Стоматолог Лукашенок Ирина Николаевна — цены, отзывы, стаж — Принимает в Санкт-Петербурге (СПб)

Лукашенок Ирина Николаевна

Лукашенок Ирина Николаевна - фотография

5.0
Рейтинг: 5.0
Отзывов: 2
Положительных: 2
Отрицательных: 0
Последний : 2054 дн. назад
2 отзыва
стоматолог-терапевт
Стаж 33 года
Лукашенок Ирина Николаевна принимает в «Сеть стоматологических клиник ПЕРВАЯ СЕМЕЙНАЯ СТОМАТОЛОГИЯ ПЕТЕРБУРГА» в Санкт-Петербурге. Стаж 33 года. Специализируется на терапии, по которой клиника оказывает 18 услуг. Имеет 3 работы до/после в портфолио. Квалификация специалиста подтверждена 7 лицензиями, сертификатами и наградами. Также 32top представляет форму онлайн расписания, через которую можно записаться к специалисту на свободную дату и время.
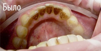
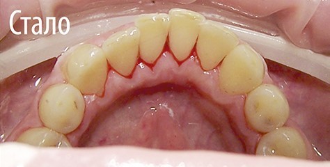
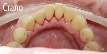
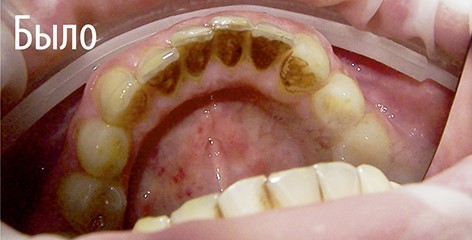
3 работы в портфолио
Опыт 33 года
7 сертификатов

Лукашенок Ирина Николаевна: портфолио (3)

Отзывы о враче Лукашенок Ирина Николаевна

Рейтинг: 5
Отзывов: 2
Положительных: 2
Отрицательных: 0
Последний: 2054 дн. назад
5.0
Почему нашим отзывам можно доверять?
23 сентября 2020 г.
1 2 3 4 5
Всегда очень тщательно проводит осмотр и лечение. Расскажет о возможных вариантах лечения, стоимости. Доктор Ирина Николаевна - настоящий профессионал своего дела, очень грамотный доктор, ответственный. Она уважительна и неравнодушна к проблемам своих пациентов, делает работу качественно, аккуратно. Ещё не один из вылеченных зубов за несколько лет не беспокоил после лечения. Научила меня правильно чистить зубы, что является главным для профилактики кариеса и других заболеваний зубов и десен.
11 августа 2020 г.
1 2 3 4 5
Лечила у Ирины Николаевны несколько раз зубы, могу сказать, что врач удивляет своим отношением, воспитанием и качеством работы! Не к чему придраться!
    Помогите другим сделать правильный выбор — оставьте свой отзыв о докторе
    Написать отзыв

    Услуги стоматолога в других клиниках

    Терапевтическая стоматология
    Лечение кариеса от 3 500 ₽ до 14 500 ₽
    Лечение пульпита от 5 000 ₽ до 35 000 ₽
    Еще услуги