Стоматолог Асадуллина Регина Ринатовна — цены, отзывы, стаж — Принимает в Уфе

Асадуллина Регина Ринатовна

Асадуллина Регина Ринатовна - фотография
стоматолог-терапевт
Стаж 12 лет
врач первой категории
Асадуллина Регина Ринатовна принимает в «Медицинский центр АГ ФАБЕР» в Уфе. Врач первой категории, стаж 12 лет. Специализируется на терапии, по которой клиника оказывает 22 услуги. Имеет 2 работы до/после в портфолио. Квалификация специалиста подтверждена 3 лицензиями, сертификатами и наградами. Для уточнения дополнительной информации о специалисте или записи на прием можно позвонить по телефону
+7 (3472)Показать телефон
.

Где принимает:

3 сертификата
Врач первой категории
Опыт 12 лет
2 работы в портфолио
    Помогите другим сделать правильный выбор — оставьте свой отзыв о докторе
    Написать отзыв

    Услуги врача (32)

    Терапевтическая стоматология
    Лечение кариеса
    от 4 800 ₽ до 17 000 ₽ за 1 зуб
    Лечение кариеса ICON
    от 6 500 ₽ за 1 зуб
    Лечение поверхностного кариеса
    Еще услуги
    Все цены носят ознакомительный характер. Точную цену вы сможете получить только после консультации специалиста.
    Звоните по телефону:
    +7 (3472)Показать телефон

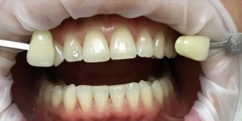
    Асадуллина Регина Ринатовна: портфолио (2)