Стоматолог Шибаева Дарья Андреевна — цены, отзывы, стаж — Принимает в Санкт-Петербурге (СПб)

Шибаева Дарья Андреевна

Шибаева Дарья Андреевна - фотография

4.0
Рейтинг: 4.0
Отзывов: 4
Положительных: 3
Отрицательных: 1
Последний : 261 дн. назад
4 отзыва
стоматолог-ортопед
Стаж 12 лет
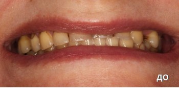
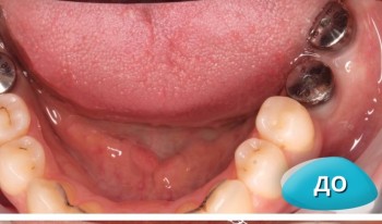
Шибаева Дарья Андреевна принимает в «Центр стоматологии СУПЕР СМАЙЛ» в Санкт-Петербурге. Стаж 12 лет. Специализируется на ортопедии, по которой клиника оказывает 9 услуг. Имеет 12 работ до/после в портфолио. Для уточнения дополнительной информации о специалисте или записи на прием можно позвонить по телефону
+7 (812)Показать телефон
. Также 32top представляет форму онлайн расписания, через которую можно записаться к специалисту на свободную дату и время.

Где принимает:

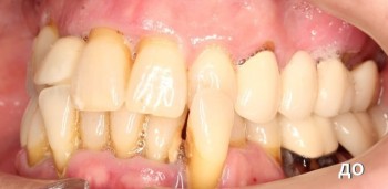
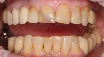
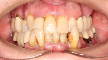
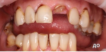
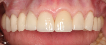
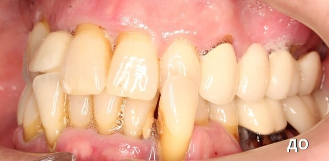
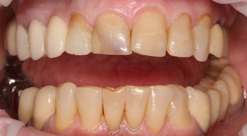
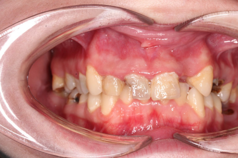
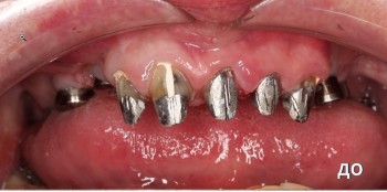
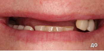
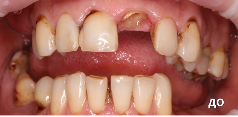
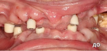
12 работ в портфолио
Опыт 12 лет

Отзывы о враче Шибаева Дарья Андреевна

Рейтинг: 4
Отзывов: 4
Положительных: 3
Отрицательных: 1
Последний: 261 дн. назад
4.0
Почему нашим отзывам можно доверять?
20 августа 2025 г.
1 2 3 4 5
Проходил лечение у Дарьи Шибаевой — ставил коронки на передние зубы. Врач подобрала оптимальный вариант под мой бюджет и сделала всё на высшем уровне. Теперь у меня красивая улыбка, за что очень благодарен! Отдельно хочу отметить куратора Валерию — она помогла составить план лечения и поддерживала на всех этапах. Администраторы тоже приветливые и внимательные.
Здравствуйте! Очень рады, что вы остались довольны результатом лечения и нашей командой. Дарья Шибаева и Валерия действительно настоящие профессионалы, и мы гордимся, что они работают у нас. Мы всегда стараемся обеспечить нашим клиентам высокий уровень сервиса и внимание на всех этапах. Благодарим вас за добрые слова и за то, что выбрали нас. Желаем вам всегда сохранять вашу красивую улыбку! Берегите себя и не забывайте о профилактике. С заботой о Вас, команда Super Smile.
20 февраля 2025 г.
1 2 3 4 5
Прошел полную диагностику зубов в клинике, и остался в полном восторге! Мне сделали КТ, а врачи Вероника Кравец и Дарья Шибаева подробно изучили мои проблемы, ответили на все вопросы и дали четкие рекомендации по лечению и уходу. В результате я получил подробный план лечения и 3D-снимки КТ на электронном носителе. Остались только положительные впечатления от клиники и её сотрудников. Спасибо за профессионализм и заботу! Обязательно порекомендую знакомым.
Здравствуйте! Спасибо большое за ваш положительный отзыв. Мы рады, что вы остались довольны нашим сервисом и работой врачей. Если у вас возникнут дополнительные вопросы или понадобится дальнейшая помощь, не стесняйтесь обращаться. Будем рады видеть вас и ваших знакомых в нашей клинике! Желаем здоровья и всего наилучшего! Берегите себя и не забывайте о профилактике. С заботой о Вас, команда Super Smile.
15 мая 2024 г.
1 2 3 4 5
Люди, если вам дороги ваши зубы, то не стоит обращаться в эту клинику. 14 мая 2024г. я обратился в клинику ЗУБНОЙ ЦЕНТР ко врачу Шибаевой Дарье Андреевне по адресу Будапештская ул., д. 2, корп. 1, СПб за консультацией по установке протеза. Дело в том, что кабинет не был полностью готов к обслуживанию-лечению пациента (не срабатывала подача воды, для промывания ротовой полости - требовалась перезагрузка аппарата). Далее, вышеупомянутая врач поставила диагноз с последующим расчетом – удаление больных зубов, не предоставив никаких показателей и доказательств, подтверждающих это. Т.е. это прямое доказательство того, что философия этой клиники- УДАЛЯТЬ НЕЗАМОРАЧИВАЯСЬ. И самый «прикол» был в том, что доктор Шибаева Д.А. выдала пробник крема «Корега» у которого срок годности истек уже в апреле месяце 2024г., на что врач ответила: «Ну, что нам дают, то и мы даём вам». Возникает сопутствующее опасение, что в этой клинике также и с другими препаратами и материалами. Это ужасно и преступно!!!...и вы (стоматологи клиники ЗУБНОЙ ЦЕНТР) после всего этого спрашиваете, почему мы боимся зубных врачей и не лечим зубы вовремя??
13 февраля 2023 г.
1 2 3 4 5
Замечательная клиника, оснащена современным оборудованием. К клиентам относятся душевно. Я не испытывала дискомфорт при посещении. Доктора - профессионалы. Ставила коронку. Доктор, Шибаева Дарья Андреевна, пока не убедилась в качестве, работу не закончила. Зато, когда коронка была поставлена, она никакого дискомфорта не создала, как тут и была. В общем, очень рекомендую.
Добрый день. Благодарим Вас за положительный отзыв о нашей клинике! Мы рады, что Вас привлекло наше современное оборудование и душевное отношение к клиентам. Мы приложим все усилия, чтобы сохранить наш профессиональный уровень и не допустить никакого дискомфорта для наших пациентов. Благодарим Вас за рекомендацию нашей клиники. Берегите себя и не забывайте о профилактике. С уважением, команда Super Smile.
    Помогите другим сделать правильный выбор — оставьте свой отзыв о докторе
    Написать отзыв

    Услуги врача (27)

    Протезирование зубов
    Установка коронки на зуб
    от 27 000 ₽ за 1 зуб
    Установка протеза Акри Фри (Acry-Free)
    Ремонт зубных протезов
    Еще услуги
    Все цены носят ознакомительный характер. Точную цену вы сможете получить только после консультации специалиста.
    Звоните по телефону:
    +7 (812)Показать телефон

    Шибаева Дарья Андреевна: портфолио (12)

    Акции и скидки клиники СУПЕР СМАЙЛ (5)