Стоматолог Захаров Юрий Вячеславович — цены, отзывы, стаж — Принимает в Санкт-Петербурге (СПб)

Захаров Юрий Вячеславович

Захаров Юрий Вячеславович - фотография

5.0
Рейтинг: 5.0
Отзывов: 3
Положительных: 3
Отрицательных: 0
Последний : 1006 дн. назад
3 отзыва
стоматолог-ортопед
Стаж 17 лет
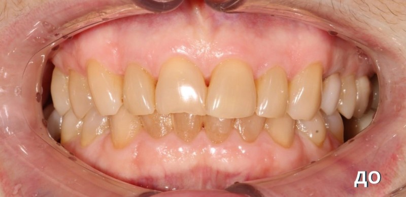
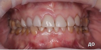
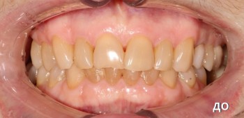
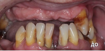
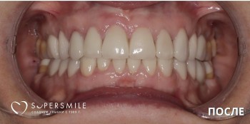
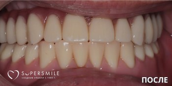
Захаров Юрий Вячеславович принимает в «Центр стоматологии СУПЕР СМАЙЛ» в Санкт-Петербурге. Стаж 17 лет. Специализируется на ортопедии, по которой клиника оказывает 11 услуг. Имеет 4 работы до/после в портфолио. Для уточнения дополнительной информации о специалисте или записи на прием можно позвонить по телефону
+7 (812)Показать телефон
. Также 32top представляет форму онлайн расписания, через которую можно записаться к специалисту на свободную дату и время.

Где принимает:

Опыт 17 лет
4 работы в портфолио

Отзывы о враче Захаров Юрий Вячеславович

Рейтинг: 5
Отзывов: 3
Положительных: 3
Отрицательных: 0
Последний: 1006 дн. назад
5.0
Почему нашим отзывам можно доверять?
8 августа 2023 г.
1 2 3 4 5
Спасибо большое всем врачам клиники! Особенно Захарову Юрию Владимировичу за профессионализм и юмор, Ефимову Владмиру Александровичу за лёгкую руку хирурга (делала у них импланты) и Дарье Александровне Марухно за красоту зубов).
Здравствуйте! Большое спасибо за ваш положительный отзыв. Нам очень приятно слышать, что вы довольны уровнем обслуживания в нашей клинике. Мы всегда стремимся создать комфортную и доброжелательную атмосферу для наших пациентов. Если у вас возникнут дополнительные вопросы или пожелания, пожалуйста, обращайтесь! Желаем вам успешного лечения и отличного здоровья. Берегите себя и не забывайте о профилактике. С заботой о Вас, команда Super Smile.
19 июня 2023 г.
1 2 3 4 5
Очень понравилась клиника «Суперсмайл», была на консультации у стоматолога-ортопеда Захарова Юрия Вячеславович. Рекомендую его, очень грамотный, внимательный, тактичный. Спасибо.
Добрый день, большое спасибо за отзыв. Всегда рады помочь. Берегите себя и не забывайте о профилактике. С уважением, команда клиники Super Smile.
24 мая 2023 г.
1 2 3 4 5
Вылечил зубы у доктора Гузевой Кристины Камилевны. Доктор Мылышев Алексей Александрович установил имплант. Доктор Захаров Юрий Вячеславович установил коронку. Все сделали быстро и качественно, рекомендую лечить зубы в данной клинике.
Добрый день, большое спасибо за отзыв. Всегда рады помочь. Берегите себя и не забывайте о профилактике. С уважением, команда клиники Super Smile.
    Помогите другим сделать правильный выбор — оставьте свой отзыв о докторе
    Написать отзыв

    Услуги врача (22)

    Протезирование зубов
    Установка коронки на зуб
    от 20 300 ₽ за 1 зуб
    Установка протеза Акри Фри (Acry-Free)
    Ремонт зубных протезов
    Еще услуги
    Все цены носят ознакомительный характер. Точную цену вы сможете получить только после консультации специалиста.
    Звоните по телефону:
    +7 (812)Показать телефон

    Захаров Юрий Вячеславович: портфолио (4)

    Акции и скидки клиники СУПЕР СМАЙЛ (7)