Фото до и после по услуге Установка коронки на зуб в клиниках Санкт-Петербурга (СПб)

Фотографии до и после: Установка коронки на зуб

На странице представлено портфолио стоматологий Санкт-Петербурга с фото работ до и после установки зубных коронок. Показываем, как можно полностью восстановить форму разрушенного зуба и эстетичный вид улыбки. На странице собраны разные клинические случаи восстановления одиночными коронками из металлокерамики, циркония или керамики. Изучите результаты до и после процедуры и выберите подходящую клинику для восстановления зуба в Санкт-Петербурге.

Стоматология БУДОВСКИЙ (BUDOVSKY)

Установка коронки из диоксида циркония

Лечение пациента с ДВНЧС , проведена большая работа по исправлению патологии прикуса. Выполнили: 1 диагностику ВНЧС 2 Сплинт терапию 3 Частичное лечение на брекет системе 4 Хирургию (имплантацию) 5 Полное протезирование

Доктор: Филиппов Денис Олегович

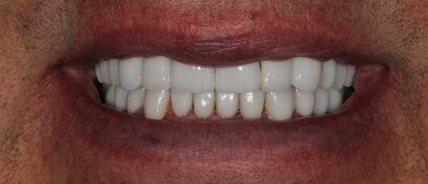
Установка коронки из диоксида циркония

Проведена ортодонтия и тотальное протезирование, так же установлены имплантаты в область отсутствующих зубов

Доктор: Филиппов Денис Олегович

Установка коронки из диоксида циркония

Эстетическое и функциональное протезирование

Доктор: Филиппов Денис Олегович

Установка коронки на зуб

Полное протезирование

Доктор: Филиппов Денис Олегович

Установка коронки на зуб

Тотальное протезирование зубов

Доктор: Филиппов Денис Олегович

Установка коронки из диоксида циркония

Тотальное протезирование

Доктор: Филиппов Денис Олегович

Установка коронки из диоксида циркония

Тотальная реабилитация пациента с дВНЧС

Доктор: Филиппов Денис Олегович

Установка коронки на зуб

Полное протезирование на своих зубах

Доктор: Филиппов Денис Олегович

Установка коронки из диоксида циркония

Доктор: Филиппов Денис Олегович

Установка коронки из диоксида циркония

Полное тотальное протезирование.

Доктор: Филиппов Денис Олегович

Установка коронки из диоксида циркония

протезирование на своих зубах и частично на имплантатах в области отсутствующих зубов. Пациент прошел вначале лечение у ортодонта.

Доктор: Филиппов Денис Олегович

Все работы клиники
ЦЕНТР ЦИФРОВОЙ ИМПЛАНТАЦИИ И ПРОТЕЗИРОВАНИЯ

Установка коронки из диоксида циркония

Установка одиночной циркониевой коронки в 2 этапа

Доктор: Мельников Алексей Владимирович

Установка керамической коронки

Доктор: Мельников Алексей Владимирович

Установка коронки на зуб

Замена коронки на переднем зубе

Доктор: Мельников Алексей Владимирович

Установка коронки из диоксида циркония

Доктор: Мельников Алексей Владимирович

Установка керамической коронки

Доктор: Мельников Алексей Владимирович

Установка керамической коронки

Доктор: Мельников Алексей Владимирович

Все работы клиники
Сеть стоматологических клиник ФАКТОР УЛЫБКИ

Установка коронки из диоксида циркония

Доктор: Дубенко Дмитрий Андреевич

Установка коронки из диоксида циркония

Установка коронок на имплантатах

Доктор: Дубенко Дмитрий Андреевич

Установка керамической коронки

Установка коронки на имплантате в области переднего зуба

Доктор: Дубенко Дмитрий Андреевич

Все работы клиники
Стоматология САВИОН

Установка коронки из диоксида циркония

установлены коронки из диоксид циркона на верхней и нижней челюсти

Доктор: Николаев Ярослав Сергеевич

Установка коронки из диоксида циркония

установлено 8 единиц коронок на верхней челюсти из диоксид циркония

Доктор: Николаев Ярослав Сергеевич

Установка коронки из диоксида циркония

установка 4 коронок диоксид циркония

Доктор: Николаев Ярослав Сергеевич

Все работы клиники
Клиника высшей категории ГИЛЬДИЯ СТОМАТОЛОГОВ

Установка коронки из диоксида циркония

Несколько лет назад пациентка проводила реставрацию фронтальных зубов с помощью пломбировочного материала. Но так как срок службы пломбы в разы меньше, чем у керамики и циркониевых коронок, эстетика потеряла свой вид, было принято решение восстановить зубы с помощью коронок из диоксида циркония. Были поставлены коронки на фронтальную зону улыбки, в ходе лечения провели: ✔️ моделировку на воске, ✔️определение цвета зубов, ✔️изготовление коронок, ✔️примерка, ✔️ фиксацию коронок.

Доктор: Алексеев Алексей Владимирович

Установка керамической коронки

? Первый этап — сохранить и укрепить зуб Пациент был направлен к врачу-терапевту: — проведено депульпирование зуба — выполнено укрепление культи стекловолоконным штифтом Это создаёт прочную основу для будущей ортопедической конструкции и снижает риск повторных осложнений. ? Второй этап — точность и цифровые технологии После подготовки зуба: — проведено 3D-сканирование челюстей — изготовлены диагностические модели — выполнено препарирование под коронку — определён оттенок будущей конструкции — A1 Работа направлена в зуботехническую лабораторию для изготовления коронки E-max (категория Standart) — современная безметалловая керамика, которая сочетает прочность и естественную эстетику.

Доктор: Краснящих Тихон Игоревич

Установка коронки на зуб

Установка коронки на зуб

Установка металлической коронки

Установка металлической коронки

Доктор: Васильева Наталья Олеговна

Установка коронки на зуб

Установка коронки на зуб

Установка коронки из диоксида циркония

Установка коронки из диоксида циркония

Пациентка обратилась в клинику с запросом на создание красивой и эстетичной улыбки. В ходе консультации был составлен следующий план лечения: — Тотальная реабилитация с помощью керамических реставраций (виниры) на зубах и коронок из диоксида циркония на имплантатах; — Протезирование в новом положении нижней челюсти с поднятием высоты окклюзии. ▶️ Цвет: BL3 В результате лечения пациентка обрела уверенность в себе и блистательную улыбку, которой теперь с радостью делится с окружающими!

Доктор: Ладыгина Анастасия Константиновна

Установка коронки на зуб

У нашей пациентки на 25 и 26 зубы установлены культевые вкладки облицованные керамикой и коронки E-Max. Эта работа проделана 3 года назад и на данный момент ни у пациентки, ни у врача нареканий к ней нет!

Доктор: Алексеев Алексей Владимирович

Установка коронки на зуб

Установка коронки на зуб

Доктор: Васильева Наталья Олеговна

Все работы клиники
Цифровая стоматология ДАВИНЧИ КЛИНИК (DAVINCI CLINIC)

Установка коронки на зуб

Установка коронки на зуб

Установка коронки на зуб

Установка коронки на зуб

Установка коронки на зуб

Установка коронки на зуб

Установка коронки на зуб

Все работы клиники
Стоматология ВИДЕНТ

Установка коронки на зуб

Доктор: Драневич Антон Вячеславович

Установка коронки на зуб

Доктор: Драневич Антон Вячеславович

Установка коронки из диоксида циркония

Доктор: Драневич Антон Вячеславович

Установка коронки на зуб

Доктор: Драневич Антон Вячеславович

Установка коронки на зуб

Все работы клиники
ГОРОДСКАЯ СТОМАТОЛОГИЧЕСКАЯ ПОЛИКЛИНИКА №1

Установка коронки на зуб

Доктор: Жвакин Аркадий Андреевич

Установка коронки из диоксида циркония

1. Удаление несостоятельных зубов, подготовка к установке имплантатов, и сама операция имплантации 2. Постановка временных коронок на имплантаты и свои зубы с оптимизацией прикуса (устранение стираемости зубов, нарушения функции жевания, суставных проблем челюстей) 3. Замена временных коронок на постоянный материал ( в данном случае это стали коронки из диоксида циркония) 4. Завершением стало изготовление капы для сна с целью профилактики и сохранения коронок в первозданном виде

Доктор: Жвакин Аркадий Андреевич

Установка коронки из диоксида циркония

Доктор: Жвакин Аркадий Андреевич

Установка коронки из диоксида циркония

Восстановление зуба коронкой и вкладкой из диоксида циркония

Доктор: Жвакин Аркадий Андреевич

Установка коронки на зуб

Закрыли расстояние между центральными зубами. Вылечили дёсна. Восстановили стершиеся зубы и заменили несовершенные коронки. Устранили суставные проблемы

Доктор: Жвакин Аркадий Андреевич

Все работы клиники
НЕЖНАЯ СТОМАТОЛОГИЯ

Установка керамической коронки

Доктор: Абдуллаев Омар Мамедович

Установка керамической коронки

Доктор: Абдуллаев Омар Мамедович

Установка керамической коронки

Доктор: Абдуллаев Омар Мамедович

Установка керамической коронки

Доктор: Абдуллаев Омар Мамедович

Все работы клиники