Стоматолог Сорокина Ольга Сергеевна — цены, отзывы, стаж — Принимает в Томске

Сорокина Ольга Сергеевна

Сорокина Ольга Сергеевна - фотография

5.0
Рейтинг: 5.0
Отзывов: 3
Положительных: 3
Отрицательных: 0
Последний : 386 дн. назад
3 отзыва
стоматолог-ортодонт
Стаж 24 года
врач первой категории
Сорокина Ольга Сергеевна принимает в «Клиника МОЙ СТОМАТОЛОГ» в Томске. Врач первой категории, стаж 24 года. Специализируется на ортодонтии, по которой клиника оказывает 2 услуги. Имеет 2 работы до/после в портфолио. Квалификация специалиста подтверждена 7 лицензиями, сертификатами и наградами. Для уточнения дополнительной информации о специалисте или записи на прием можно позвонить по телефону
+7 (3822)Показать телефон
. Занимает 5 место в рейтинге стоматологов-ортодонтов 32top в вашем городе.

Где принимает:

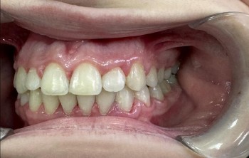
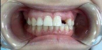
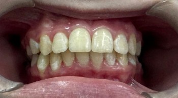
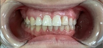
2 работы в портфолио
Опыт 24 года
7 сертификатов
Врач первой категории

Отзывы о враче Сорокина Ольга Сергеевна

Рейтинг: 5
Отзывов: 3
Положительных: 3
Отрицательных: 0
Последний: 386 дн. назад
5.0
Почему нашим отзывам можно доверять?
После приема Пациент записывался в клинику через 32top. После приёма мы позвонили ему и получили отзыв.
2 мая 2025 г.
1 2 3 4 5
Лечение прохожу у Ольги Сергеевны. Мне нравится этот доктор, профессионал своего дела, очень внимательная, лечение без неприятных ощущений, все качественно.
Здравствуйте. Ольга Сергеевна высоко профессиональный специалист. Ведь далеко не каждый получает благодарственное письмо от Совета Федерации. Нашему коллективу очень повезло, что всегда можно объективно получить оценку ортодонта. А пациенты всегда могут решить проблему междисциплинарно, не "бегая" по другим клиника. Будем рады видеть вас вновь. Мой стоматолог.
После приема Пациент записывался в клинику через 32top. После приёма мы позвонили ему и получили отзыв.
15 сентября 2024 г.
1 2 3 4 5
Осмотр, консультация была в этой клинике, тк возникла проблема с ретейнером возникла - отвалился, требовалась помощь. Доктор взялась за осмотр, но сказала, что не может ничего сделать. Ставила я этот ретейнер с доктором Ольгой Сорокиной, к ней я и планировала попасть, но её не было на тот момент в клинике - она была в отпуске, потому попала к другому специалисту. Клиникой в целом довольна и готова рекомендовать даже, но хочу попасть к Ольге Сергеевне, раз с этим специалистом ничего не смогли сделать.
30 сентября 2024 г.
Здравствуйте. Искренне благодарим Вас за обратную связь. Для записи и уточнения времени приема можете обращаться по номеру 8(3822)53-08-03
После приема Пациент записывался в клинику через 32top. После приёма мы позвонили ему и получили отзыв.
26 августа 2024 г.
1 2 3 4 5
Консультировался по установке брекетов у доктора Ольги Сергеевны - замечательно все объяснила, отвечала на все вопросы, провела хорошую консультацию. Клинику нашел по отзывам в интернете. Внутри уютно, приняли вовремя, цены адекватные. Готов начинать лечение с этим специалистом.
27 августа 2024 г.
Здравствуйте. Искренне благодарим Вас за ваше мнение и позитив. Ольга Сергеевна - замечательный специалист, профессионал своего дела. Наш коллектив, оказывая специализированную стоматологическую помощь, старается найти индивидуальный подход и сделать для многих поход к стоматологу максимально комфортным, уютным и по семейному чутким. Ждем Вас на прием)))
    Помогите другим сделать правильный выбор — оставьте свой отзыв о докторе
    Написать отзыв

    Услуги врача (16)

    Ортодонтия
    Установка брекетов
    от 63 000 ₽ за 1 челюсть
    Снятие брекетов
    Установка элайнеров
    Еще услуги
    Все цены носят ознакомительный характер. Точную цену вы сможете получить только после консультации специалиста.
    Звоните по телефону:
    +7 (3822)Показать телефон

    Сорокина Ольга Сергеевна: портфолио (2)

    Акции и скидки клиники МОЙ СТОМАТОЛОГ (5)