Стоматолог Бохан Александр Викторович — цены, отзывы, стаж — Принимает в Санкт-Петербурге (СПб)

Бохан Александр Викторович

Бохан Александр Викторович - фотография

5.0
Рейтинг: 5.0
Отзывов: 3
Положительных: 3
Отрицательных: 0
Последний : 1568 дн. назад
3 отзыва
стоматолог-терапевт
стоматолог-хирург
Стаж 18 лет
Бохан Александр Викторович принимает в «Стоматология КРАСИВЫЕ ЗУБКИ» в Санкт-Петербурге. Стаж 18 лет. Специализируется на терапии и хирургии, по которым клиника оказывает 7 услуг. Квалификация специалиста подтверждена 4 лицензиями, сертификатами и наградами. Для уточнения дополнительной информации о специалисте или записи на прием можно позвонить по телефону
+7 (911)Показать телефон
.

Где принимает:

Опыт 18 лет
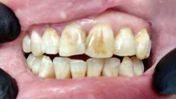
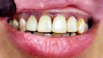
1 работа в портфолио
4 сертификата

Бохан Александр Викторович: портфолио (1)

Отзывы о враче Бохан Александр Викторович

Рейтинг: 5
Отзывов: 3
Положительных: 3
Отрицательных: 0
Последний: 1568 дн. назад
5.0
Почему нашим отзывам можно доверять?
После приема Пациент записывался в клинику через 32top. После приёма мы позвонили ему и получили отзыв.
21 января 2022 г.
1 2 3 4 5
Очень долго посещаю эту стоматологию. Очень нравится обслуживание. Администраторы всегда тактичны и внимательны, готовы ответить на вопросы. Проходила лечение у Евгении Богдановны и Александра Викторовича. Профессионалы, отличные специалисты. Лечила кариес, делала чистку, поставила коронку на зуб. Меня устроила качество их работы и результат моего лечения. Скоро обращусь еще раз в клинику.
После приема Пациент записывался в клинику через 32top. После приёма мы позвонили ему и получили отзыв.
28 декабря 2021 г.
1 2 3 4 5
Через интернет нашел эту стоматологию. Понравилось оборудование, персонал, чистота. Был на приеме у Александра Викторовича. Очень порядочный, добрый, профессиональный врач. Проводил мне чистку, удаление зубов. Всем доволен. Удаление прошло комфортно, без боли и кровопотери. Настоящий знаток своего дела.
15 сентября 2020 г.
1 2 3 4 5
Александр Викторович проводил мне удаление "восьмёрки" или пресловутый "зуб мудрости". Этот самый зуб вдруг решил проснуться и начал болеть, расти по какому-то своему плану. Обратился в клинику, направили к доктору Бохану А. В., как к специалисту по таким вопросам. После рентгена мне популярно объяснили, почему зуб следует удалять и какие могут быть последствия, если оставить всё, как есть (да я и не возражал). Всё происходило под анестезией, с разрезом и наложением шва после удаления. Побаливало, конечно, когда обезболивающее отпустило (предупредили). Но всё прошло без последствий. Работой доктора доволен.
    Помогите другим сделать правильный выбор — оставьте свой отзыв о докторе
    Написать отзыв

    Услуги стоматолога в других клиниках

    Терапевтическая стоматология
    Лечение кариеса от 3 500 ₽ до 14 500 ₽
    Лечение пульпита от 5 000 ₽ до 35 000 ₽
    Еще услуги
    Хирургическая стоматология
    Удаление зубов от 1 100 ₽ до 25 000 ₽
    Удаление кисты и гранулемы зуба от 1 100 ₽ до 27 000 ₽
    Еще услуги