Фото до и после по услуге Установка коронки на зуб в клиниках Волгограда

Фотографии до и после: Установка коронки на зуб

На странице представлено портфолио стоматологий Волгограда с фото работ до и после установки зубных коронок. Показываем, как можно полностью восстановить форму разрушенного зуба и эстетичный вид улыбки. На странице собраны разные клинические случаи восстановления одиночными коронками из металлокерамики, циркония или керамики. Изучите результаты до и после процедуры и выберите подходящую клинику для восстановления зуба в Волгограде.

Стоматология ДАША

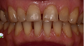
Установка металлокерамической коронки

Доктор: Молчанова Лейла Камильевна

Установка металлокерамической коронки

Доктор: Молчанова Лейла Камильевна

Установка металлокерамической коронки

Доктор: Молчанова Лейла Камильевна

Установка металлокерамической коронки

Доктор: Молчанова Лейла Камильевна

Установка металлокерамической коронки

Доктор: Молчанова Лейла Камильевна

Установка металлокерамической коронки

Доктор: Молчанова Лейла Камильевна

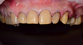
Установка коронки из диоксида циркония

Доктор: Молчанова Лейла Камильевна

Все работы клиники
Стоматологическая клиника ЭСТЕТИКА

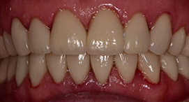
Установка металлокерамической коронки

Доктор: Голиков Игорь Викторович

Все работы клиники
Стоматологическая клиника БЭЛЛИ ДЭНТИ

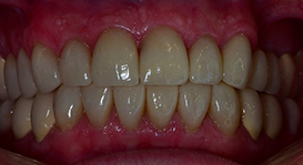
Установка коронки из диоксида циркония

Циркониевые коронки тотал верхняя челюсть

Доктор: Мурзагов Магомед Мурзагович

Все работы клиники
Стоматология цифровых технологий ОЛЬГА

Установка коронки из диоксида циркония

Циркониевые коронки тотал верхняя челюсть

Доктор: Мурзагов Магомед Мурзагович

Все работы клиники