Стоматолог Луговская Екатерина Сергеевна — цены, отзывы, стаж — Принимает в Санкт-Петербурге (СПб)

Луговская Екатерина Сергеевна

Луговская Екатерина Сергеевна - фотография
стоматолог-ортодонт
Стаж 7 лет
Луговская Екатерина Сергеевна принимает в «Стоматологическая клиника ВИ ДЕНТ» в Санкт-Петербурге. Стаж 7 лет. Специализируется на ортодонтии, по которой клиника оказывает 10 услуг. Имеет 8 работ до/после в портфолио. Квалификация специалиста подтверждена 4 лицензиями, сертификатами и наградами. Для уточнения дополнительной информации о специалисте или записи на прием можно позвонить по телефону
+7 (812)Показать телефон
.

Где принимает:

Опыт 7 лет
4 сертификата
8 работ в портфолио
    Помогите другим сделать правильный выбор — оставьте свой отзыв о докторе
    Написать отзыв

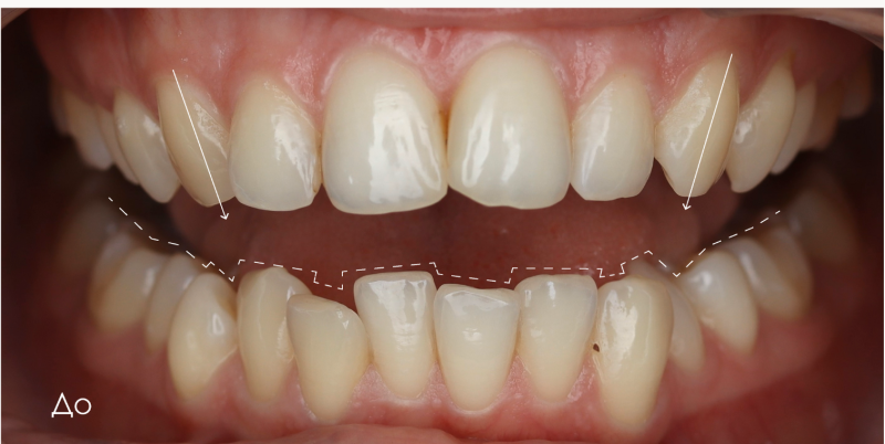
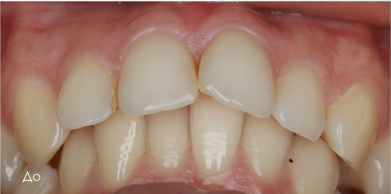
    Луговская Екатерина Сергеевна: портфолио (8)

    Услуги стоматолога в других клиниках

    Ортодонтия
    Виды брекетов по материалу
    Установка металлических брекетов
    от 12 100 ₽ до 248 650 ₽
    Еще услуги