Стоматолог Павловская Татьяна Любомировна — цены, отзывы, стаж — Принимает в Волгограде

Павловская Татьяна Любомировна

Павловская Татьяна Любомировна - фотография
стоматолог-гигиенист
пародонтолог
Стаж 41 год
Павловская Татьяна Любомировна принимает в «Стоматология ДАША» в Волгограде. Стаж 41 год. Специализируется на гигиене полости рта и пародонтологии, по которым клиника оказывает 17 услуг. Имеет 7 работ до/после в портфолио. Для уточнения дополнительной информации о специалисте или записи на прием можно позвонить по телефону
+7 (8442)Показать телефон
.

Где принимает:

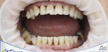
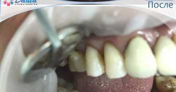
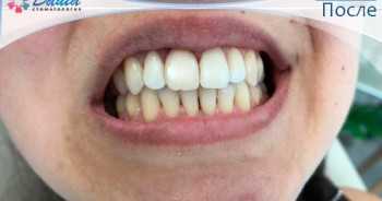
7 работ в портфолио
Опыт 41 год

Павловская Татьяна Любомировна: портфолио (7)

Отзывы о враче Павловская Татьяна Любомировна

Почему нашим отзывам можно доверять?
28 июля 2020 г.
1 2 3 4 5
На лечение в стоматологию "Даша" попала по рекомендации, ее очень хвалили и хвалили врачей, которые там работают. Приехала с области, с большим объемом работы и малым количеством времени. Врачи и персонал пошли на уступки и мы максимально быстро, как это возможно, занимались лечением и протезированием. Зубки у меня довольно в плохом состоянии, они разрушаются у меня быстро, особенно при стрессе и беременности. Татьяна Любомировна все сделала на высшем уровне и дала рекомендации по дальнейшему уходу. Еще была идея по отбеливанию, которого я очень боялась из-за высокой чувствительности зубов. После консультации, доверилась врачу и все было сделано максимально комфортно и не больно. Результат конечно порадовал, всегда приятно смотреть на красивые белые зубки.
    Помогите другим сделать правильный выбор — оставьте свой отзыв о докторе
    Написать отзыв

    Услуги стоматолога в других клиниках

    Терапевтическая стоматология
    Лечение периодонтита от 6 500 ₽ до 37 500 ₽
    Эстетическая стоматология
    Установка виниров от 41 965 ₽ до 45 900 ₽
    Установка скайсов от 2 800 ₽ до 4 800 ₽
    Еще услуги
    Пародонтология
    Лечение пародонтита от 300 ₽ до 3 360 ₽
    Лечение пародонтоза от 3 000 ₽
    Еще услуги