Стоматолог Казумашвили Людмила Ивановна — цены, отзывы, стаж — Принимает в Владимире

Казумашвили Людмила Ивановна

Казумашвили Людмила Ивановна - фотография

5.0
Рейтинг: 5.0
Отзывов: 3
Положительных: 3
Отрицательных: 0
Последний : 28 дн. назад
3 отзыва
стоматолог-терапевт
Стаж 17 лет
Казумашвили Людмила Ивановна принимает в «Стоматологическая клиника АЙСБЕРГ ДЕНТАЛ ЦЕНТР» в Владимире. Стаж 17 лет. Специализируется на терапии. Занимает 4 место в рейтинге стоматологов-терапевтов 32top в вашем городе.
Опыт 17 лет
Топ 10 в рейтинге
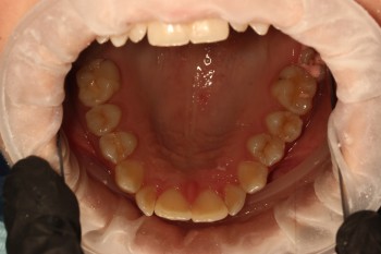
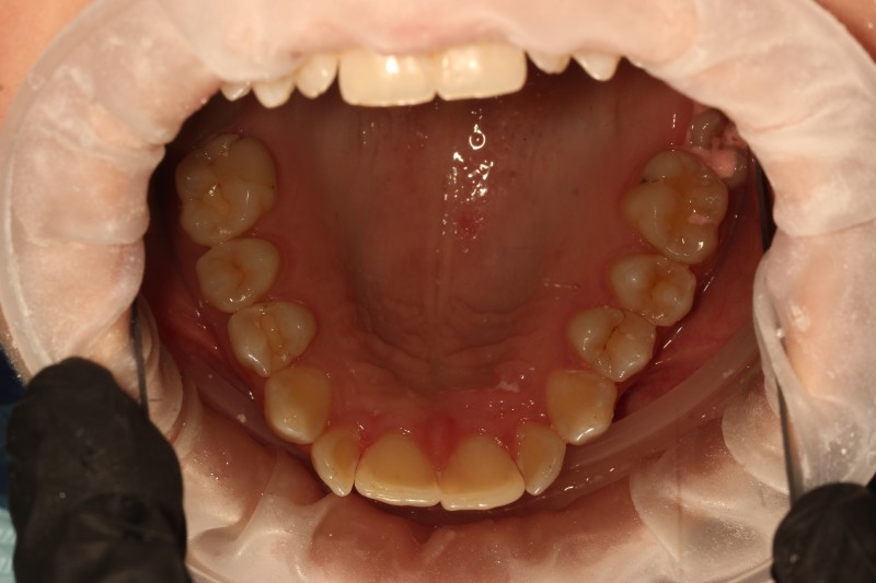
1 работа в портфолио

Казумашвили Людмила Ивановна: портфолио (1)

Отзывы о враче Казумашвили Людмила Ивановна

Рейтинг: 5
Отзывов: 3
Положительных: 3
Отрицательных: 0
Последний: 28 дн. назад
5.0
Почему нашим отзывам можно доверять?
17 апреля 2026 г.
1 2 3 4 5
Приходила на консультацию к доктору Казумашвили Людмиле Ивановне. Сделали снимок КТ в рамках консультации. Врач подробно рассказала по лечению всех зубов. Уже начали лечение самых проблемных зубов. Лечение проходит максимально комфортно и бережно. Доктор постоянно спрашивает о самочувствии. Благодарю, все понравилось.
Спасибо за Ваш теплый отзыв! Мы рады, что консультация и начало лечения у Людмилы Ивановны Казумашвили прошли для Вас комфортно. Будем стараться и дальше оправдывать Ваше доверие!
9 апреля 2026 г.
1 2 3 4 5
Хочу выразить огромную благодарность врачу за профессионализм и чуткость! Она быстро и качественно решила мою проблему с микросколами передних зубов — процедура прошла идеально. Весь процесс меня подбадривала, уверяла, что зубы у меня нормальные. Теперь улыбка идеальна, рекомендую всем!
Большое спасибо за Ваш отзыв о нашем докторе. Мы рады, что Вам понравилось посещение. Для нас важно, чтобы каждый пациент чувствовал себя комфортно во время посещения. С удовольствием будем ждать Вас снова в нашей клинике!
17 марта 2026 г.
1 2 3 4 5
Людмила Ивановна — замечательный стоматолог, профессионал своего дела. Обратилась к ней впервые, боялась немного, но зря переживала. Осмотр провела аккуратно, проконсультировала понятно и доступно. Процедура прошла быстро и безболезненно. Теперь знаю, куда идти, если понадобится помощь с зубами. Рекомендую Людмилу Ивановну всем, кто ценит качественный подход и хорошее отношение.
Благодарим за Ваш отзыв о нашей клинике! Мы очень рады, что Вы остались довольны визитами, мы всегда делаем всё возможное для этого. С удовольствием будем ждать Вас вновь в клинике "Айсберг"!
    Помогите другим сделать правильный выбор — оставьте свой отзыв о докторе
    Написать отзыв

    Услуги стоматолога в других клиниках

    Терапевтическая стоматология
    Лечение кариеса от 3 500 ₽ до 8 100 ₽
    Лечение пульпита от 6 000 ₽ до 28 500 ₽
    Еще услуги