Стоматолог Гриценко Кристина Сергеевна — цены, отзывы, стаж — Принимает в Санкт-Петербурге (СПб)

Гриценко Кристина Сергеевна

Гриценко Кристина Сергеевна - фотография
стоматолог-терапевт
стоматолог-эндодонтист
Стаж 10 лет
Гриценко Кристина Сергеевна принимает в «Сеть стоматологических клиник МЕДИАНА» в Санкт-Петербурге. Стаж 10 лет. Специализируется на терапии и эндодонтическом лечении, по которым клиника оказывает 13 услуг. Имеет 5 работ до/после в портфолио. Для уточнения дополнительной информации о специалисте или записи на прием можно позвонить по телефону
+7 (812)Показать телефон
.

Где принимает:

Опыт 10 лет
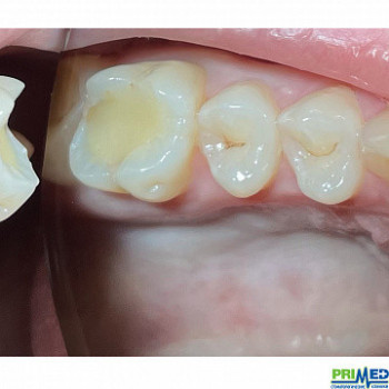
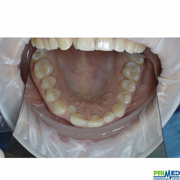
5 работ в портфолио

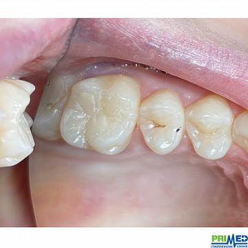
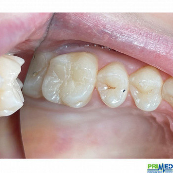
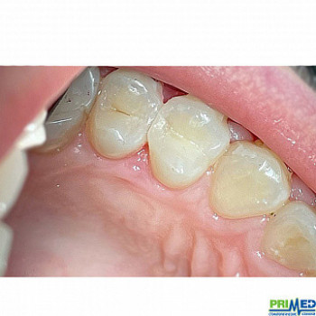
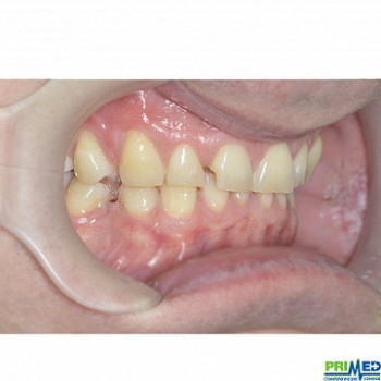
Гриценко Кристина Сергеевна: портфолио (5)

    Помогите другим сделать правильный выбор — оставьте свой отзыв о докторе
    Написать отзыв

    Услуги стоматолога в других клиниках

    Терапевтическая стоматология
    Лечение кариеса от 3 500 ₽ до 14 500 ₽
    Лечение пульпита от 5 000 ₽ до 35 000 ₽
    Еще услуги