Стоматолог Майборода Александр Владимирович — цены, отзывы, стаж — Принимает в Санкт-Петербурге (СПб)

Майборода Александр Владимирович

Майборода Александр Владимирович - фотография
стоматолог-хирург
стоматолог-имплантолог
Стаж 21 год
Майборода Александр Владимирович принимает в «Стоматология ЛИНАР» в Санкт-Петербурге. Стаж 21 год. Специализируется на хирургии и имплантологии, по которым клиника оказывает 10 услуг. Квалификация специалиста подтверждена 16 лицензиями, сертификатами и наградами. Для уточнения дополнительной информации о специалисте или записи на прием можно позвонить по телефону
+7 (981)Показать телефон
. Также 32top представляет форму онлайн расписания, через которую можно записаться к специалисту на свободную дату и время.

Где принимает:

1 работа в портфолио
Опыт 21 год
16 сертификатов

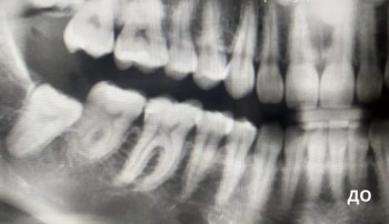
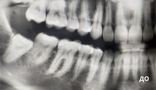
Майборода Александр Владимирович: портфолио (1)

Отзывы о враче Майборода Александр Владимирович

Почему нашим отзывам можно доверять?
10 сентября 2024 г.
1 2 3 4 5
Здесь отличное обслуживание! Администраторы вежливые, а врачи настоящие специалисты. Мы решили проблемы с зубами в полтора раза дешевле, чем в другой клинике. Очень советую терапевта Марию Козлову и хирурга Александра Майбороду — у них очень грамотный подход к пациентам. Спасибо за красивую улыбку и прекрасное настроение, а ещё за то, что сэкономили деньги!
Здравствуйте! Спасибо за высокую оценку и приятные слова в адрес наших специалистов и клиники. Желаем здоровья Вам и Вашей семье. С уважением, Первая семейная клиника Петербурга
    Помогите другим сделать правильный выбор — оставьте свой отзыв о докторе
    Написать отзыв

    Услуги стоматолога в других клиниках

    Хирургическая стоматология
    Удаление зубов от 1 100 ₽ до 25 000 ₽
    Удаление кисты и гранулемы зуба от 1 100 ₽ до 27 000 ₽
    Еще услуги