Каждый отзыв проходит тщательную проверку
Если у нас есть сомнения в достоверности, мы проводим дополнительную проверку:
связываемся с автором отзыва и запрашиваем документы, подтверждающие факт посещения клиники.
30% отзывов не проходят модерацию
Мы не размещаем и не допускаем к публикации заказные отзывы.
Собираем отзывы после приёма
Наш колл-центр получает отзывы у пациентов, записавшихся на приём через 32top.
Отлично!
а
+7 (9X1) X85-XX-XX
11 октября 2022 г.
12345
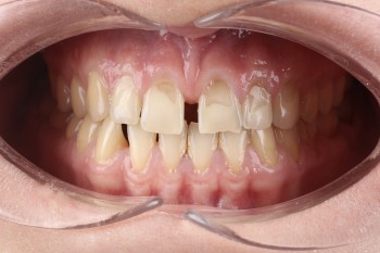
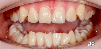
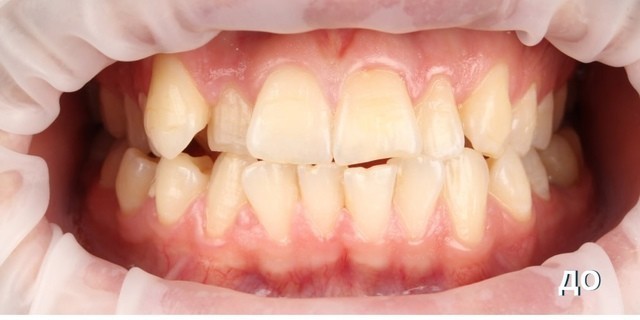
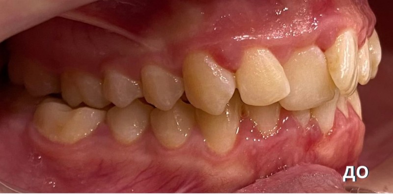
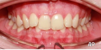
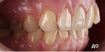
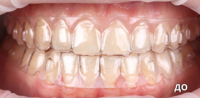
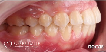
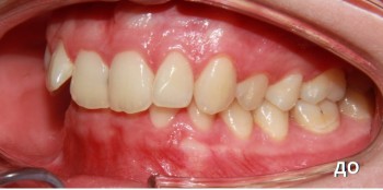
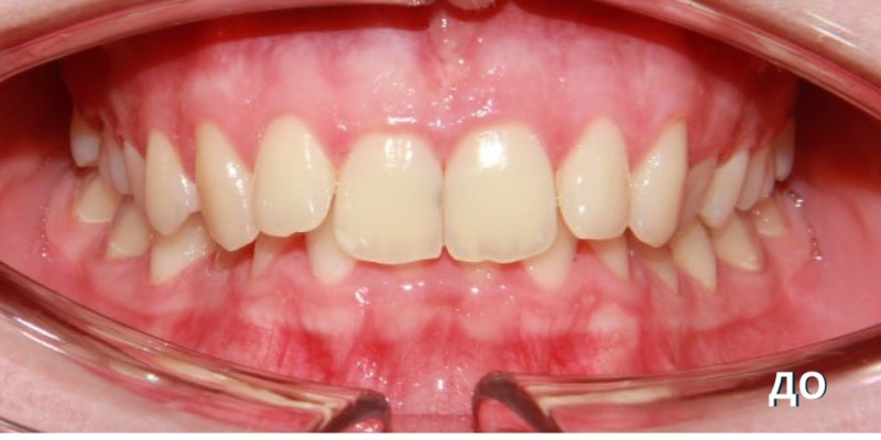
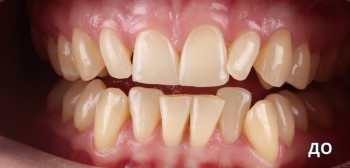
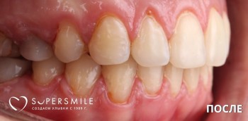
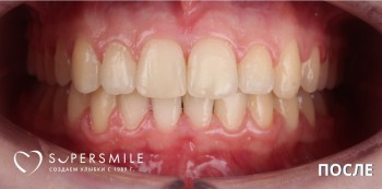
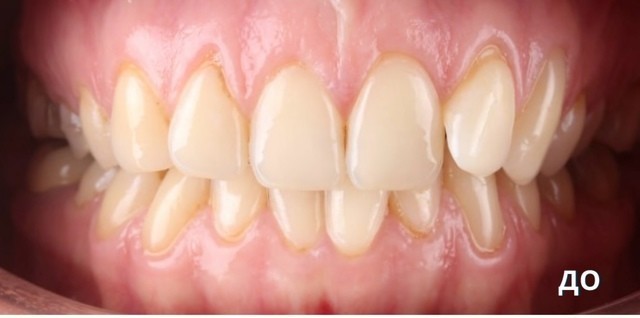
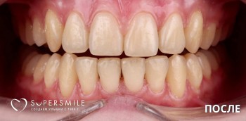
Пришла на ортодонтическое лечение к Бруме В. М. Она профессионал в своём деле, очень вежливая и доброжелательная. Клиники находятся рядом с метро, тут всегда чисто, приятная атмосфера. Здесь тебя всегда встретят с улыбкой и теплотой. Выбирайте эту клинику, не пожалеете.
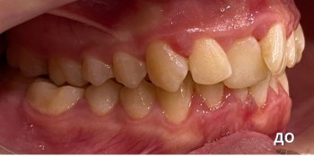
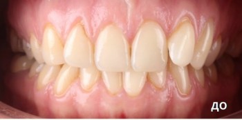
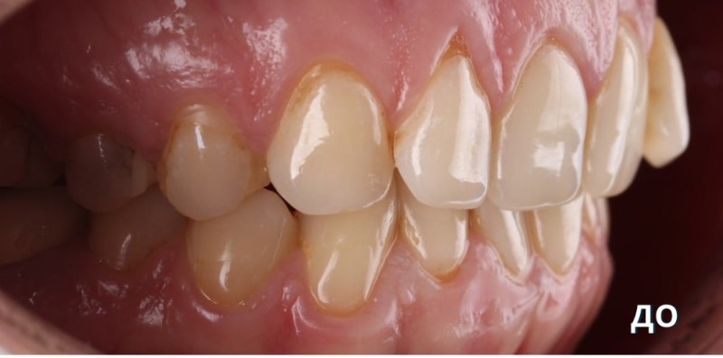
Отзывы о враче Брума Валерия Марчеловна
Каждый отзыв проходит тщательную проверку Если у нас есть сомнения в достоверности, мы проводим дополнительную проверку: связываемся с автором отзыва и запрашиваем документы, подтверждающие факт посещения клиники.
30% отзывов не проходят модерацию Мы не размещаем и не допускаем к публикации заказные отзывы.
Собираем отзывы после приёма Наш колл-центр получает отзывы у пациентов, записавшихся на приём через 32top.