Стоматолог Герасимов Илья Викторович — цены, отзывы, стаж — Принимает в Воронеже

Герасимов Илья Викторович

Герасимов Илья Викторович - фотография

5.0
Рейтинг: 5.0
Отзывов: 2
Положительных: 2
Отрицательных: 0
Последний : 447 дн. назад
2 отзыва
стоматолог-хирург
стоматолог-имплантолог
пародонтолог
челюстно-лицевой хирург
Стаж 17 лет
Герасимов Илья Викторович принимает в «Стоматология ДЕНТИКА» в Воронеже. Стаж 17 лет. Специализируется на хирургии, имплантологии, пародонтологии и челюстно-лицевой хирургии, по которым клиника оказывает 6 услуг. Имеет 2 работы до/после в портфолио. Квалификация специалиста подтверждена 2 лицензиями, сертификатами и наградами. Для уточнения дополнительной информации о специалисте или записи на прием можно позвонить по телефону
+7 (473)Показать телефон
.

Где принимает:

2 сертификата
2 работы в портфолио
Опыт 17 лет
Топ 50 в рейтинге

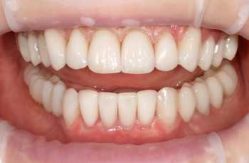
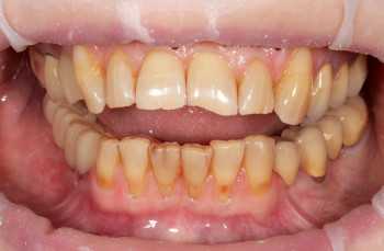
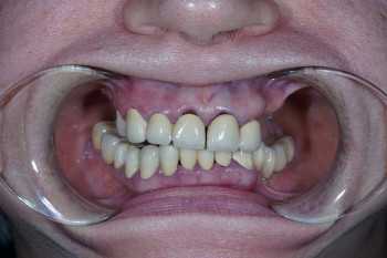
Герасимов Илья Викторович: портфолио (2)

Отзывы о враче Герасимов Илья Викторович

Рейтинг: 5
Отзывов: 2
Положительных: 2
Отрицательных: 0
Последний: 447 дн. назад
5.0
Почему нашим отзывам можно доверять?
18 февраля 2025 г.
1 2 3 4 5
Очень хорошая клиника и врачи. Быстро записалась и пролечила все зубы. Также удаляла 2 зуба, сама процедура прошла без болезненно, отдельное спасибо врачу Герасимову И. В.
Примите нашу искреннюю благодарность, мы тронуты Вашим вниманием. Мы счастливы, что у нас есть такие отзывчивые пациенты, как Вы.
22 февраля 2024 г.
1 2 3 4 5
Дентика поражает заботой и отношением к пациентам. Причём не важно пришли мы на бесплатную консультацию или уже на лечение. 20 февраля 2024 лечили под наркозом зубы моей дочери, ей 2 года 7 месяцев. Конечно волновались, но все прошло прекрасно.Работала с ней целая бригада врачей: терапевт, анестезиолог, хирург, медсестры. Проходило все максимально комфортно, ребенок быстро восстановился после лечения, при том что было и удаление зубов, и лечение, и покрытие зуба эмалью, и сам наркоз. Вот уже 2 дня прошло, но каждый день звонят и узнают про самочувсвие ребенка, готовы помочь, если что-то беспокоит. Спасибо большое всей команде: Дарьиной Юлии Александровне, Колесникову Николаю Сергеевичу, Герсимову Илье Викторовичу и медсестрам. Лечим зубы детям только здесь. Спасибо вам за профессионализм и чуткое отношение к пациентам!
Большое спасибо за то, что Вы выбрали нас. Очень приятно, что Вы полностью удовлетворены качеством предоставляемых услуг и высоко оценили уровень обслуживания!
    Помогите другим сделать правильный выбор — оставьте свой отзыв о докторе
    Написать отзыв

    Услуги стоматолога в других клиниках

    Терапевтическая стоматология
    Лечение периодонтита от 6 000 ₽ до 47 400 ₽
    Пародонтология
    Лечение пародонтита от 339 ₽ до 25 000 ₽
    Лечение пародонтоза от 800 ₽ до 25 000 ₽
    Еще услуги
    Хирургическая стоматология
    Удаление зубов от 1 700 ₽ до 25 000 ₽
    Удаление кисты и гранулемы зуба от 1 000 ₽ до 10 500 ₽
    Еще услуги
    Имплантация
    Установка мини-импланта от 5 100 ₽ до 30 000 ₽
    Коронки на имплантах от 12 000 ₽ до 60 000 ₽
    Еще услуги