Стоматолог Ушаков Владимир Олегович — цены, отзывы, стаж — Принимает в Воронеже

Ушаков Владимир Олегович

Ушаков Владимир Олегович - фотография
стоматолог-ортодонт
детский ортодонт
Стаж 4 года
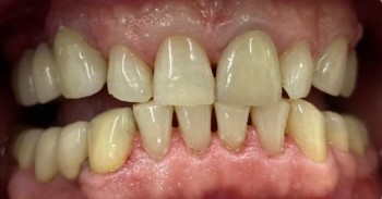
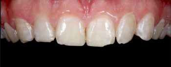
Ушаков Владимир Олегович принимает в «СТОМАТОЛОГИЧЕСКИЙ ЦЕНТР ДОКТОРА ЗУБКОВА» в Воронеже. Стаж 4 года. Специализируется на ортодонтии, по которым клиника оказывает 18 услуг. Имеет 6 работ до/после в портфолио. Квалификация специалиста подтверждена 9 лицензиями, сертификатами и наградами. Для уточнения дополнительной информации о специалисте или записи на прием можно позвонить по телефону
+7 (473)Показать телефон
. Также 32top представляет форму онлайн расписания, через которую можно записаться к специалисту на свободную дату и время.

Где принимает:

Опыт 4 года
6 работ в портфолио
9 сертификатов
    Помогите другим сделать правильный выбор — оставьте свой отзыв о докторе
    Написать отзыв

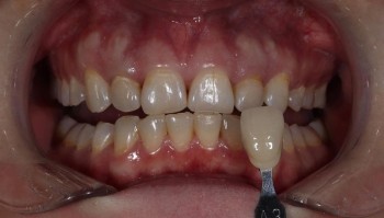
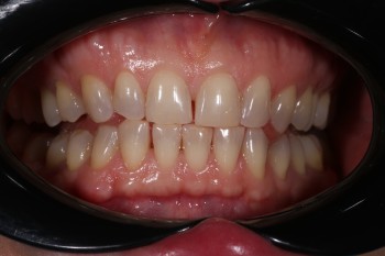
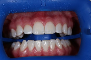
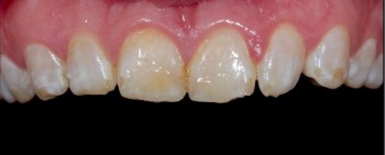
    Ушаков Владимир Олегович: портфолио (6)

    Услуги стоматолога в других клиниках

    Пародонтология
    Лечение пародонтита от 339 ₽ до 25 000 ₽
    Лечение пародонтоза от 800 ₽ до 25 000 ₽
    Еще услуги
    Ортодонтия
    Установка брекетов от 19 800 ₽ до 150 000 ₽
    Снятие брекетов от 1 500 ₽ до 21 000 ₽
    Еще услуги