Стоматолог Бойцов Игорь Анатольевич — цены, отзывы, стаж — Принимает в Санкт-Петербурге (СПб)

Бойцов Игорь Анатольевич

Бойцов Игорь Анатольевич - фотография

5.0
Рейтинг: 5.0
Отзывов: 2
Положительных: 2
Отрицательных: 0
Последний : 14 дн. назад
2 отзыва
стоматолог-ортопед
стоматолог-хирург
гнатолог
Стаж 34 года
к.м.н., врач высшей категории
Бойцов Игорь Анатольевич принимает в «Стоматология ДИАДЕМА» в Санкт-Петербурге. К.м.н., врач высшей категории, стаж 34 года. Специализируется на ортопедии, хирургии и гнатологии, по которым клиника оказывает 42 услуги. Имеет 16 работ до/после в портфолио. Квалификация специалиста подтверждена 2 лицензиями, сертификатами и наградами. Для уточнения дополнительной информации о специалисте или записи на прием можно позвонить по телефону
+7 (812)Показать телефон
. Также 32top представляет форму онлайн расписания, через которую можно записаться к специалисту на свободную дату и время.

Где принимает:

2 сертификата
16 работ в портфолио
Опыт 34 года
Врач высшей категории
Кандидат мед.наук

Отзывы о враче Бойцов Игорь Анатольевич

Рейтинг: 5
Отзывов: 2
Положительных: 2
Отрицательных: 0
Последний: 14 дн. назад
5.0
Почему нашим отзывам можно доверять?
После приема Пациент записывался в клинику через 32top. После приёма мы позвонили ему и получили отзыв.
25 апреля 2026 г.
1 2 3 4 5
Был в Диадеме на консультации по протезированию зубов. Принял и провел осмотр и консультацию Игорь Анатольевич. Отличный специалист, очень подробно все изложил, составил план лечения, ответил на все мои вопросы, назвал сроки лечения и стоимость. Консультацией доволен, но для меня дороговато лечение в этой клинике, буду рассматривать другие клиники.
Здравствуйте Спасибо за Ваш отзыв и высокую оценку С наилучшими пожеланиями, администрация стоматологии Диадема
После приема Пациент записывался в клинику через 32top. После приёма мы позвонили ему и получили отзыв.
16 апреля 2026 г.
1 2 3 4 5
Выбирал клинику для имплантации. Был на консультации у Игоря Анатольевича. Консультацией доволен, врач четко все объяснил и рассказал о процессе лечения, назвал сроки и стоимость. Сама клиника понравилась, современная и удобно расположена. Буду принимать решение.
Здравствуйте Спасибо за Ваш отзыв и высокую оценку С наилучшими пожеланиями, администрация стоматологии Диадема
    Помогите другим сделать правильный выбор — оставьте свой отзыв о докторе
    Написать отзыв

    Услуги врача (18)

    Хирургическая стоматология
    Удаление зубов
    от 4 875 ₽ до 26 250 ₽ за 1 зуб
    Удаление зуба мудрости
    от 15 000 ₽ до 26 250 ₽ за 1 зуб
    Сложное удаление зуба
    от 10 620 ₽ до 26 250 ₽ за 1 зуб
    Еще услуги
    Все цены носят ознакомительный характер. Точную цену вы сможете получить только после консультации специалиста.
    Звоните по телефону:
    +7 (812)Показать телефон

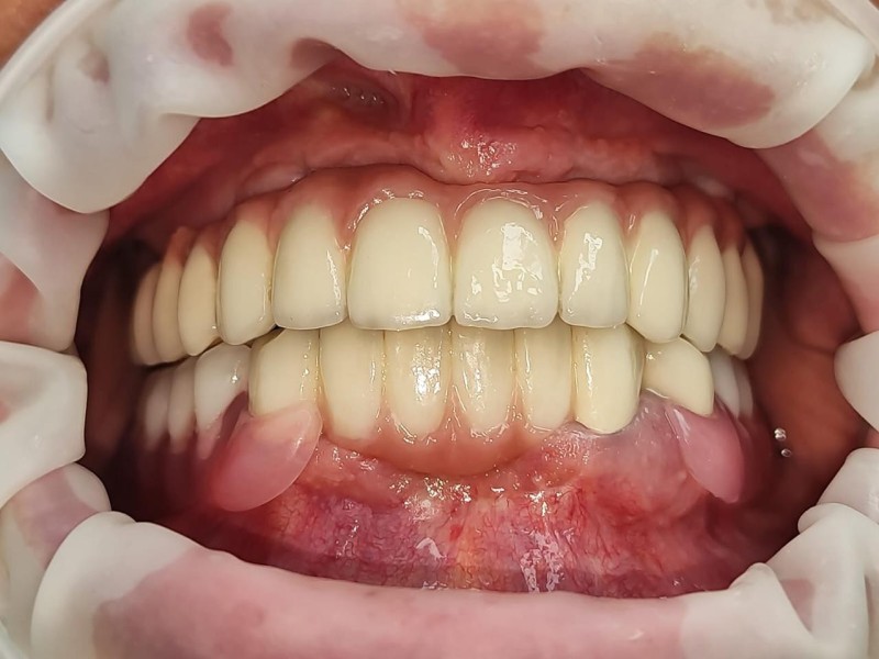
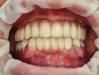
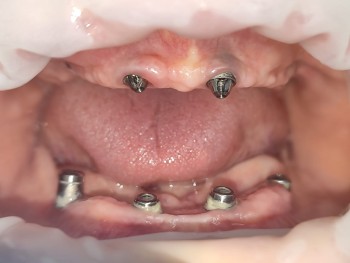
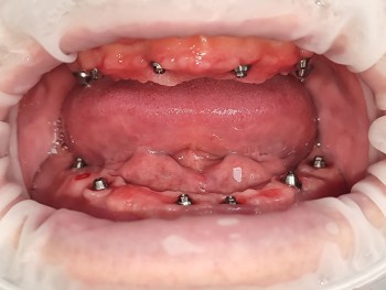
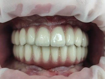
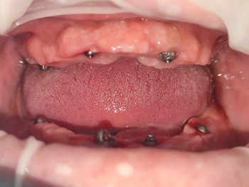
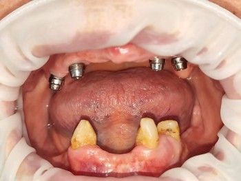
    Бойцов Игорь Анатольевич: портфолио (16)

    Акции и скидки клиники ДИАДЕМА (12)