Стоматолог Часова (Белова) Татьяна Викторовна — цены, отзывы, стаж — Принимает в Вологде

Часова (Белова) Татьяна Викторовна

Часова (Белова) Татьяна Викторовна - фотография

5.0
Рейтинг: 5.0
Отзывов: 4
Положительных: 4
Отрицательных: 0
Последний : 66 дн. назад
4 отзыва
стоматолог-ортопед
Стаж 11 лет
Часова (Белова) Татьяна Викторовна принимает в «Стоматология 32 ПЛЮС» в Вологде. Стаж 11 лет. Специализируется на ортопедии, по которой клиника оказывает 13 услуг. Имеет 2 работы до/после в портфолио. Квалификация специалиста подтверждена 3 лицензиями, сертификатами и наградами. Для уточнения дополнительной информации о специалисте или записи на прием можно позвонить по телефону
+7 (8172)Показать телефон
. Занимает 4 место в рейтинге стоматологов-ортопедов 32top в вашем городе.

Где принимает:

3 сертификата
2 работы в портфолио
Топ 10 в рейтинге
Опыт 11 лет

Отзывы о враче Часова (Белова) Татьяна Викторовна

Рейтинг: 5
Отзывов: 4
Положительных: 4
Отрицательных: 0
Последний: 66 дн. назад
5.0
Почему нашим отзывам можно доверять?
После приема Пациент записывался в клинику через 32top. После приёма мы позвонили ему и получили отзыв.
13 марта 2026 г.
1 2 3 4 5
Клинику и врача ортопеда Татьяну Викторовну рекомендовала знакомая, которая уже провела у нее протезирование. Я тоже была у нее на приеме. Хорошая врач провела весь осмотр, рассказала, как будет проходить лечение, написала весь план, направила меня сначала лечить зубы, а уже потом на протезирование, сказала сколько это будет стоить. Меня все устроило. Сейчас прохожу лечение зубов. Довольна. Рекомендую врача и клинику.
Часова (Белова) Татьяна Викторовна
15 апреля 2026 г.
Благодарим за отзыв о работе нашей команды 32+. Рады, что смогли вам помочь на пути к улыбке мечты.
После приема Пациент записывался в клинику через 32top. После приёма мы позвонили ему и получили отзыв.
5 августа 2025 г.
1 2 3 4 5
Клиника отличная, мне очень все понравилось. Покрывал зуб коронкой у врача Татьяны Викторовны. Очень доволен результатом, врач просто молодец, аккуратная и внимательная, сделала все просто идеально, подошло все с первого раза. Цена нормальная, качество услуг на высоте.
Часова (Белова) Татьяна Викторовна
15 апреля 2026 г.
Благодарим за отзыв о работе нашего доктора Татьяны Викторовны. Будем рады видеть Вас на приёмах.
10 января 2022 г.
1 2 3 4 5
Клиника принимает вежливо, хорошо обслуживают. До приема напоминают о записи. Я обращался на прием к Часовой Татьяне. Доктор спросила что меня беспокоит, сделала снимки, провела осмотр и дала консультацию по предстоящему лечению. Был на приеме минут 20. Оборудование в кабинете современное. Комфортно находиться в кабинете. По первичной встрече у меня сложилось положительное впечатление.
Спасибо за такие теплые слова! Работаем ради Вас - наши любимые пациенты.
10 января 2022 г.
1 2 3 4 5
Часова Татьяна отлично провела прием. Приняли меня в назначенное время, внимательное отношение. На приеме провели осмотр, сделали пару снимков, после чего была проведена консультация. Объясняет Татьяна Викторовна достаточно подробно, понятно и на доступном языке. Оборудование в кабинете новое. По итогу приема мне даны рекомендации по лечению, буду обращаться к узконаправленным специалистам.
Татьяна Викторовна очень грамотный врач и замечательный человек! Спасибо!
    Помогите другим сделать правильный выбор — оставьте свой отзыв о докторе
    Написать отзыв

    Услуги врача (27)

    Протезирование зубов
    Установка коронки на зуб
    Установка протеза Акри Фри (Acry-Free)
    от 31 000 ₽ за 1 челюсть
    Ремонт зубных протезов
    от 4 000 ₽ за 1 шт.
    Еще услуги
    Все цены носят ознакомительный характер. Точную цену вы сможете получить только после консультации специалиста.
    Звоните по телефону:
    +7 (8172)Показать телефон

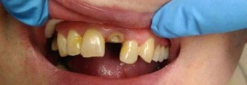
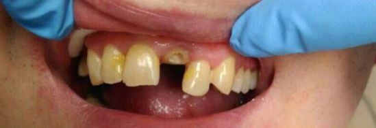
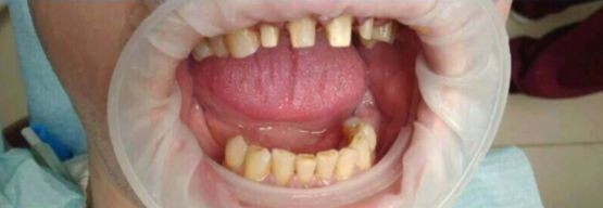
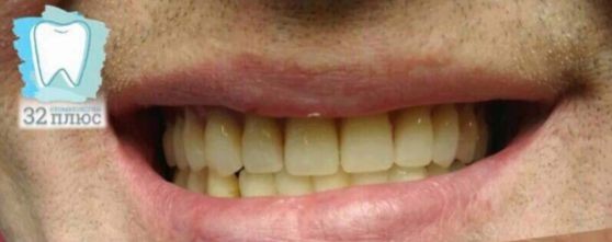
    Часова (Белова) Татьяна Викторовна: портфолио (2)

    Акции и скидки клиники 32 ПЛЮС (2)