Стоматолог Надымов Никита Сергеевич — цены, отзывы, стаж — Принимает в Сургуте

Надымов Никита Сергеевич

Надымов Никита Сергеевич - фотография
стоматолог-терапевт
Стаж 7 лет
Надымов Никита Сергеевич принимает в «Сеть клиник ЦИФРА КЛИНИК» в Сургуте. Стаж 7 лет. Специализируется на терапии, по которой клиника оказывает 6 услуг. Для уточнения дополнительной информации о специалисте или записи на прием можно позвонить по телефону
+7 (3462)Показать телефон
.

Где принимает:

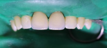
1 работа в портфолио
Опыт 7 лет

Отзывы о враче Надымов Никита Сергеевич

Пациенты отмечают:
Профессионализм
Вежливость
Подробные объяснения
Тщательный осмотр
Аккуратность
Лечение помогло
Почему нашим отзывам можно доверять?
16 декабря 2025 г.
1 2 3 4 5
Очень понравилась клиника новая, технологичная, особенно хочется отметить подход Надымова Никиты Сергеевича к пациентам. Лечение проходило с помощью микроскопа, в итоге замечательная коронка, которую не видно даже на медосмотре у стоматолога. Запись плотная, но без задержек. Обязательно приду к вам еще!
Здравствуйте, благодарим вас за подробный и содержательный отзыв. Нам особенно приятно, что вы отметили технологичность клиники и подход Надымова Никиты Сергеевича — работа с увеличением и внимание к деталям позволяют добиваться именно такого результата, когда восстановление выглядит максимально естественно. Отдельно спасибо за оценку организации приёма — для нас важно соблюдать график и уважать время пациентов. Будем рады видеть вас снова. С уважением, команда CIFRA CLINIC!
    Помогите другим сделать правильный выбор — оставьте свой отзыв о докторе
    Написать отзыв

    Услуги врача (32)

    Терапевтическая стоматология
    Лечение кариеса
    Лечение кариеса ICON
    Лечение поверхностного кариеса
    Еще услуги
    Все цены носят ознакомительный характер. Точную цену вы сможете получить только после консультации специалиста.
    Звоните по телефону:
    +7 (3462)Показать телефон

    Надымов Никита Сергеевич: портфолио (1)

    Акции и скидки клиники ЦИФРА КЛИНИК (8)