Стоматолог Косолапова Татьяна Олеговна — цены, отзывы, стаж — Принимает в Санкт-Петербурге (СПб)

Косолапова Татьяна Олеговна

Косолапова Татьяна Олеговна - фотография
стоматолог-ортодонт
детский стоматолог
Косолапова Татьяна Олеговна принимает в «Стоматология ОРТОДОНТИЧЕСКАЯ СТУДИЯ ЛЕОНИДА ГОРБУНОВА» в Санкт-Петербурге. Специализируется на ортодонтии и детской стоматологии, по которым клиника оказывает 16 услуг. Имеет 13 работ до/после в портфолио. Квалификация специалиста подтверждена 31 лицензиями, сертификатами и наградами. Для уточнения дополнительной информации о специалисте или записи на прием можно позвонить по телефону
+7 (812)Показать телефон
.

Где принимает:

31 сертификат
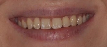
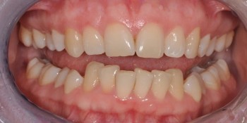
13 работ в портфолио

Косолапова Татьяна Олеговна: портфолио (13)

    Помогите другим сделать правильный выбор — оставьте свой отзыв о докторе
    Написать отзыв