Стоматолог Шумейко Светлана Владимировна — цены, отзывы, стаж — Принимает в Санкт-Петербурге (СПб)

Шумейко Светлана Владимировна

Шумейко Светлана Владимировна - фотография

5.0
Рейтинг: 5.0
Отзывов: 5
Положительных: 5
Отрицательных: 0
Последний : 1098 дн. назад
5 отзывов
стоматолог-терапевт
детский стоматолог
Стаж 20 лет
Шумейко Светлана Владимировна принимает в «Клиника челюстно-лицевой реабилитации и стоматологии АВАЛОН» в Санкт-Петербурге. Стаж 20 лет. Специализируется на терапии и детской стоматологии, по которым клиника оказывает 32 услуги. Имеет 3 работы до/после в портфолио. Для уточнения дополнительной информации о специалисте или записи на прием можно позвонить по телефону
+7 (812)Показать телефон
.

Где принимает:

Опыт 20 лет
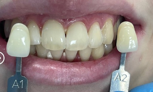
3 работы в портфолио

Шумейко Светлана Владимировна: портфолио (3)

Отзывы о враче Шумейко Светлана Владимировна

Рейтинг: 5
Отзывов: 5
Положительных: 5
Отрицательных: 0
Последний: 1098 дн. назад
5.0
Почему нашим отзывам можно доверять?
7 мая 2023 г.
1 2 3 4 5
03.05.23 с сыном первый раз посетили клинику доктора Кострубина. Впечатления только положительные. Порадовала доброжелательность, доктора максимально старались поддержать ребёнка, сделать так, чтобы ему было комфортно, сына порадовали подарочки в конце приёма) очень приятно) Врачи всё нужное объяснили и дали дополнительные рекомендации. Здорово,что смогли воспользоваться приятной скидкой. Спасибо докторам Шумейко С.В. и Ловыреву Б.В. И спасибо администратору, которая помогла организовать прием у двух врачей в один день.
30 марта 2023 г.
1 2 3 4 5
Работа выполнена качественно, профессионально, аккуратно. Полировка и шлифовка зубов выполнена на самом высшем уровне. Зубы выглядят идеально. Доктор Шумейко Светлана Владимировна заряжает пациента позитивом и хорошим настроением!
20 января 2023 г.
1 2 3 4 5
Лечусь в этой клинике всей семьей много лет, у терапевта Шумейко Светланы Владимировны, собственно благодаря ее переходу в эту клинику мы и познакомились с ортопедом Станиславом Анатольевичем Кострубиным. Пожилые родители ему очень благодарны за внимание и отличную работу, они теперь с очень удобными зубными протезами. Мы с мужем и невесткой теперь с современными имплантами, хирург была на высоте! Станислав Анатольевич навел порядок в наших ртах, заменил старые и не удобные металло-керамические коронки на новые, современные, невесомые. Мы теперь улыбаемся уверенно, а главное едим не задумываясь на какой стороне жевать. Ассистенты врача и девочки на ресепшене помогают и подбадривают, так что мы приходим в эту клинику с удовольствием и точно уверены, что любую нашу проблему с зубами, здесь решат и решат максимально быстро и без болевых ощущений. Спасибо за все!
4 декабря 2022 г.
1 2 3 4 5
Отличная клиника. Пришел сюда с сильной зубной болью - сразу приняли, вылечили и отпустили) Теперь периодически посещаю долечивать остальное. Спасибо Светлане Шумейко и ассистенту, очень приятно ходить лечить зубы)
27 ноября 2022 г.
1 2 3 4 5
Хожу в эту клинику уже года два! Всё просто замечательно. Недавно решилась на отбеливание. Благодаря доктору Светлане Шумейко вся процедура прошла просто замечательно, на одном дыхании. После процедуры Светлана дала рекомендации, всё разъяснила. Я очень довольна результатом, буду советовать клинику и Светлану всем знакомым !
    Помогите другим сделать правильный выбор — оставьте свой отзыв о докторе
    Написать отзыв

    Услуги стоматолога в других клиниках

    Диагностика
    Консультация стоматолога от 1 ₽ до 3 500 ₽
    Консультация детского стоматолога от 310 ₽ до 4 300 ₽
    Терапевтическая стоматология
    Лечение кариеса от 3 500 ₽ до 14 500 ₽
    Лечение пульпита от 5 000 ₽ до 35 000 ₽
    Еще услуги
    Детская стоматология
    Лечение молочных зубов от 1 600 ₽ до 10 000 ₽
    Удаление зубов у детей от 740 ₽ до 8 250 ₽
    Еще услуги