Стоматолог Хожайнов Владимир Николаевич — цены, отзывы, стаж — Принимает в Воронеже

Хожайнов Владимир Николаевич

Хожайнов Владимир Николаевич - фотография
стоматолог-терапевт
стоматолог-ортопед
Стаж 13 лет
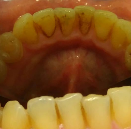
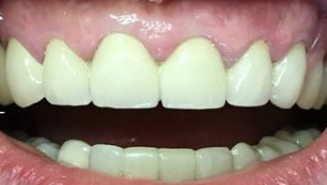
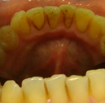
Хожайнов Владимир Николаевич принимает в «Стоматология БУЛЬВАР УЛЫБОК» в Воронеже. Стаж 13 лет. Специализируется на терапии и ортопедии, по которым клиника оказывает 13 услуг. Имеет 14 работ до/после в портфолио. Квалификация специалиста подтверждена 4 лицензиями, сертификатами и наградами. Для уточнения дополнительной информации о специалисте или записи на прием можно позвонить по телефону
+7 (473)Показать телефон
.

Где принимает:

4 сертификата
Опыт 13 лет
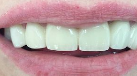
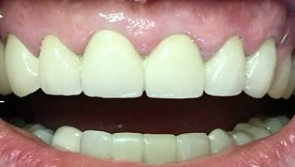
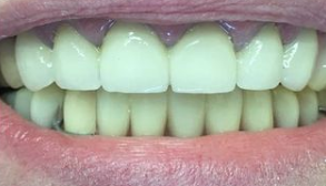
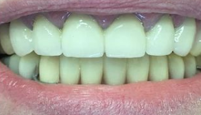
14 работ в портфолио

Хожайнов Владимир Николаевич: портфолио (14)

    Помогите другим сделать правильный выбор — оставьте свой отзыв о докторе
    Написать отзыв

    Услуги стоматолога в других клиниках

    Терапевтическая стоматология
    Лечение кариеса от 3 900 ₽ до 9 900 ₽
    Лечение пульпита от 5 000 ₽ до 19 000 ₽
    Еще услуги
    Протезирование зубов
    Установка коронки на зуб от 6 000 ₽ до 97 000 ₽
    Установка протеза Акри Фри (Acry-Free) от 25 000 ₽ до 40 000 ₽
    Еще услуги