Стоматолог Ястребов Даниил Александрович — цены, отзывы, стаж — Принимает в Владимире

Ястребов Даниил Александрович

Ястребов Даниил Александрович - фотография

5.0
Рейтинг: 5.0
Отзывов: 2
Положительных: 2
Отрицательных: 0
Последний : 60 дн. назад
2 отзыва
стоматолог-хирург
стоматолог-имплантолог
пародонтолог
Стаж 3 года
Ястребов Даниил Александрович принимает в «Стоматологическая клиника АЙСБЕРГ ДЕНТАЛ ЦЕНТР» в Владимире. Стаж 3 года. Специализируется на хирургии, имплантологии и пародонтологии. Занимает 13 место в рейтинге стоматологов вашего города. Также 32top представляет форму онлайн расписания, через которую можно записаться к специалисту на свободную дату и время.
Опыт 3 года
1 работа в портфолио
Топ 20 в рейтинге

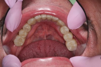
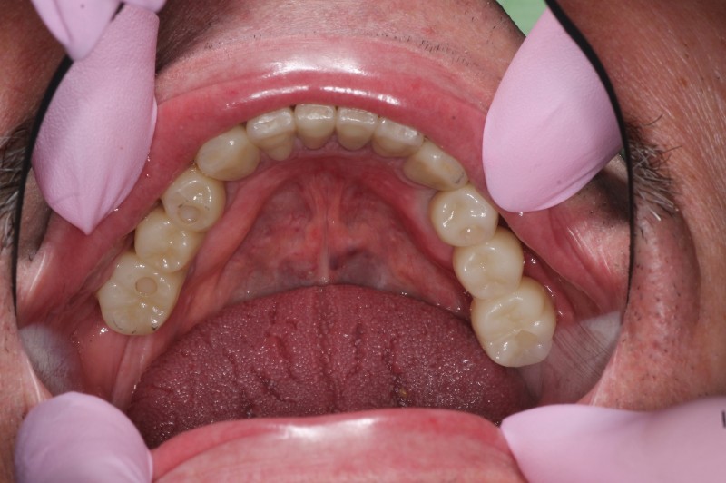
Ястребов Даниил Александрович: портфолио (1)

Отзывы о враче Ястребов Даниил Александрович

Рейтинг: 5
Отзывов: 2
Положительных: 2
Отрицательных: 0
Последний: 60 дн. назад
5.0
Почему нашим отзывам можно доверять?
16 марта 2026 г.
1 2 3 4 5
Хотела бы выразить огромную благодарность врачу-хирургу Ястребову Даниилу Александровичу за оказанную помощь моей бабушке, после неудачного удаление зуба. Специалист высочайшего уровня профессионализма и внимательного отношения к пациентам. Процедура прошла быстро, аккуратно и практически безболезненно благодаря мастерству врача и современному оборудованию. Доктор подробно объяснил каждый этап процедуры, успокоил наши переживания и ответил на все интересующие вопросы. Огромное спасибо!
Большое спасибо за Ваш отзыв о нашем докторе. Мы рады, что Вам понравилось посещение. Для нас важно, чтобы каждый пациент чувствовал себя комфортно во время посещения. С удовольствием будем ждать Вас снова в нашей клинике!
14 декабря 2025 г.
1 2 3 4 5
Записалась на консультацию по удалению зуба мудрости. Очень переживала. Но доктор Ястребов Даниил Александрович оказался очень внимательным. Всё подробно рассказал и записал на удаление, которое прошло без боли, страха и очень быстро. Спасибо большое Вам доктор!
Спасибо за Ваш отзыв и приятные слова в адрес нашего специалиста. Мы рады, что Вы остались довольны посещением нашей клиники! Ждём Вас вновь в клинике Айсберг!
    Помогите другим сделать правильный выбор — оставьте свой отзыв о докторе
    Написать отзыв

    Услуги стоматолога в других клиниках

    Пародонтология
    Лечение пародонтита от 500 ₽ до 9 500 ₽
    Лечение пародонтоза от 8 360 ₽ до 9 500 ₽
    Еще услуги
    Хирургическая стоматология
    Удаление зубов от 1 800 ₽ до 15 000 ₽
    Удаление кисты и гранулемы зуба от 2 500 ₽ до 15 000 ₽
    Еще услуги
    Имплантация
    Коронки на имплантах от 20 000 ₽ до 87 150 ₽
    Методы имплантации
    Еще услуги