Стоматолог Федорова Яна Олеговна — цены, отзывы, стаж — Принимает в Воронеже

Федорова Яна Олеговна

Федорова Яна Олеговна - фотография

5.0
Рейтинг: 5.0
Отзывов: 2
Положительных: 2
Отрицательных: 0
Последний : 430 дн. назад
2 отзыва
стоматолог-терапевт
Стаж 37 лет
Федорова Яна Олеговна принимает в «Стоматология ДЕНТИКА» в Воронеже. Стаж 37 лет. Специализируется на терапии, по которой клиника оказывает 6 услуг. Для уточнения дополнительной информации о специалисте или записи на прием можно позвонить по телефону
+7 (473)Показать телефон
.

Где принимает:

1 работа в портфолио
Топ 50 в рейтинге
Опыт 37 лет

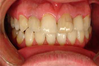
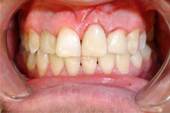
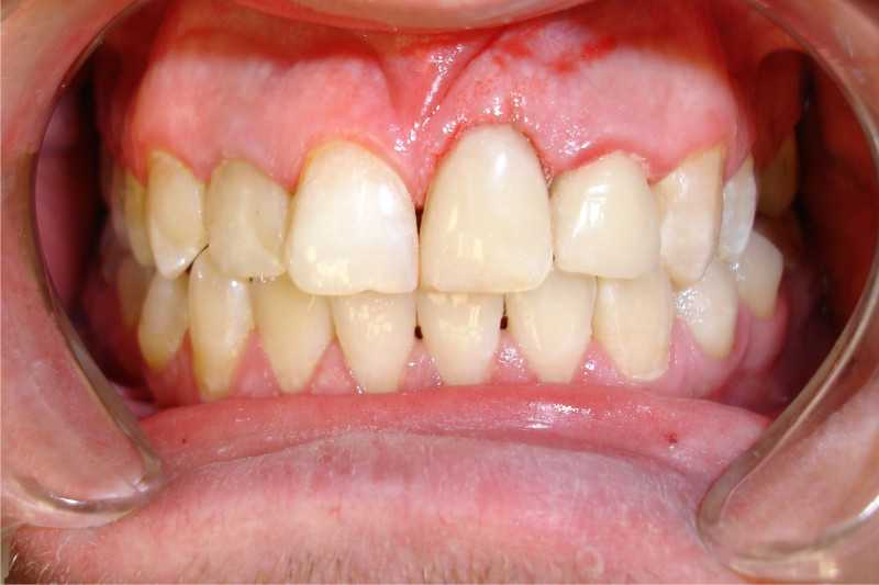
Федорова Яна Олеговна: портфолио (1)

Отзывы о враче Федорова Яна Олеговна

Рейтинг: 5
Отзывов: 2
Положительных: 2
Отрицательных: 0
Последний: 430 дн. назад
5.0
Почему нашим отзывам можно доверять?
7 марта 2025 г.
1 2 3 4 5
Посетил стоматологию ДЕНТИКА, по адресу: Московский проспект, дом 24 на приеме у врача Фёдоровой Яны Олеговны. Лечение было быстрым, безболезненным и качественным. Все прошло на высшем уровне.
Спасибо, что поделились своим мнением. Рады, что Вы остались довольны нашим лечением.
12 мая 2023 г.
1 2 3 4 5
Была на приеме у Федоровой Я.О. осталась в полном восторге. Яна Олеговна, профессионал с большой буквы. Качественно и быстро залечила мне зуб, дала советы по уходу за полостью рта. Прекрасная клиника, отзывчивый персонал. Очень комфортно там находиться.
Спасибо. Нам очень приятно, что вы столь высоко оценили уровень нашего сервиса! Приходите, ждём вас в гости снова!
    Помогите другим сделать правильный выбор — оставьте свой отзыв о докторе
    Написать отзыв

    Услуги стоматолога в других клиниках

    Терапевтическая стоматология
    Лечение кариеса от 3 900 ₽ до 9 900 ₽
    Лечение пульпита от 5 000 ₽ до 19 000 ₽
    Еще услуги