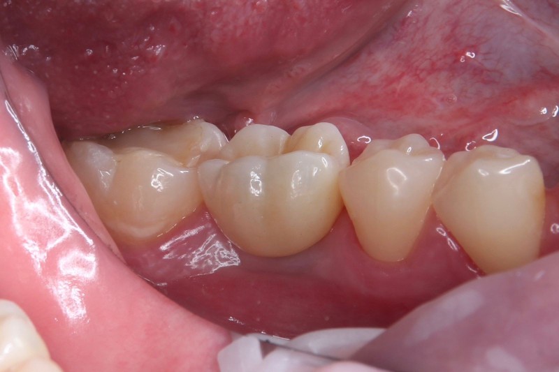
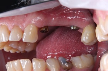
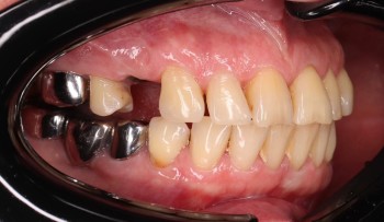
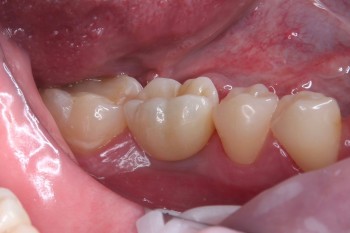
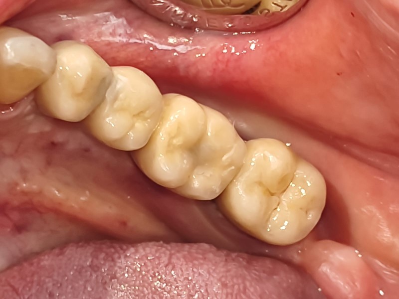
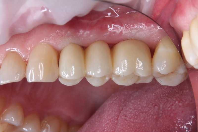
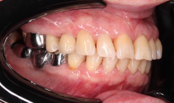
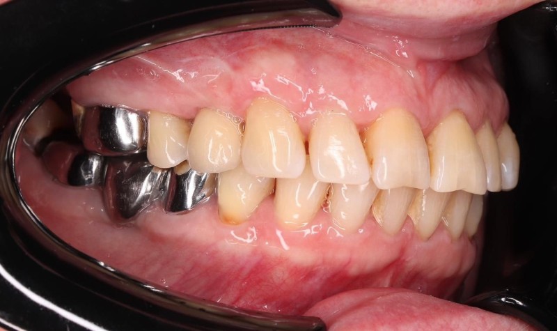
    Горьких Вадим Васильевич: портфолио (7)

    Акции и скидки клиники ДИАДЕМА (12)