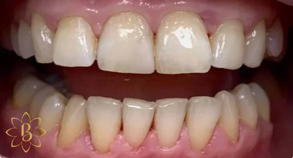
Фото до и после по услуге Профгигиена в клиниках Санкт-Петербурга (СПб)

Фотографии до и после: Профгигиена

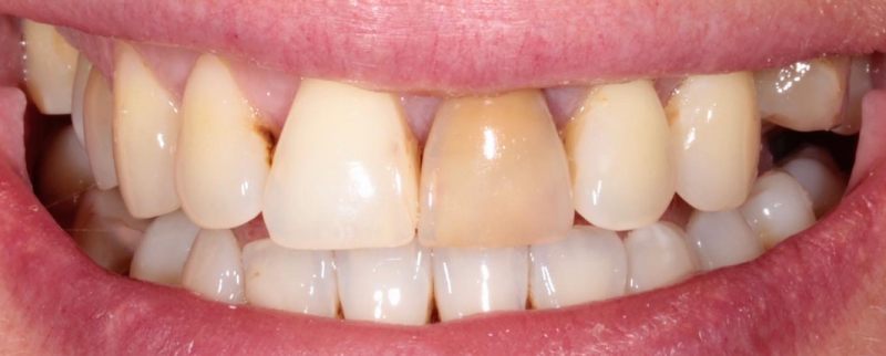
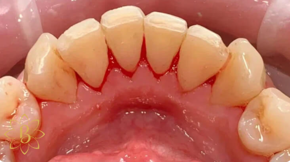
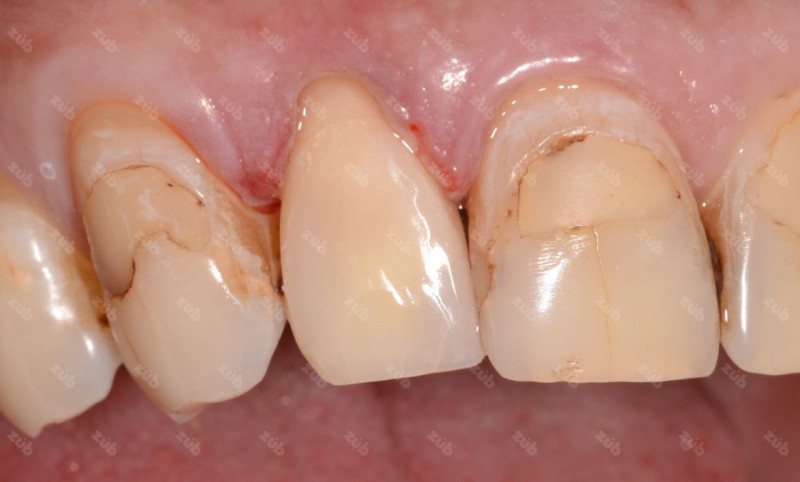
На странице представлено портфолио стоматологий Санкт-Петербурга с работами до и после профессиональной чистки зубов. В нашем портфолио собраны разные клинические случаи: от удаления незначительного налета до снятия массивного поддесневого камня. Здесь вы можете увидеть, как возвращается естественный цвет и внешний вид зубов после процедуры. Изучите результаты до и после чистки зубов, чтобы увидеть реальный эффект и выбрать клинику в Санкт-Петербурге, где профессиональная гигиена поможет вернуть зубам здоровый вид.

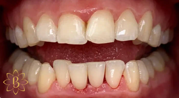
Центр стоматологии СУПЕР СМАЙЛ (SUPER SMILE)

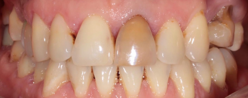
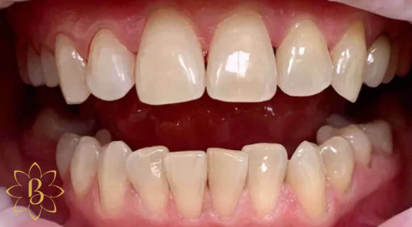
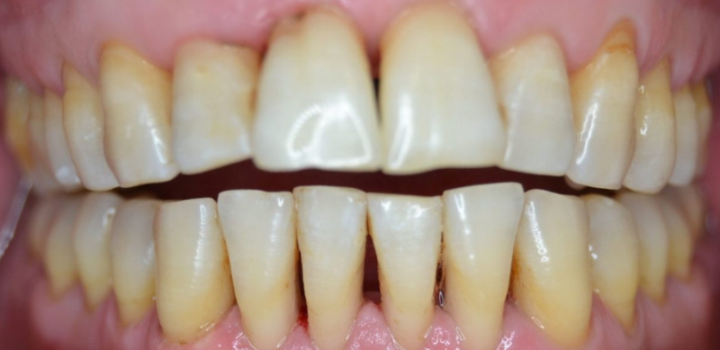
Профгигиена

Профгигиена

Чистка зубов Air-flow

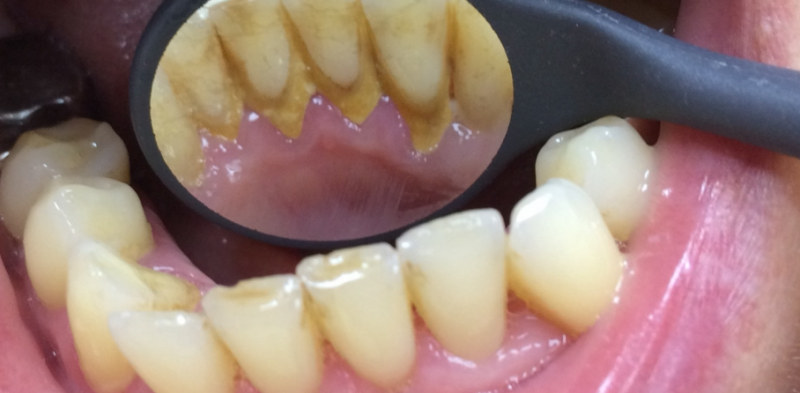
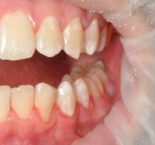
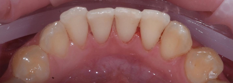
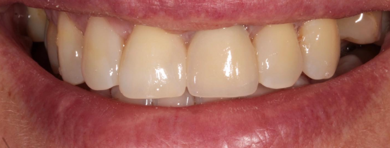
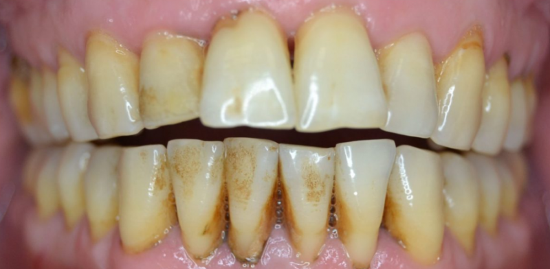
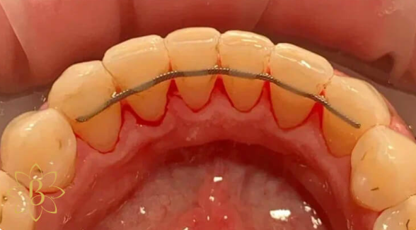
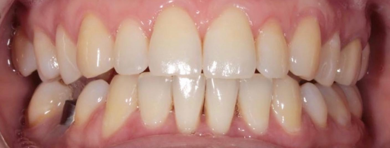
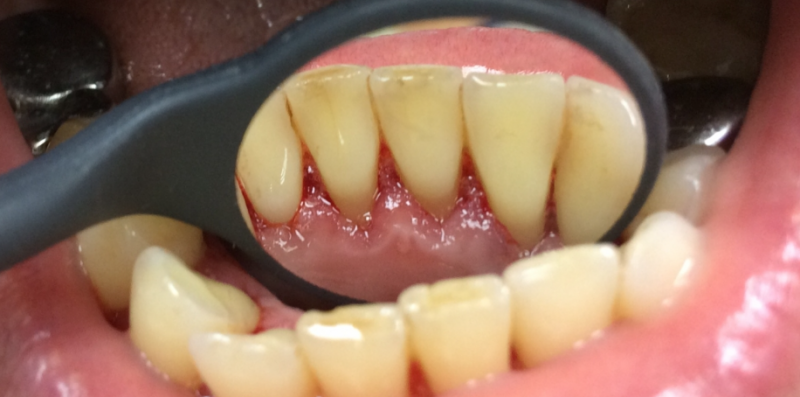
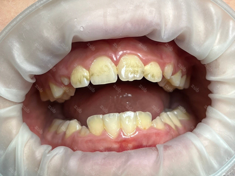
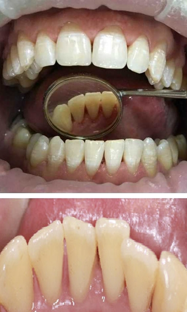
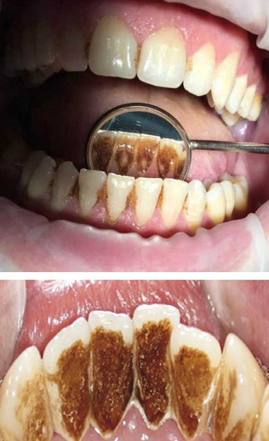
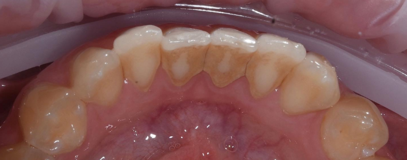
Профессиональная гигиена особенно важна при ортодонтическом лечении, ведь в повседневной жизни, дома, очень сложно поддерживать должный уровень гигиены полости рта! Даже если вы используете ирригатор и специальные ёршики! В нашей рубрике «до/после» вы видите то, что может быть с зубами при лечении брекетами, если не проводить своевременную чистку у врача-стоматолога. Марухно Дарья Александровна провела профессиональную чистку в несколько этапов, чтобы вернуть пациентке белизну ее собственных зубов! Брекет-система была поставлена не в нашей клинике, и почему пациентка не обратилась за профессиональной помощью раньше-вопрос) Но в данном случае, главное – итог! Кровоточивость после даже обычной чистки в такой клинической ситуации – естественный результат. Ведь обильный зубной налёт и зубной камень вызывают воспаление дёсен в виде гингивита, а порой даже пародонтита.

Доктор: Марухно Дарья Александровна

Профгигиена

Все работы клиники
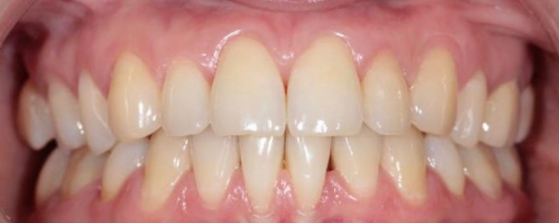
Клиника красоты и здоровья КРАСИВЫЕ ЛЮДИ

Профгигиена

Доктор: Глебова Ксения Николаевна

Профгигиена

Доктор: Глебова Ксения Николаевна

Профгигиена

Доктор: Глебова Ксения Николаевна

Профгигиена

Доктор: Глебова Ксения Николаевна

Профгигиена

Доктор: Глебова Ксения Николаевна

Профгигиена

Доктор: Глебова Ксения Николаевна

Профгигиена

Доктор: Глебова Ксения Николаевна

Профгигиена

Доктор: Глебова Ксения Николаевна

Профгигиена

Доктор: Глебова Ксения Николаевна

Все работы клиники
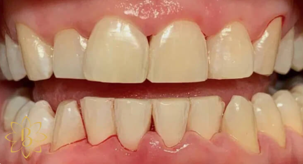
Клиника высшей категории ГИЛЬДИЯ СТОМАТОЛОГОВ

Профгигиена

Доктор: Грыцив Эвелина Игоревна

Профгигиена

Профгигиена

Профгигиена

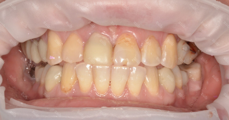
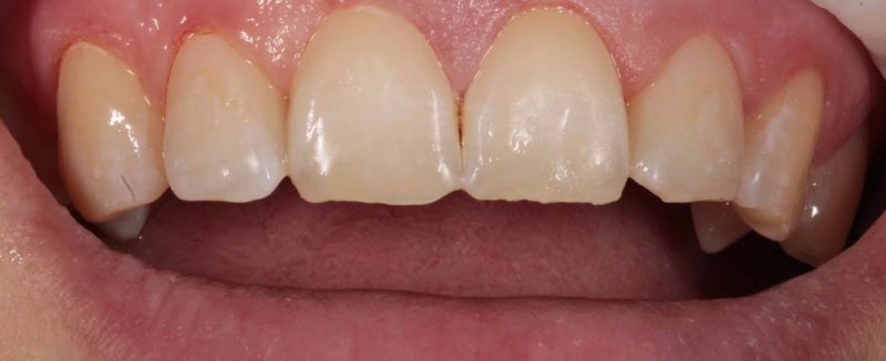
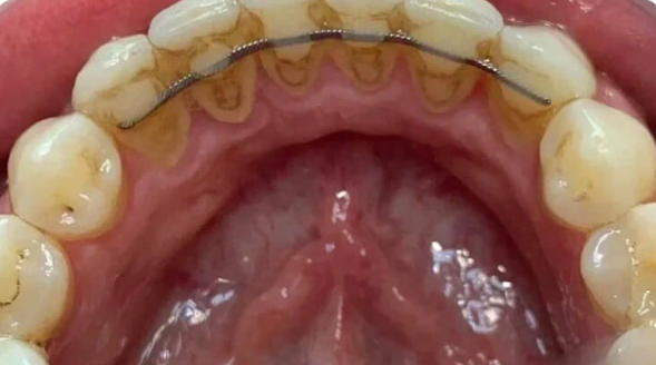
Профессиональная гигиена полости рта.

Доктор: Грыцив Эвелина Игоревна

Профгигиена

Профгигиена

Профгигиена

Профгигиена

Профессиональная гигиена полости рта.

Доктор: Грыцив Эвелина Игоревна

Все работы клиники
Стоматология ЗУБ (ZUB)

Профгигиена

Профгигиена

Профгигиена

Профгигиена

Профгигиена

Профгигиена

Профгигиена

Профгигиена

Все работы клиники
Детская стоматология АТРИБЬЮТ КИДС (ATRIBEAUTE KIDS)

Профгигиена

Обучение индивидуальной гигиене, Профессиональная гигиена

Доктор: Черемисина Тамара Евгеньевна

Профгигиена

Доктор: Иванова Анастасия Сергеевна

Профгигиена

Доктор: Черемисина Тамара Евгеньевна

Профгигиена

Обучение индивидуальной гигиене, Удаление Пристли-налёта

Доктор: Черемисина Тамара Евгеньевна

Профгигиена

Профгигиена

Доктор: Иванова Анастасия Сергеевна

Профгигиена

Профессиональная гигиена для детей с брекет-системами

Профгигиена

Доктор: Иванова Анастасия Сергеевна

Все работы клиники
Студия эстетической стоматологии ДВА ДАНТИСТА

Профгигиена

Доктор: Шаширина Александра Юрьевна

Профгигиена

Доктор: Шаширина Александра Юрьевна

Профгигиена

Доктор: Шаширина Александра Юрьевна

Профгигиена

Доктор: Шаширина Александра Юрьевна

Профгигиена

Доктор: Шаширина Александра Юрьевна

Профгигиена

Доктор: Шаширина Александра Юрьевна

Все работы клиники
Клиника ортодонтии, гнатологии и эстетической стоматологии МАЙ ОРТ (MY ORT) НА МОСКОВСКОМ

Профгигиена

Доктор: Астапова Екатерина Денисовна

Профгигиена

Доктор: Астапова Екатерина Денисовна

Чистка зубов Air-flow

Доктор: Склярова Владислава Владимировна

Профгигиена

Доктор: Астапова Екатерина Денисовна

Все работы клиники
Стоматология ФОКУС

Профгигиена

Профгигиена

Профгигиена

Все работы клиники
Клиника челюстно-лицевой реабилитации и стоматологии АВАЛОН

Профгигиена

Доктор: Давыдова (Камаева) Жанна Александровна

Профгигиена

Доктор: Кириченко Светлана Васильевна

Профгигиена

Доктор: Кириченко Светлана Васильевна

Все работы клиники