Стоматолог Виноградова Ольга Викторовна — цены, отзывы, стаж — Принимает в Санкт-Петербурге (СПб)

Виноградова Ольга Викторовна

Виноградова Ольга Викторовна - фотография

5.0
Рейтинг: 5.0
Отзывов: 2
Положительных: 2
Отрицательных: 0
Последний : 1607 дн. назад
2 отзыва
стоматолог-терапевт
Стаж 29 лет
врач высшей категории, главный врач
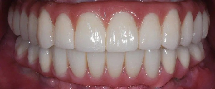
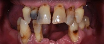
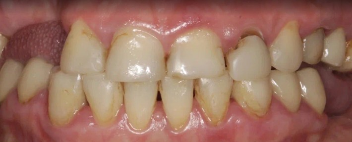
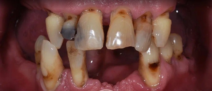
Виноградова Ольга Викторовна принимает в «Клиника высшей категории ГИЛЬДИЯ СТОМАТОЛОГОВ» в Санкт-Петербурге. Главный врач, врач высшей категории, стаж 29 лет. Специализируется на терапии, по которой клиника оказывает 26 услуг. Имеет 3 работы до/после в портфолио. Квалификация специалиста подтверждена 24 лицензиями, сертификатами и наградами. Для уточнения дополнительной информации о специалисте или записи на прием можно позвонить по телефону
+7 (812)Показать телефон
.

Где принимает:

Врач высшей категории
24 сертификата
Главный врач
Опыт 29 лет
3 работы в портфолио

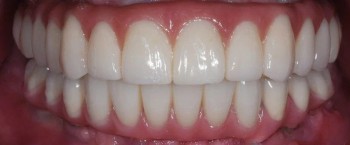
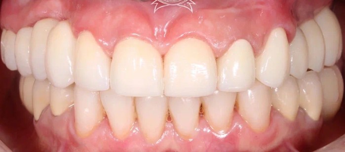
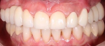
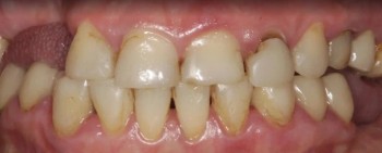
Виноградова Ольга Викторовна: портфолио (3)

Отзывы о враче Виноградова Ольга Викторовна

Рейтинг: 5
Отзывов: 2
Положительных: 2
Отрицательных: 0
Последний: 1607 дн. назад
5.0
Почему нашим отзывам можно доверять?
13 декабря 2021 г.
1 2 3 4 5
Я проходила лечение в клинике «Гильдия Стоматологов» у Виноградовой Ольги. У меня продолжительное время болел зуб и десна над ним периодически воспалялась и гноилась. Сам зуб был мёртвый. Все советовали удалять! А зуб, конечно, хотелось сохранить. Ольга Викторовна оценив состояние, сказала, что зуб еще можно сохранить и провела лечение. После доктор сказала что нужно сделать, чтобы такое более не повторилось. Спасибо вам большое!
Добрый день! От всей души благодарим вас за высокую оценку нашего специалиста. Обязательно передадим вашу похвалу Ольге Викторовне. Постараемся и впредь поддерживать оказанное нам доверие. Потребуется квалифицированная помощь – ждём вас. С пожеланиями всего наилучшего, ваша «Гильдия стоматологов»!
15 мая 2020 г.
1 2 3 4 5
15.05.2020 в первый раз посетила Ольгу Викторовну, пожалела лишь об одном - что раньше не встретила ее! Очень хороший, умный, добрый врач, грамотная: все доходчиво объяснила и сделала! Друзьям и родным однозначно буду советовать Ольгу Викторовну и сама теперь буду ходить лечится только к ней! Весёлая и улыбчивая, даже сидя в стоматологическом кресле было не страшно, а моментами даже смешно. Все прошло на ура, хотя визиты к стоматологам обычно у меня так не проходят. Мастер своего дела! Замечательно, что есть такие врачи! Спасибо Ольге Викторовне!
    Помогите другим сделать правильный выбор — оставьте свой отзыв о докторе
    Написать отзыв

    Услуги стоматолога в других клиниках

    Терапевтическая стоматология
    Лечение кариеса от 3 500 ₽ до 14 500 ₽
    Лечение пульпита от 5 000 ₽ до 35 000 ₽
    Еще услуги