Стоматолог Данилова Анастасия Эдуардовна — цены, отзывы, стаж — Принимает в Воронеже

Данилова Анастасия Эдуардовна

Данилова Анастасия Эдуардовна - фотография
стоматолог-терапевт
стоматолог-эндодонтист
Стаж 10 лет
Данилова Анастасия Эдуардовна принимает в «СТОМАТОЛОГИЧЕСКИЙ ЦЕНТР ДОКТОРА ЗУБКОВА» в Воронеже. Стаж 10 лет. Специализируется на терапии и эндодонтическом лечении, по которым клиника оказывает 33 услуги. Имеет 7 работ до/после в портфолио. Квалификация специалиста подтверждена 11 лицензиями, сертификатами и наградами. Для уточнения дополнительной информации о специалисте или записи на прием можно позвонить по телефону
+7 (473)Показать телефон
. Также 32top представляет форму онлайн расписания, через которую можно записаться к специалисту на свободную дату и время.

Где принимает:

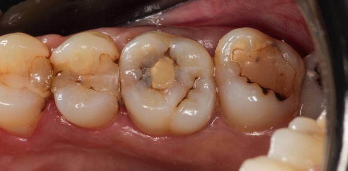
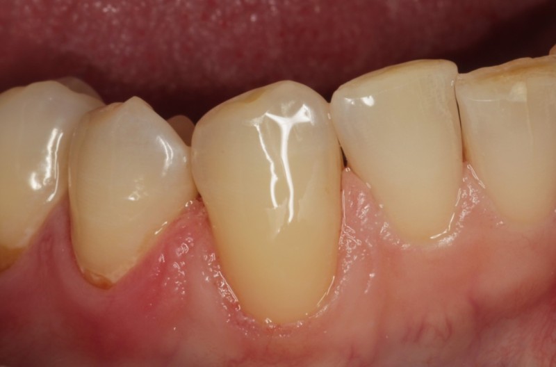
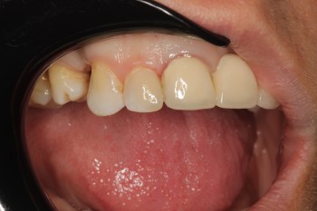
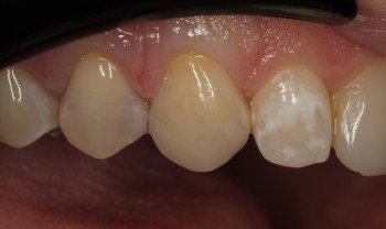
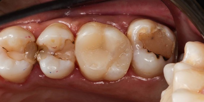
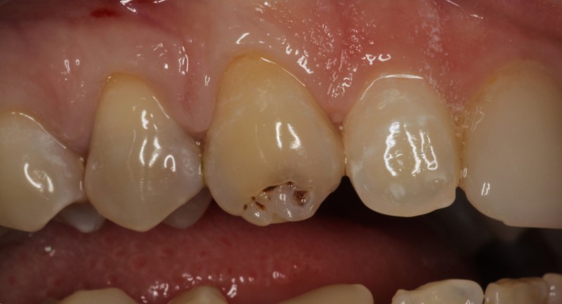
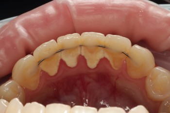
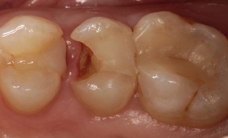
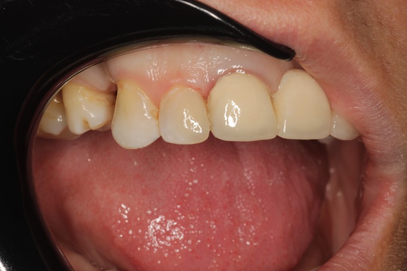
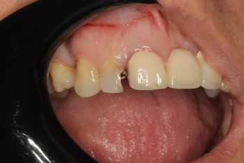
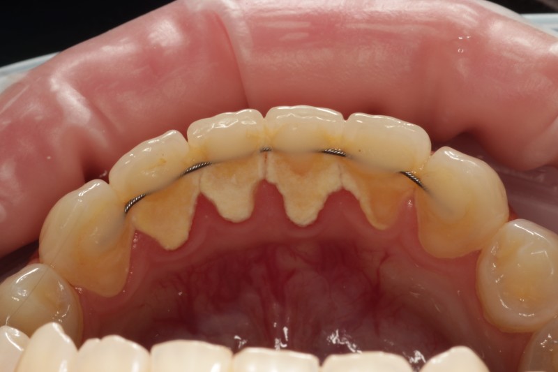
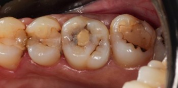
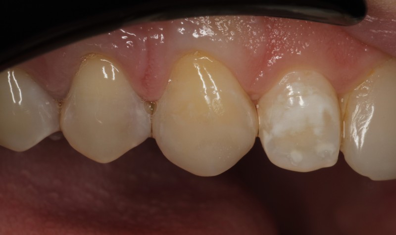
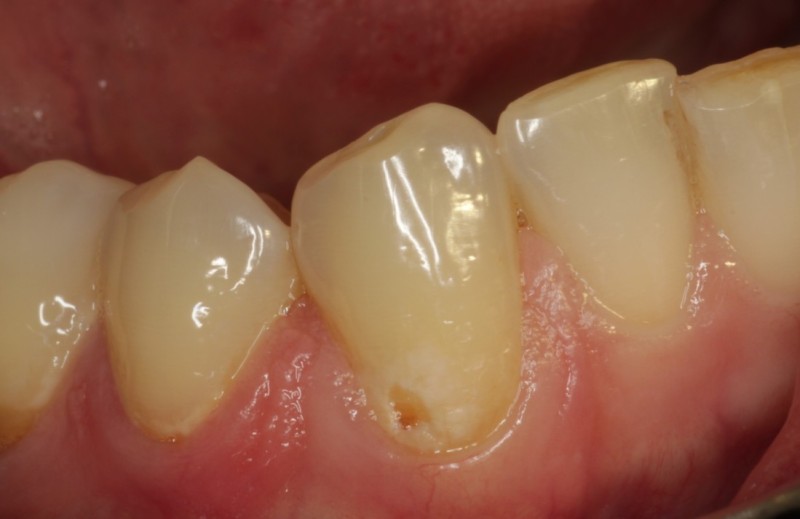
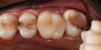
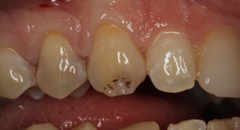
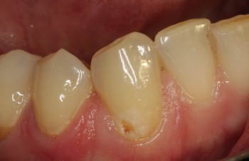
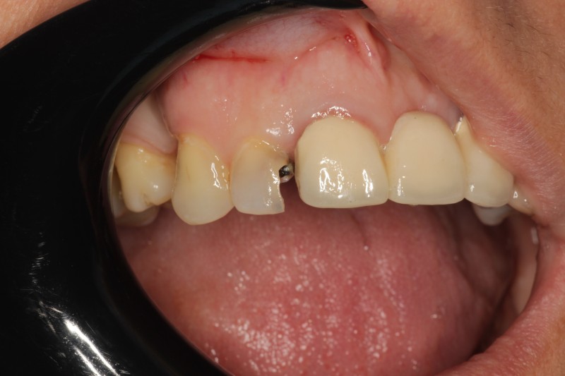
7 работ в портфолио
Опыт 10 лет
11 сертификатов

О стоматологе

Направления работы:
Сохранение зубов живыми;
Диагностика и профилактика заболеваний твердых тканей зуба;
Лечение кариеса зуба любой сложности;
Эстетические реставрации зубов;
Первичное и повторное лечение зубных каналов;
Перелечивание и спасение зуба с воспалением на верхушке корня;
Лечение зубов под микроскопом;
Подготовка зубов к ортопедическому лечению.

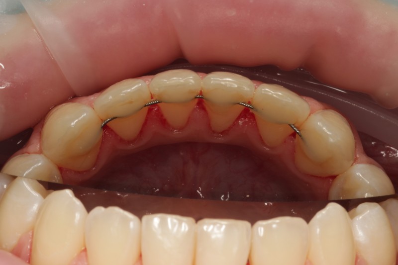
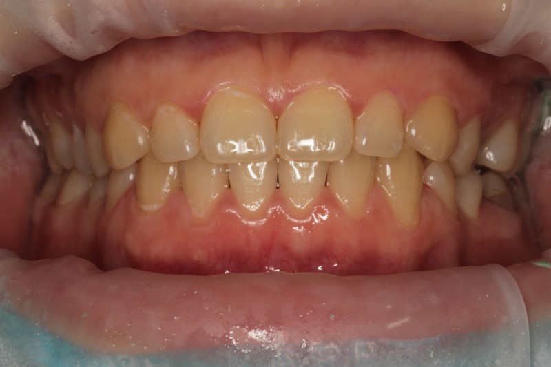
Данилова Анастасия Эдуардовна: портфолио (7)

    Помогите другим сделать правильный выбор — оставьте свой отзыв о докторе
    Написать отзыв

    Услуги стоматолога в других клиниках

    Терапевтическая стоматология
    Лечение кариеса от 3 900 ₽ до 9 900 ₽
    Лечение пульпита от 5 000 ₽ до 19 000 ₽
    Еще услуги