Стоматолог Иващенко Андрей Николаевич — цены, отзывы, стаж — Принимает в Тюмени

Иващенко Андрей Николаевич

Иващенко Андрей Николаевич - фотография

5.0
Рейтинг: 5.0
Отзывов: 4
Положительных: 4
Отрицательных: 0
Последний : 814 дн. назад
4 отзыва
стоматолог-ортопед
Стаж 15 лет
Иващенко Андрей Николаевич принимает в «Стоматологическая клиника ПРАКТИК» в Тюмени. Стаж 15 лет. Специализируется на ортопедии, по которой клиника оказывает 24 услуги. Имеет 12 работ до/после в портфолио. Квалификация специалиста подтверждена 6 лицензиями, сертификатами и наградами. Для уточнения дополнительной информации о специалисте или записи на прием можно позвонить по телефону
+7 (3452)Показать телефон
. Также 32top представляет форму онлайн расписания, через которую можно записаться к специалисту на свободную дату и время.

Где принимает:

6 сертификатов
12 работ в портфолио
1 видеоотзыв
Опыт 15 лет

Отзывы о враче Иващенко Андрей Николаевич

Рейтинг: 5
Отзывов: 4
Положительных: 4
Отрицательных: 0
Последний: 814 дн. назад
5.0
Почему нашим отзывам можно доверять?
23 февраля 2024 г.
1 2 3 4 5
Недавно я посетил стоматолога-ортопеда Андрея Николаевича и очень доволен результатами. Хотел восстановить несколько проблемных зубов. Процедура прошла даже лучше, чем я ожидал, врач позаботился о том, чтобы мне было комфортно во время каждого визита. Андрей Николаевич был профессионален, добр, не жалел времени и сил, чтоб у меня не осталось никаких вопросов. Очень порадовало как выглядят теперь мои новые зубы, как будто я никогда их не терял. Теперь не могу перестать улыбаться. Я очень рекомендую Андрея Николаевича всем, кто хочет восстановить зубы. Поверьте, он это делать умеет. Ну а вообще рекомендую следить за зубами и не запускать, чтоб не терять их
Добрый день! Благодарим за Вашу высокую оценку. Будем рады видеть Вас вновь в клинике Практик!
2 февраля 2024 г.
1 2 3 4 5
Иващенко Андрей Николаевич замечательный доктор! Грамотный, внимательный, чуткий. Его умные руки творят чудеса. Моя сложная операция прошла спокойно и главное, абсолютно безболезненно. Ему пришлось немало потрудиться, подготовить меня к протезированию. Он учесл все мои особенности и возможности, очень внимательно и тщательно продумывя процессы лечения. И результат очаровывает! Спасибо Вам, Андрей Николаевич, от всей души!
Добрый день! Благодарим за Вашу высокую оценку. Будем рады видеть Вас вновь в клинике Практик!
7 июня 2022 г.
1 2 3 4 5
Хочу выразить безмерную благодарность коллективу стоматологии Практик и моим докторам Геюшовой Яне Набиевна и Иващенко Андрею Николаевичу за наш пройденный путь имплантирования и протезирования и конечно за достигнутый результат! Примите моё восхищение за Ваше мастерство, профессионализм, высокое совершенствование в своей профессии, а самое главное отношение к нам и в любой момент готовность прийти на помощь. Хочу отметить атмосферность Вашего коллектива- это забота, доброжелательность, учтивость и всеобщая доброжелательность и улыбчивость. Большое всем спасибо, вы подарили мне здоровье и общение с Миром без преград. Всех благ и процветания!
21 января 2020 г.
1 2 3 4 5
Отличная стоматологическая клиника! Более десяти лет всей семьей лечим зубы только в этой стоматологии. Вежливый внимательный персонал! Администраторы всегда заранее напомнят о предстоящем приеме, пригласят на профилактический осмотр, что для меня немаловажно, т. к. из-за загруженности иногда забываешь своевременно посетить стоматолога. Самое главное, в стоматологии "Дента" меня привлекают врачи, которым я без сомнения могу доверить свое здоровье и здоровье своих близких, а также всегда рекомендую всем своим друзьям и знакомым. Хочу отметить Геюшову Яну Набиевну, врач-стоматолог - терапевт и хирург, а также стоматолога-ортопеда Иващенко Андрея Николаевича. Дети с удовольствием ходят лечить зубки у врача Артамоновой Галины Анатольенвны. Все специалисты высокого уровня. Планирую и дальше лечиться только в этой стоматологии. Еще хочу добавить о чистоте и уюте в самой клинике. Желаю коллективу процветания и успехов.
    Помогите другим сделать правильный выбор — оставьте свой отзыв о докторе
    Написать отзыв

    Услуги врача (33)

    Диагностика
    Панорамный снимок челюсти
    от 1 100 ₽ до 1 500 ₽ за 1 снимок
    Рентген зубов
    от 1 100 ₽ за 1 снимок
    Консультация стоматолога-ортопеда
    от 1 100 ₽
    Эстетическая стоматология
    Установка виниров
    от 44 000 ₽ за 1 зуб
    Установка скайсов
    Установка керамических виниров
    от 44 000 ₽ за 1 зуб
    Еще услуги
    Протезирование зубов
    Установка коронки на зуб
    от 12 100 ₽ до 50 000 ₽ за 1 зуб
    Перебазировка съёмного протеза
    Установка адгезивного мостовидного протеза
    от 35 000 ₽
    Еще услуги
    Все цены носят ознакомительный характер. Точную цену вы сможете получить только после консультации специалиста.
    Звоните по телефону:
    +7 (3452)Показать телефон

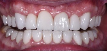
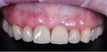
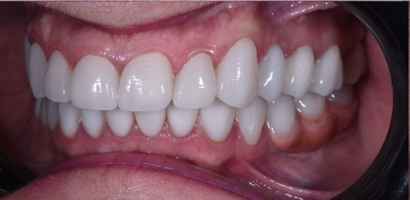
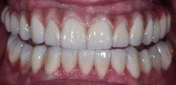
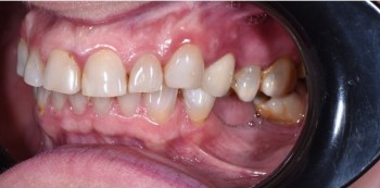
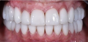
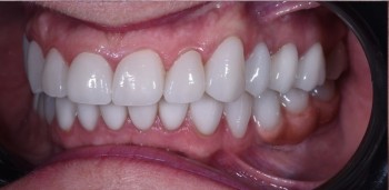
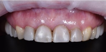
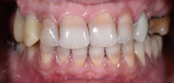
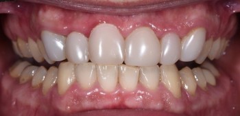
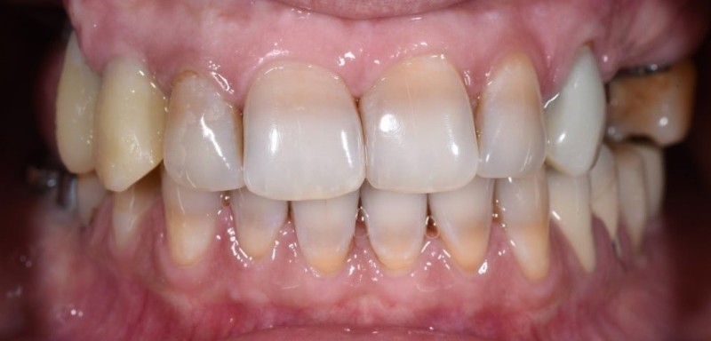
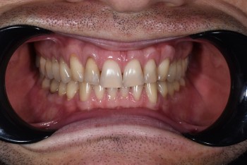
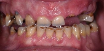
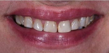
    Иващенко Андрей Николаевич: портфолио (12)

    Акции и скидки клиники ПРАКТИК (18)