Сюндюкова Ольга Николаевна
Стаж
24 года
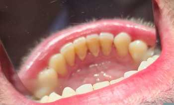
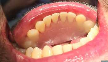
Сюндюкова Ольга Николаевна принимает в «Стоматологическая клиника МЕДИА ЛЭНД» в Ульяновске. Стаж 24 года. Специализируется на терапии, гигиене полости рта и эндодонтическом лечении, по которым клиника оказывает 22 услуги. Имеет 2 работы до/после в портфолио. Квалификация специалиста подтверждена 19 лицензиями, сертификатами и наградами. Для уточнения дополнительной информации о специалисте или записи на прием можно позвонить по телефону
+7 (8422)Показать телефон
. Занимает 3 место в рейтинге стоматологов вашего города.
Где принимает:
-
Клиника перезвонит в течение 10 минут
19 сертификатов
Опыт 24 года
2 работы в портфолио
Помогите другим сделать правильный выбор — оставьте свой отзыв о докторе
Услуги врача (32)
Терапевтическая стоматология
Терапевтическая стоматология в Ульяновске
Лечение кариеса
от 4 500 ₽
за 1 зуб
Лечение кариеса ICON
Лечение поверхностного кариеса
Еще услуги
Все цены носят ознакомительный характер.
Точную цену вы сможете получить только после консультации специалиста.
Звоните по телефону:
Нашли неточность?
Сообщите нам об ошибке
Отзывы о враче Сюндюкова Ольга Николаевна
Каждый отзыв проходит тщательную проверку Если у нас есть сомнения в достоверности, мы проводим дополнительную проверку: связываемся с автором отзыва и запрашиваем документы, подтверждающие факт посещения клиники.
30% отзывов не проходят модерацию Мы не размещаем и не допускаем к публикации заказные отзывы.
Собираем отзывы после приёма Наш колл-центр получает отзывы у пациентов, записавшихся на приём через 32top.