Стоматолог Миргородский Евгений Владиславович — цены, отзывы, стаж — Принимает в Воронеже

Миргородский Евгений Владиславович

Миргородский Евгений Владиславович - фотография
стоматолог-ортопед
гнатолог
Стаж 5 лет
Миргородский Евгений Владиславович принимает в «Клиника РЕВИЛАЙНС» в Воронеже. Стаж 5 лет. Специализируется на ортопедии и гнатологии, по которым клиника оказывает 14 услуг. Имеет 5 работ до/после в портфолио. Квалификация специалиста подтверждена 5 лицензиями, сертификатами и наградами. Также 32top представляет форму онлайн расписания, через которую можно записаться к специалисту на свободную дату и время.

Где принимает:

Опыт 5 лет
5 сертификатов
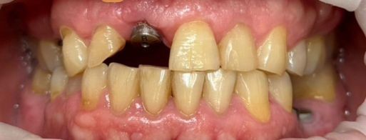
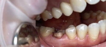
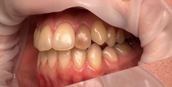
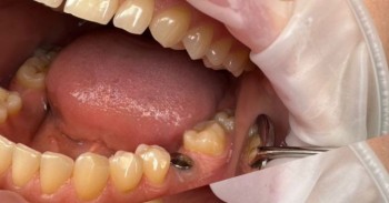
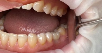
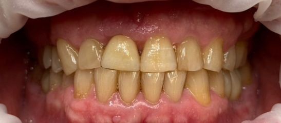
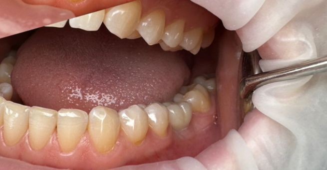
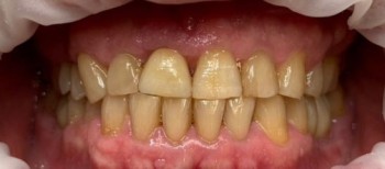
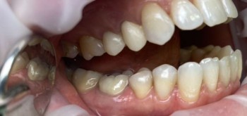
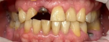
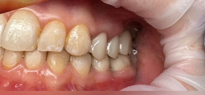
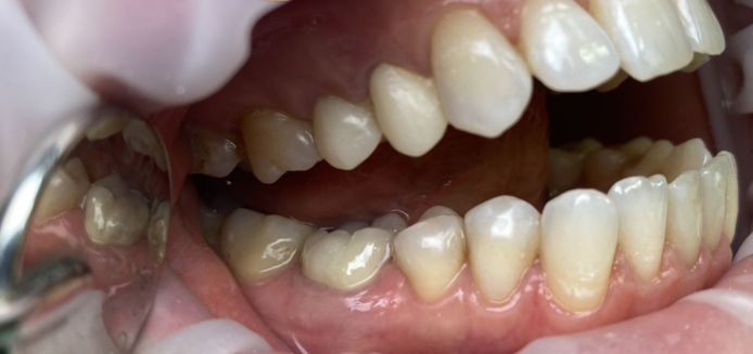
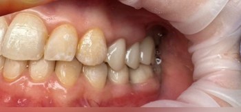
5 работ в портфолио

Миргородский Евгений Владиславович: портфолио (5)

    Помогите другим сделать правильный выбор — оставьте свой отзыв о докторе
    Написать отзыв

    Услуги стоматолога в других клиниках

    Диагностика
    Консультация стоматолога от 200 ₽ до 2 500 ₽
    Консультация ортодонта от 300 ₽ до 5 000 ₽
    Еще услуги
    Протезирование зубов
    Установка коронки на зуб от 6 000 ₽ до 97 000 ₽
    Установка протеза Акри Фри (Acry-Free) от 25 000 ₽ до 40 000 ₽
    Еще услуги