Стоматолог Хубецова Алана Юрьевна — цены, отзывы, стаж — Принимает в Санкт-Петербурге (СПб)

Хубецова Алана Юрьевна

Хубецова Алана Юрьевна - фотография
стоматолог-ортодонт
гнатолог
Стаж 8 лет
Хубецова Алана Юрьевна принимает в «Сеть стоматологических клиник РАДЕНТАЛЬ» в Санкт-Петербурге. Стаж 8 лет. Специализируется на ортодонтии и гнатологии, по которым клиника оказывает 11 услуг. Для уточнения дополнительной информации о специалисте или записи на прием можно позвонить по телефону
+7 (812)Показать телефон
.

Где принимает:

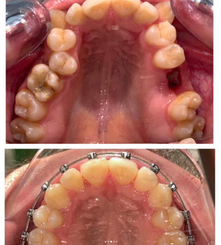
1 работа в портфолио
Опыт 8 лет
    Помогите другим сделать правильный выбор — оставьте свой отзыв о докторе
    Написать отзыв

    Хубецова Алана Юрьевна: портфолио (1)

    Услуги стоматолога в других клиниках

    Диагностика
    Консультация стоматолога от 1 ₽ до 3 500 ₽
    Консультация ортодонта от 1 ₽ до 5 000 ₽
    Еще услуги
    Ортодонтия
    Виды брекетов по материалу
    Установка металлических брекетов
    от 12 100 ₽ до 248 650 ₽
    Еще услуги