Стоматолог Климова Дарья Сергеевна — цены, отзывы, стаж — Принимает в Туле

Климова Дарья Сергеевна

Климова Дарья Сергеевна - фотография
стоматолог-гигиенист
Стаж 1 год
Климова Дарья Сергеевна принимает в «Стоматология ДЕНТТАЙМ» в Туле. Стаж 1 год. Специализируется на гигиене полости рта, по которой клиника оказывает 9 услуг. Для уточнения дополнительной информации о специалисте или записи на прием можно позвонить по телефону
+7 (487)Показать телефон
.

Где принимает:

Опыт 1 год
1 работа в портфолио

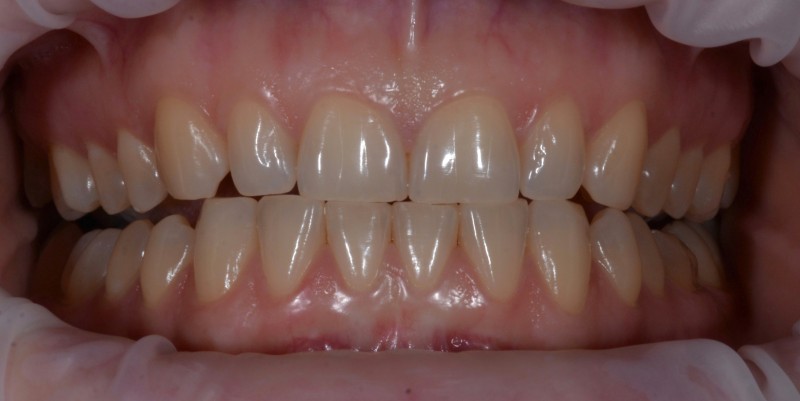
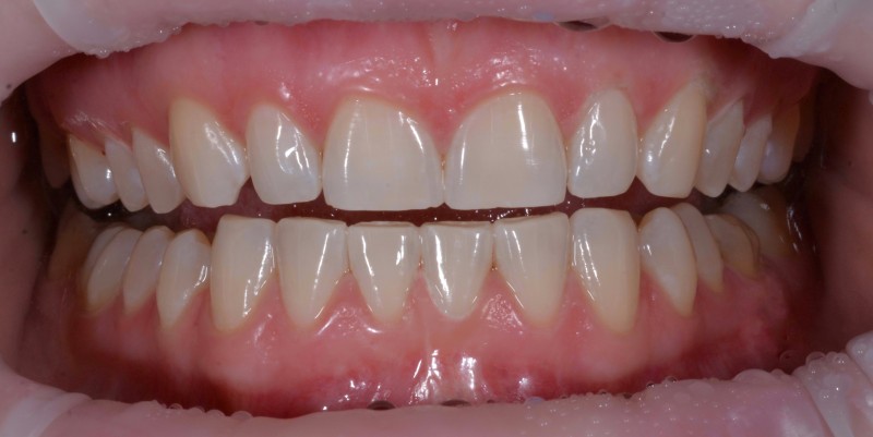
Климова Дарья Сергеевна: портфолио (1)

Отзывы о враче Климова Дарья Сергеевна

Почему нашим отзывам можно доверять?
9 сентября 2025 г.
1 2 3 4 5
Делала гигиену у Климовой Дарьи Сергеевны и хочу оставить свои слова благодарности от прекрасно проведённой процедуры. Совершенно не больно, зубки стали беленькие, чистые, и бонусом еше подробные рекомендации Оказывается, чистить зубы дома правильно нужно учиться!рекомендую врача и клинику!
Команда стоматологической клиники "Денттайм" благодарит за положительную оценку работы врача! Мы стараемся предоставлять только лучший сервис, и ваш отзыв подтверждает, что мы на правильном пути.
    Помогите другим сделать правильный выбор — оставьте свой отзыв о докторе
    Написать отзыв

    Услуги стоматолога в других клиниках

    Профгигиена
    Чистка зубов Air-flow